IHCeasy® ALDH1A1 Ready-To-Use IHC Kit
ALDH1A1 Ready-to-use reagent kit for IHC.
Reactivity
Human, Rat
Sample Type
FFPE tissue
Cat no : KHC0084
Synonyms
ALDC, ALDH E1, ALDH1, ALDH11, ALDH1A1, ALHDII, PUMB1, RALDH 1, RALDH1, Retinal dehydrogenase 1
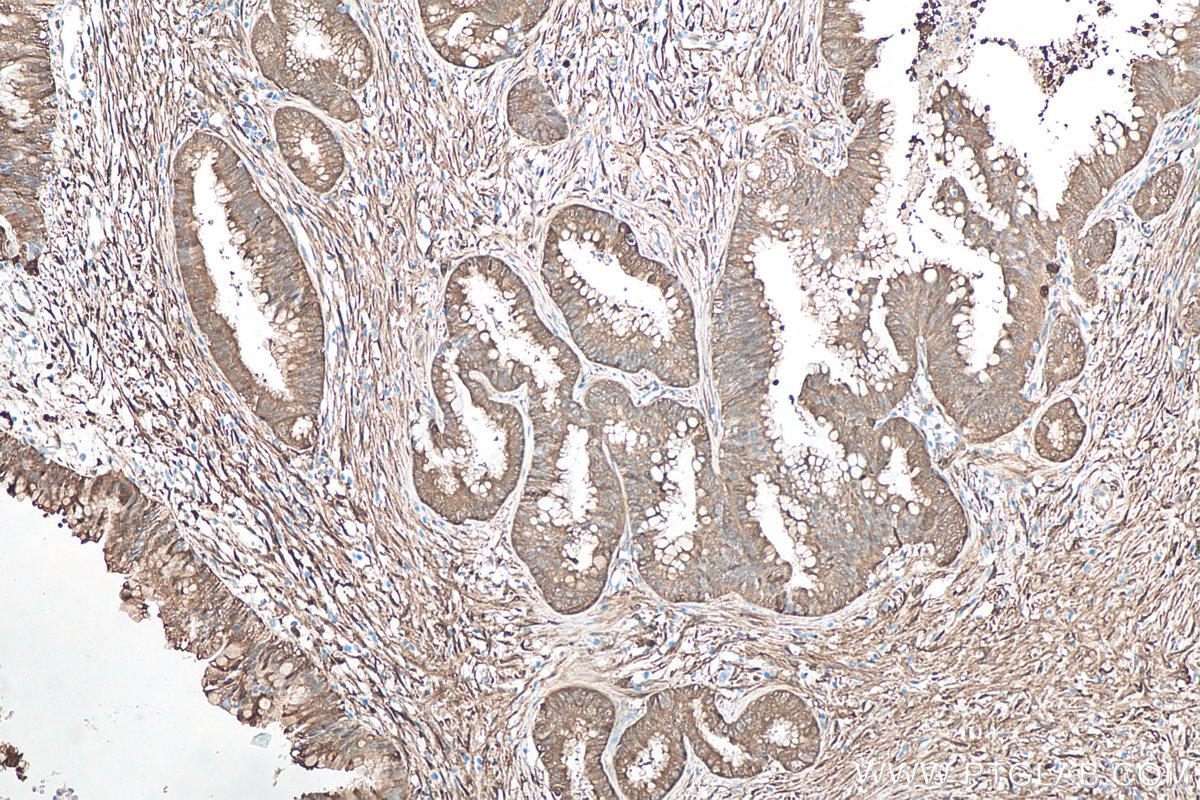
Validation Data Gallery
Product Information
KHC0084 is a ready-to-use IHC kit for staining of ALDH1A1. The kit provides all reagents, from antigen retrieval to cover slip mounting, that require little to no diluting or handling prior to use. Simply apply the reagents to your sample slide according to the protocol and you're steps away from obtaining high-quality IHC data.
| Product name | IHCeasy ALDH1A1 Ready-To-Use IHC Kit |
| Sample type | FFPE tissue |
| Assay type | Immunohistochemistry |
| Primary antibody type | Mouse Monoclonal |
| Secondary antibody type | Polymer-HRP-Goat anti-Mouse |
| Reactivity | Human, Rat |
Kit components
| Component | Size | Concentration |
|---|---|---|
| Antigen Retrieval Buffer | 100 mL | 50× |
| Washing Buffer | 100 mL ×2 | 20× |
| Blocking Buffer | 5 mL | RTU |
| Primary Antibody | 5 mL | RTU |
| Secondary Antibody | 5 mL | RTU |
| Chromogen Component A | 0.2 mL | RTU |
| Chromogen Component B | 4 mL | RTU |
| Signal Enhancer | 5 mL | RTU |
| Counter Staining Reagent | 5 mL | RTU |
| Mounting Media | 5 mL | RTU |
| Datasheet | 1 Copy | |
| Manual | 1 Copy |
Background Information
ALDH1A1(Aldehyde dehydrogenase family 1 member A1 ), also named as ALDC, ALDH1 and PUMB1, belongs to the aldehyde dehydrogenase family. The ALDH1A1 gene encodes a liver cytosolic isoform of acetaldehyde dehydrogenase, an enzyme involved in the major pathway of alcohol metabolism after alcohol dehydrogenase. ALDH1A1 plays a critical role in protection against oxidative stress-induced cytotoxicity in lens epithelial cells. And it is important for multiple biological activities including drug resistance, cell differentiation, and oxidative stress response. As a novel cancer stem cell marker, ALDH1A1 can be used for tumors whose corresponding normal tissues express ALDH1A1 in relatively restricted or limited levels such as breast, lung, ovarian or colon cancer.
Properties
| Storage Instructions | All the reagents are stored at 2-8°C. The kit is stable for 6 months from the date of receipt. |
| Synonyms | ALDC, ALDH E1, ALDH1, ALDH11, ALDH1A1, ALHDII, PUMB1, RALDH 1, RALDH1, Retinal dehydrogenase 1 |





