验证数据展示
经过测试的应用
| Positive WB detected in | K-562 cells, rat liver tissue, mouse liver tissue |
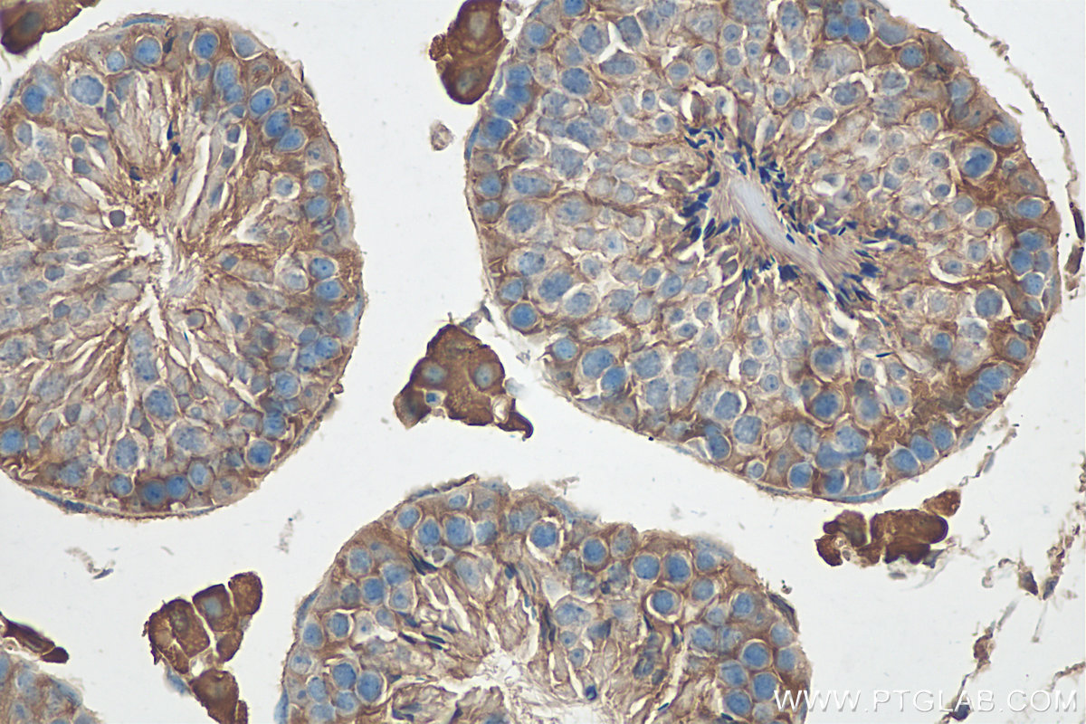
| Positive IHC detected in | mouse testis tissue, human liver tissue Note: suggested antigen retrieval with TE buffer pH 9.0; (*) Alternatively, antigen retrieval may be performed with citrate buffer pH 6.0 |
| Positive IF-P detected in | mouse colon tissue, mouse testis tissue |
| Positive IF/ICC detected in | A549 cells |
| Positive FC (Intra) detected in | HepG2 cells |
推荐稀释比
| 应用 | 推荐稀释比 |
|---|---|
| Western Blot (WB) | WB : 1:5000-1:50000 |
| Immunohistochemistry (IHC) | IHC : 1:50-1:500 |
| Immunofluorescence (IF)-P | IF-P : 1:50-1:500 |
| Immunofluorescence (IF)/ICC | IF/ICC : 1:200-1:800 |
| Flow Cytometry (FC) (INTRA) | FC (INTRA) : 0.20 ug per 10^6 cells in a 100 µl suspension |
| It is recommended that this reagent should be titrated in each testing system to obtain optimal results. | |
| Sample-dependent, Check data in validation data gallery. | |
产品信息
15910-1-AP targets ALDH1A1 in WB, IHC, IF/ICC, IF-P, FC (Intra), CoIP, ELISA applications and shows reactivity with human, mouse, rat samples.
| 经测试应用 | WB, IHC, IF/ICC, IF-P, FC (Intra), ELISA Application Description |
| 文献引用应用 | WB, IHC, IF, CoIP, ELISA |
| 经测试反应性 | human, mouse, rat |
| 文献引用反应性 | human, mouse, rat, bovine |
| 免疫原 |
CatNo: Ag8665 Product name: Recombinant human ALDH1A1 protein Source: e coli.-derived, PGEX-4T Tag: GST Domain: 153-501 aa of BC001505 Sequence: TYTRHEPIGVCGQIIPWNFPLVMLIWKIGPALSCGNTVVVKPAEQTPLTALHVASLIKEAGFPPGVVNIVPGYGPTAGAAISSHMDIDKVAFTGSTEVGKLIKEAAGKSNLKRVTLELGGKSPCIVLADADLDNAVEFAHHGVFYHQGQCCIAASRIFVEESIYDEFVRRSVERAKKYILGNPLTPGVTQGPQIDKEQYDKILDLIESGKKEGAKLECGGGPWGNKGYFVQPTVFSNVTDEMRIAKEEIFGPVQQIMKFKSLDDVIKRANNTFYGLSAGVFTKDIDKAITISSALQAGTVWVNCYGVVSAQCPFGGFKMSGNGRELGEYGFHEYTEVKTVTVKISQKNS 种属同源性预测 |
| 宿主/亚型 | Rabbit / IgG |
| 抗体类别 | Polyclonal |
| 产品类型 | Antibody |
| 全称 | aldehyde dehydrogenase 1 family, member A1 |
| 别名 | 3-deoxyglucosone dehydrogenase, ALDC, Aldehyde dehydrogenase 1A1, ALDH 1A1, ALDH1 A1 |
| 计算分子量 | 501 aa, 55 kDa |
| 观测分子量 | 50-55 kDa |
| GenBank蛋白编号 | BC001505 |
| 基因名称 | ALDH1A1 |
| Gene ID (NCBI) | 216 |
| RRID | AB_2305276 |
| 偶联类型 | Unconjugated |
| 形式 | Liquid |
| 纯化方式 | Antigen affinity purification |
| UNIPROT ID | P00352 |
| 储存缓冲液 | PBS with 0.02% sodium azide and 50% glycerol, pH 7.3. |
| 储存条件 | Store at -20°C. Stable for one year after shipment. Aliquoting is unnecessary for -20oC storage. |
背景介绍
ALDH1A1(Aldehyde dehydrogenase family 1 member A1 ), also named as ALDC, ALDH1 and PUMB1, belongs to the aldehyde dehydrogenase family. The ALDH1A1 gene encodes a liver cytosolic isoform of acetaldehyde dehydrogenase, an enzyme involved in the major pathway of alcohol metabolism after alcohol dehydrogenase. ALDH1A1 plays a critical role in protection against oxidative stress-induced cytotoxicity in lens epithelial cells(PMID:19296407). And it is important for multiple biological activities including drug resistance, cell differentiation, and oxidative stress response(PMID:19025616). As a novel cancer stem cell marker, ALDH1A1 can be used for tumors whose corresponding normal tissues express ALDH1 in relatively restricted or limited levels such as breast, lung, ovarian or colon cancer(PMID: 20422001). This antibody can also recognize some other membranes of the aldehyde dehydrogenase family.
实验方案
| Product Specific Protocols | |
|---|---|
| FC protocol for ALDH1A1 antibody 15910-1-AP | Download protocol |
| IF protocol for ALDH1A1 antibody 15910-1-AP | Download protocol |
| IHC protocol for ALDH1A1 antibody 15910-1-AP | Download protocol |
| WB protocol for ALDH1A1 antibody 15910-1-AP | Download protocol |
| Standard Protocols | |
|---|---|
| Click here to view our Standard Protocols |
发表文章
| Species | Application | Title |
|---|---|---|
Cell Res Excessive UBE3A dosage impairs retinoic acid signaling and synaptic plasticity in autism spectrum disorders. | ||
Int J Oral Sci LIMP-2 enhances cancer stem-like cell properties by promoting autophagy-induced GSK3β degradation in head and neck squamous cell carcinoma | ||
Nat Commun TSPAN8 promotes cancer cell stemness via activation of sonic Hedgehog signaling. | ||
J Pineal Res Melatonin inhibits the stemness of head and neck squamous cell carcinoma by modulating HA synthesis via the FOSL1/HAS3 axis | ||
EMBO J RASSF1C oncogene elicits amoeboid invasion, cancer stemness, and extracellular vesicle release via a SRC/Rho axis. |












