IHCeasy® MMP1 Ready-To-Use IHC Kit
MMP1 Ready-to-use reagent kit for IHC.
Reactivity
Human
Sample Type
FFPE tissue
Cat no : KHC0804
Synonyms
CLG, CLGN, Fibroblast collagenase, Interstitial collagenase, Matrix metalloproteinase 1, MMP 1, MMP1
Validation Data Gallery
Product Information
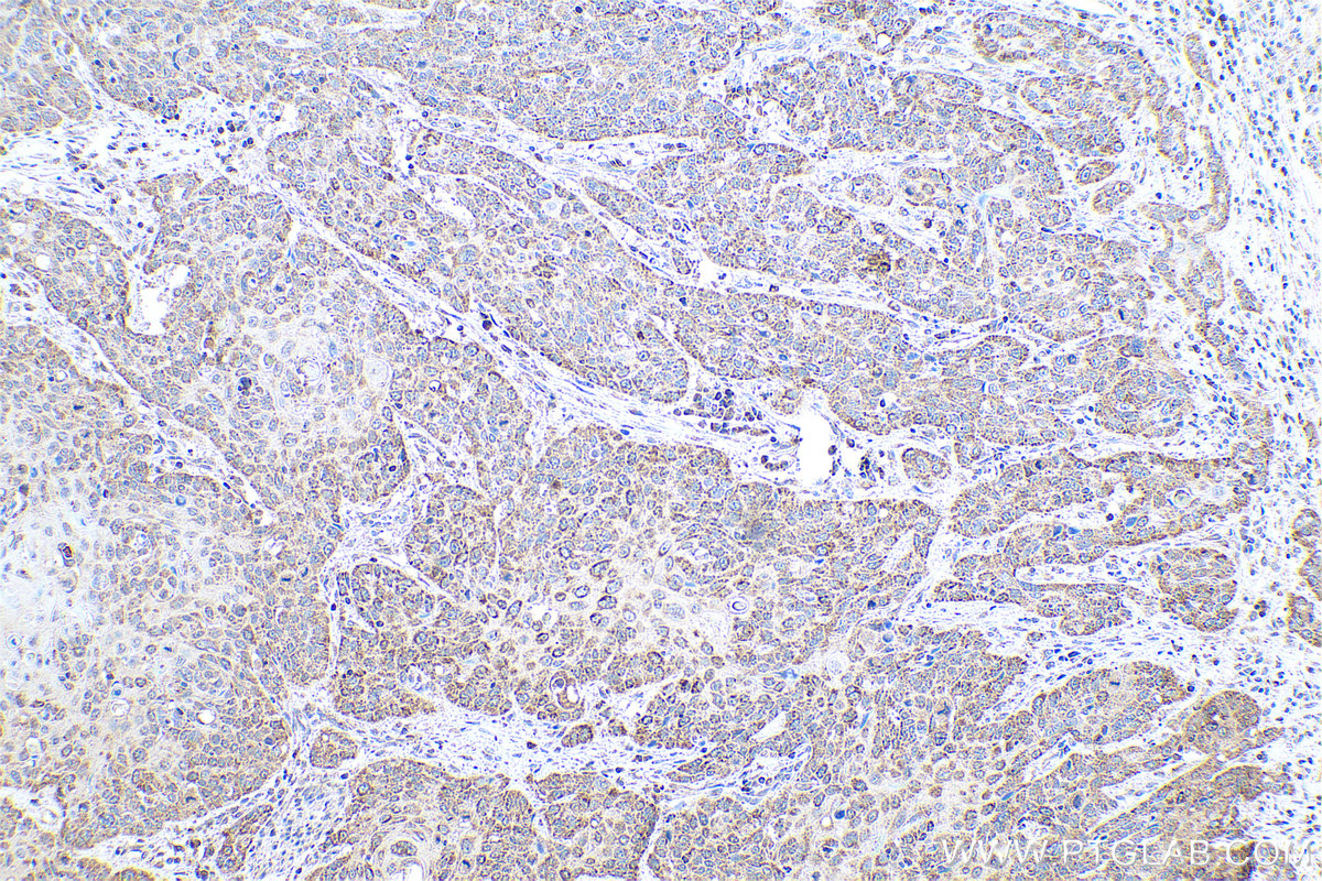
KHC0804 is a ready-to-use IHC kit for staining of MMP1. The kit provides all reagents, from antigen retrieval to cover slip mounting, that require little to no diluting or handling prior to use. Simply apply the reagents to your sample slide according to the protocol and you're steps away from obtaining high-quality IHC data.
| Product name | IHCeasy MMP1 Ready-To-Use IHC Kit |
| Sample type | FFPE tissue |
| Assay type | Immunohistochemistry |
| Primary antibody type | Rabbit Polyclonal |
| Secondary antibody type | Polymer-HRP-Goat anti-Rabbit |
| Reactivity | Human |
Kit components
| Component | Size | Concentration |
|---|---|---|
| Antigen Retrieval Buffer | 100 mL | 50× |
| Washing Buffer | 100 mL ×2 | 20× |
| Blocking Buffer | 5 mL | RTU |
| Primary Antibody | 5 mL | RTU |
| Secondary Antibody | 5 mL | RTU |
| Chromogen Component A | 0.2 mL | RTU |
| Chromogen Component B | 4 mL | RTU |
| Signal Enhancer | 5 mL | RTU |
| Counter Staining Reagent | 5 mL | RTU |
| Mounting Media | 5 mL | RTU |
| Datasheet | 1 Copy | |
| Manual | 1 Copy |
Background Information
MMP1, also named as CLG, belongs to the peptidase M10A family. MMP is the main enzyme that cleaves fibrillar collagen, namely types I, II, III, VII, and X.It is involved in cell migration and invasion, and is frequently up-regulated in cancer cells.
Properties
| Storage Instructions | All the reagents are stored at 2-8°C. The kit is stable for 6 months from the date of receipt. |
| Synonyms | CLG, CLGN, Fibroblast collagenase, Interstitial collagenase, Matrix metalloproteinase 1, MMP 1, MMP1 |




