验证数据展示
经过测试的应用
| Positive WB detected in | HeLa cells, HepG2 cells, L02 cells |
| Positive IP detected in | L02 cells |
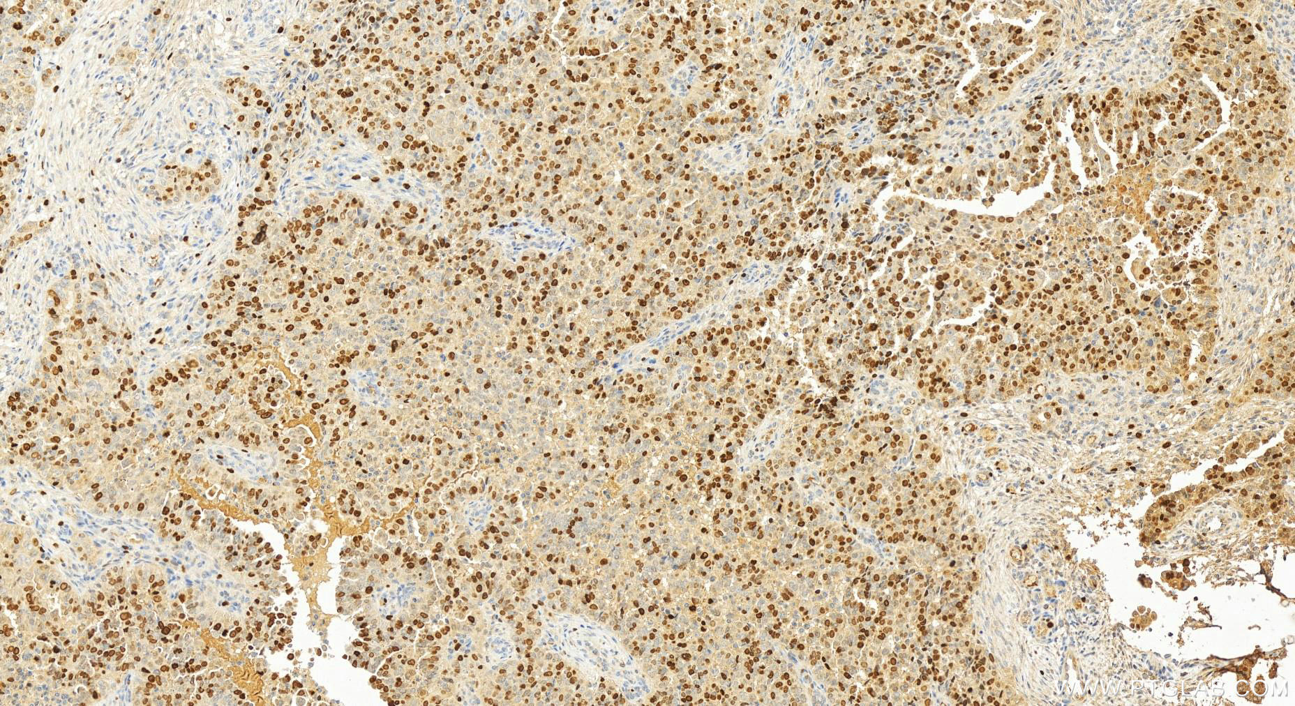
| Positive IHC detected in | human ovary cancer tissue Note: suggested antigen retrieval with TE buffer pH 9.0; (*) Alternatively, antigen retrieval may be performed with citrate buffer pH 6.0 |
| Positive IF/ICC detected in | U2OS cells |
推荐稀释比
| 应用 | 推荐稀释比 |
|---|---|
| Western Blot (WB) | WB : 1:2000-1:16000 |
| Immunoprecipitation (IP) | IP : 0.5-4.0 ug for 1.0-3.0 mg of total protein lysate |
| Immunohistochemistry (IHC) | IHC : 1:200-1:800 |
| Immunofluorescence (IF)/ICC | IF/ICC : 1:200-1:800 |
| It is recommended that this reagent should be titrated in each testing system to obtain optimal results. | |
| Sample-dependent, Check data in validation data gallery. | |
产品信息
20233-1-AP targets TOP2A-Specific in WB, IHC, IF/ICC, IP, ELISA applications and shows reactivity with human samples.
| 经测试应用 | WB, IHC, IF/ICC, IP, ELISA Application Description |
| 文献引用应用 | WB, IHC, IF |
| 经测试反应性 | human |
| 文献引用反应性 | human, mouse |
| 免疫原 |
Peptide 种属同源性预测 |
| 宿主/亚型 | Rabbit / IgG |
| 抗体类别 | Polyclonal |
| 产品类型 | Antibody |
| 全称 | topoisomerase (DNA) II alpha 170kDa |
| 别名 | TOP2A, DNA topoisomerase 2 alpha, DNA topoisomerase 2-alpha, EC:5.6.2.2, TOP II |
| 计算分子量 | 174 kDa |
| 观测分子量 | 170-177 kDa |
| GenBank蛋白编号 | NM_001067 |
| 基因名称 | TOP2A |
| Gene ID (NCBI) | 7153 |
| RRID | AB_10664923 |
| 偶联类型 | Unconjugated |
| 形式 | Liquid |
| 纯化方式 | Antigen affinity purification |
| UNIPROT ID | P11388 |
| 储存缓冲液 | PBS with 0.02% sodium azide and 50% glycerol, pH 7.3. |
| 储存条件 | Store at -20°C. Stable for one year after shipment. Aliquoting is unnecessary for -20oC storage. |
背景介绍
TOP2A, also named as TOP2, belongs to the type II topoisomerase family. Topoisomerase II makes double-strand breaks. TOP2 control the topological states of DNA by transient breakage and subsequent rejoining of DNA strands. TOP2A may play a role in regulating the period length of ARNTL/BMAL1 transcriptional oscillation. DNA topoisomerase IIa (170 kDa, TOP2a/170) is essential in proliferating cells by resolving DNA topological entanglements during chromosome condensation, replication, and segregation.
实验方案
| Product Specific Protocols | |
|---|---|
| IF protocol for TOP2A-Specific antibody 20233-1-AP | Download protocol |
| IHC protocol for TOP2A-Specific antibody 20233-1-AP | Download protocol |
| IP protocol for TOP2A-Specific antibody 20233-1-AP | Download protocol |
| WB protocol for TOP2A-Specific antibody 20233-1-AP | Download protocol |
| Standard Protocols | |
|---|---|
| Click here to view our Standard Protocols |
发表文章
| Species | Application | Title |
|---|---|---|
Science Chromosomes. A comprehensive Xist interactome reveals cohesin repulsion and an RNA-directed chromosome conformation. | ||
Nat Commun Loss of phosphatase CTDNEP1 potentiates aggressive medulloblastoma by triggering MYC amplification and genomic instability | ||
Nat Commun Targeting USP47 overcomes tyrosine kinase inhibitor resistance and eradicates leukemia stem/progenitor cells in chronic myelogenous leukemia. | ||
Research (Wash D C) Magnetic Fields Affect Alcoholic Liver Disease by Liver Cell Oxidative Stress and Proliferation Regulation | ||
J Cell Biol LRR1-mediated replisome disassembly promotes DNA replication by recycling replisome components. | ||
Oncotarget TOP2Ahigh is the phenotype of recurrence and metastasis whereas TOP2Aneg cells represent cancer stem cells in prostate cancer.
|




