验证数据展示
经过测试的应用
| Positive WB detected in | A431 cells, HeLa cells, HaCaT cells, mouse skin tissue, rat skin tissue |
| Positive IP detected in | A431 cells |
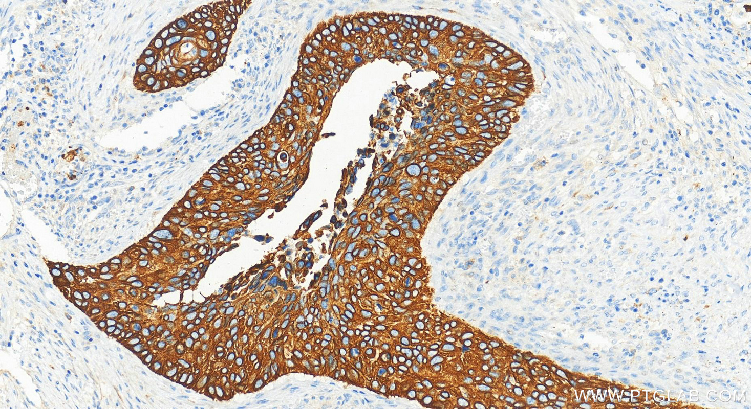
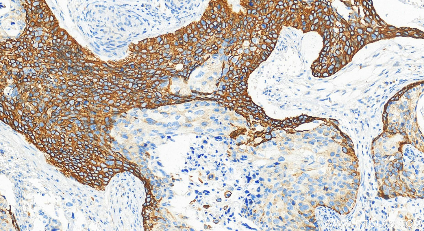
| Positive IHC detected in | human cervical squamous cancer tissue, human bowen disease tissue, human lung squamous cell carcinoma tissue Note: suggested antigen retrieval with TE buffer pH 9.0; (*) Alternatively, antigen retrieval may be performed with citrate buffer pH 6.0 |
| Positive IF/ICC detected in | HepG2 cells, HeLa cells |
推荐稀释比
| 应用 | 推荐稀释比 |
|---|---|
| Western Blot (WB) | WB : 1:1000-1:20000 |
| Immunoprecipitation (IP) | IP : 0.5-4.0 ug for 1.0-3.0 mg of total protein lysate |
| Immunohistochemistry (IHC) | IHC : 1:4000-1:16000 |
| Immunofluorescence (IF)/ICC | IF/ICC : 1:300-1:1200 |
| It is recommended that this reagent should be titrated in each testing system to obtain optimal results. | |
| Sample-dependent, Check data in validation data gallery. | |
产品信息
17516-1-AP targets Cytokeratin 17-Specific in WB, IHC, IF/ICC, IP, CoIP, ELISA applications and shows reactivity with human, mouse, rat samples.
| 经测试应用 | WB, IHC, IF/ICC, IP, ELISA Application Description |
| 文献引用应用 | WB, IHC, IF, CoIP |
| 经测试反应性 | human, mouse, rat |
| 文献引用反应性 | human, mouse, goat |
| 免疫原 |
Peptide 种属同源性预测 |
| 宿主/亚型 | Rabbit / IgG |
| 抗体类别 | Polyclonal |
| 产品类型 | Antibody |
| 全称 | keratin 17 |
| 别名 | Cytokeratin 17, KRT17, CK 17, CK-17, Cytokeratin,Keratin |
| 计算分子量 | 48 kDa |
| 观测分子量 | 48 kDa |
| GenBank蛋白编号 | NM_000422 |
| 基因名称 | Cytokeratin 17 |
| Gene ID (NCBI) | 3872 |
| RRID | AB_2133036 |
| 偶联类型 | Unconjugated |
| 形式 | Liquid |
| 纯化方式 | Antigen affinity purification |
| UNIPROT ID | Q04695 |
| 储存缓冲液 | PBS with 0.02% sodium azide and 50% glycerol, pH 7.3. |
| 储存条件 | Store at -20°C. Stable for one year after shipment. Aliquoting is unnecessary for -20oC storage. |
背景介绍
Keratins are a large family of proteins that form the intermediate filament cytoskeleton of epithelial cells, which are classified into two major sequence types. Type I keratins are a group of acidic intermediate filament proteins, including K9-K23, and the hair keratins Ha1-Ha8. Type II keratins are the basic or neutral courterparts to the acidic type I keratins, including K1-K8, and the hair keratins, Hb1-Hb6. Keratin 17 is a type I cytokeratin. It is found in nail beds, hair follicles, sebaceous glands, and other epidermal appendages. It is used as a marker for trauma. This antibody is specifically against KRT17.
实验方案
| Product Specific Protocols | |
|---|---|
| IF protocol for Cytokeratin 17-Specific antibody 17516-1-AP | Download protocol |
| IHC protocol for Cytokeratin 17-Specific antibody 17516-1-AP | Download protocol |
| IP protocol for Cytokeratin 17-Specific antibody 17516-1-AP | Download protocol |
| WB protocol for Cytokeratin 17-Specific antibody 17516-1-AP | Download protocol |
| Standard Protocols | |
|---|---|
| Click here to view our Standard Protocols |
发表文章
| Species | Application | Title |
|---|---|---|
Clin Cancer Res A Preclinical Trial and Molecularly Annotated Patient Cohort Identify Predictive Biomarkers in Homologous Recombination-deficient Pancreatic Cancer. | ||
Breast Cancer Res Anillin regulates breast cancer cell migration, growth, and metastasis by non-canonical mechanisms involving control of cell stemness and differentiation. | ||
Oncogene The keratin 17/YAP/IL6 axis contributes to E-cadherin loss and aggressiveness of diffuse gastric cancer
| ||
Phytother Res Epigallocatechin-3-gallate promotes wound healing response in diabetic mice by activating keratinocytes and promoting re-epithelialization | ||
J Invest Dermatol Keratin 17 Impacts Global Gene Expression and Controls G2/M Cell Cycle Transition in Ionizing Radiation-Induced Skin Damage |










