Cervical Cancer
Tackle Cervical Cancer from every angle with our wide range of antibodies and IHC kits
Typically caused by HPV infection, cervical cancer is one of the most common forms of cancer amongst women, with roughly 13,000 new cases in the US each year. Through proper screening and detection methods during the early stages of disease progression, cervical cancer can be easily managed and treated. This involves identifying elevated levels of biomarkers that are associated with HPV infection, cell cycle progression, epithelial differentiation, and cell metastasis. Proteintech offers antibodies against over 20 prominent cervical cancer biomarkers, plus many more in our portfolio of over 13,000 antibodies.
Featured Markers for Cervical Cancer Detection
P16INK4a
p16INK4a is an important cell cycle regulator that typically inhibits cyclin-dependent kinase (CDK) 4/6 activity. While its levels in the cervical epithelial cells are normally low, HPV infection results in the expression of oncoproteins that promote cell cycle progression, which in turn triggers in increase in p16 production. As such p16INK4a can be used as a highly specific marker to detect HPV-triggered, cervical cancer oncogenesis. Proteintech’s pI6INK4a polyclonal antibody has been cited over 250 times – more than any other polyclonal p16INK4a antibody on the market.

Immunohistochemical analysis of paraffin-embedded human cervical cancer using 10883-1-AP (p16INK4a antibody) at dilution of 1:2000 (under 10x lens).
Cytokeratin 7 (CK7)
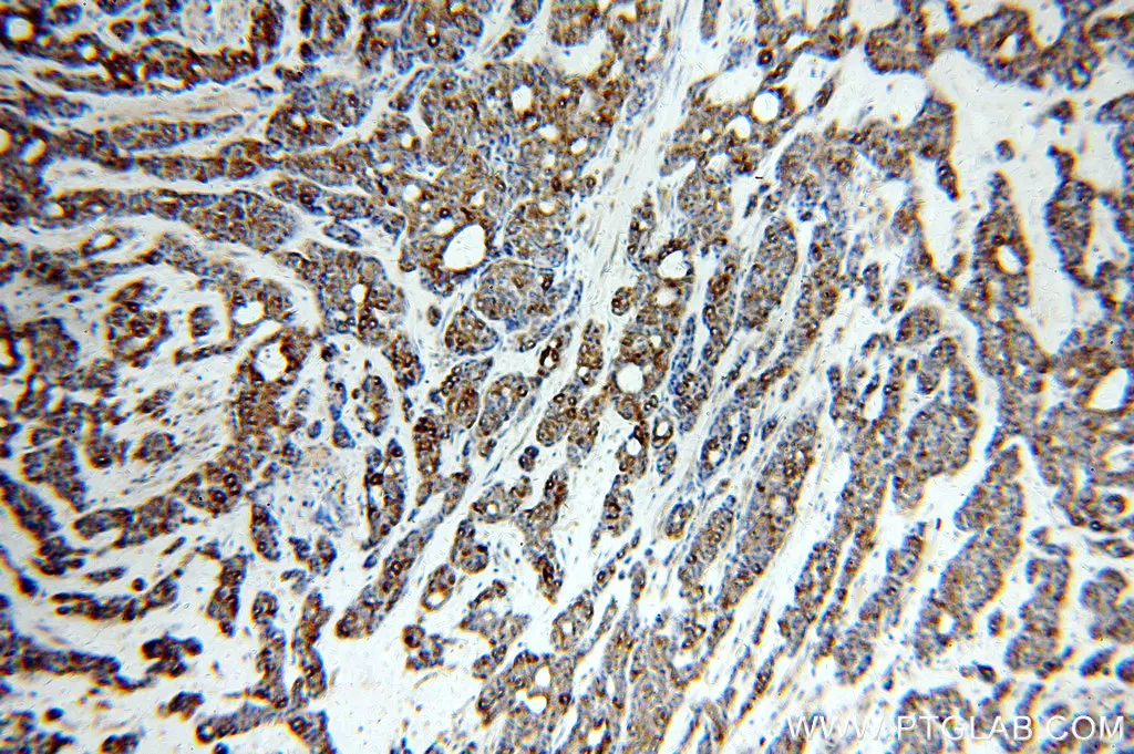
The cytokeratin profile of cells can often change in response to internal transformation and metastatic events. Cytokeratin 7 (CK7) is typically a marker for cervical squamous cell junctions. These cells are thought to be a site of entry of HPV infection and vulnerable to transformation. Therefore, high CK7 expression is often used as a marker to indicate cervical cancer progression.

Immunohistochemical analysis of paraffin-embedded human cervical cancer using 171513-1-AP (KRT7 Specific antibody) at dilution of 1:50 (under 10x lens)
MMP9
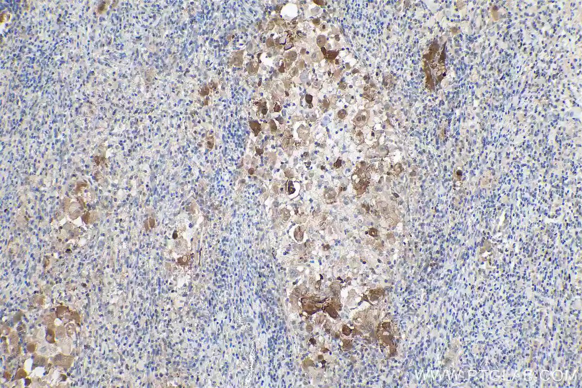
Matrix metalloproteinases (MMPs) are involved in the breakdown of the extracellular matrix, which is a crucial step in both normal physiological processes such as embryonic development as well as disease processes such as metastases. HPV oncoproteins can upregulate the expression of these proteins resulting in increased metastasis to additional sites. MMP9 has been associated with increased invasiveness of cervical cancer and has potential to be used as prognostic marker for disease progression. Proteintech’s MMP9 antibody has been cited over 870 times, more than most other MMP9 antibodies on the market.

Immunohistochemical analysis of paraffin-embedded human cervical cancer tissue slide using 10375-2-AP (MMP9, N-terminal antibody) at dilution of 1:200 (under 10x lens).
Antibodies for Cervical Cancer Research
| Function | Marker | PTG catalog |
|
Cell Cycle and Proliferation |
10883-1-AP |
|
|
27309-1-AP |
||
|
60186-1-Ig |
||
|
10048-2-Ig |
||
|
10513-1-AP |
||
|
10442-1-AP |
||
|
12143-1-AP |
||
|
20233-1-AP |
||
|
20112-1-AP |
||
|
Apoptosis |
12789-1-AP |
|
|
50599-2-Ig |
||
|
Epithelial Differentiation |
17514-1-AP |
|
|
17516-1-AP |
||
|
10712-1-AP |
||
|
17513-1-AP |
||
|
Cell Adhesion, Invasion, and Metastasis |
14552-1-AP |
|
|
10371-2-AP |
||
|
10375-2-AP |
||
|
Cell Stemness |
14295-1-AP |
|
|
15910-1-AP |
||
|
11263-1-AP |
||
|
Angiogenesis |
19003-1-AP |
IHC Kits for Cervical Cancer Research
| Function | Marker | PTG catalog |
|
Cell Cycle and Proliferation |
KHC0079 |
|
|
KHC0086 |
||
|
Apoptosis |
KHC0012 |
|
|
KHC0768 |
||
|
Epithelial Differentiation |
KHC0041 |
|
|
KHC0753 |
||
|
KHC0033 |
||
|
KHC0204/KHC0748 |
||
|
Cell Adhesion, Invasion, and Metastasis |
KHC0804 |
|
|
KHC0120 |
||
|
Cell Stemness |
KHC0084 |
|
|
Angiogenesis |
KHC0735 |
References
Alva N, N., A, S., Shetty, P., & Mysorker, V. (2022). A Study of Cytokeratin-7 Expression and Clinicopathological Correlation in Dysplasia and Squamous Cell Carcinoma of the Cervix. Asian Pacific Journal of Cancer Prevention, 23(3), 885–891. https://doi.org/10.31557/apjcp.2022.23.3.885
Roden, R., & Wu, T. C. (2006). How will HPV vaccines affect cervical cancer? Nature Reviews Cancer, 6(10), 753–763. https://doi.org/10.1038/nrc1973
Kaewprag, J., Umnajvijit, W., Ngamkham, J., & Ponglikitmongkol, M. (2013). HPV16 Oncoproteins Promote Cervical Cancer Invasiveness by Upregulating Specific Matrix Metalloproteinases. PLoS ONE, 8(8), e71611. https://doi.org/10.1371/journal.pone.0071611
Volkova, L. V., Pashov, A. I., & Omelchuk, N. N. (2021). Cervical Carcinoma: Oncobiology and Biomarkers. International Journal of Molecular Sciences, 22(22), 12571. https://doi.org/10.3390/ijms222212571
Related Content
Cancer stem cells as a key to cure cancer
Molecular markers for liver cancer

Support
