Various lysates were subjected to SDS PAGE followed by western blot with 80323-1-RR (METTL3 antibody) at dilution of 1:10000 incubated at room temperature for 1.5 hours.
Various lysates were subjected to SDS PAGE followed by western blot with 80790-1-RR (METTL14 antibody) at dilution of 1:5000 incubated at room temperature for 1.5 hours.
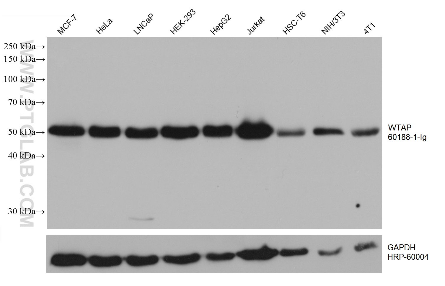
Various lysates were subjected to SDS PAGE followed by western blot with 60188-1-Ig (WTAP antibody) at dilution of 1:20000 incubated at room temperature for 1.5 hours. The membrane was stripped and reblotted with HRP-conjugated GAPDH Monoclonal antibody (HRP-60004) as loading control.
Various lysates were subjected to SDS PAGE followed by western blot with 81471-1-RR (FTO antibody) at dilution of 1:5000 incubated at room temperature for 1.5 hours.
4T1 cells were subjected to SDS PAGE followed by western blot with 67811-1-Ig (ALKBH5 antibody) at dilution of 1:10000 incubated at room temperature for 1.5 hours.
NIH/3T3 cells were subjected to SDS PAGE followed by western blot with 67811-1-Ig (ALKBH5 antibody) at dilution of 1:10000 incubated at room temperature for 1.5 hours.
Various lysates were subjected to SDS PAGE followed by western blot with 66745-1-Ig (YTHDF1 antibody) at dilution of 1:2000 incubated at room temperature for 1.5 hours.
Various lysates were subjected to SDS PAGE followed by western blot with 81340-1-RR (YTHDF2 antibody) at dilution of 1:10000 incubated at room temperature for 1.5 hours.
HEK-293 cells were lysised and immunoprecipitated with Protein A-m6A antibody and Protein A-mouse IgG3 control antibody respectively in the presence of RNAase inhibotor cocktail. The immunoprecipitated complex was washed diggested by RNAse A followed by western blot with YTHDF1(m6A reader) antibody 17479-1-AP (1:2000).
(Lysate: 3.6mg per IP; IP: 15µg antibody and 50µL beads, 4 hours at 4℃; Diggestion: 50µg/mL * 80µL RNAse A for 1 hour at 37℃; Loading: 20% of elution; Input: 10µg.)
HEK-293 cells were lysised and immunoprecipitated with Protein A-m6A antibody and Protein A-mouse IgG3 control antibody respectively in the presence of RNAase inhibotor cocktail. The immunoprecipitated complex was washed diggested by RNAse A followed by western blot with IGF2BP3 (m6A reader) antibody 66526-1-Ig (1:2000). (Lysate: 4.0 mg per IP; IP: 30µg antibody and 50µL beads, 4 hours at 4℃; Diggestion: 50µg/mL * 80µL RNAse A for 1 hour at 37℃; Loading: 20% of elution; Input: 10µg.)
IP result of anti-WTAP (IP:60188-1-Ig, 4ug; Detection:10200-1-AP 1:8000) with HeLa cells lysate 2000 ug.
IP result of anti-YTHDF1 (IP:66745-1-Ig, 4ug; Detection:66745-1-Ig 1:2000) with Jurkat cells lysate 2000 ug.
IP result of anti-YTHDF2 (IP:81340-1-RR, 4ug; Detection:81340-1-RR 1:1000) with HeLa cells lysate 1880 ug.
Immunohistochemical analysis of paraffin-embedded human breast cancer tissue slide using 68055-1-Ig (m6A antibody) at dilution of 1:4000 (under 10x lens). Heat mediated antigen retrieval with Tris-EDTA buffer (pH 9.0).
Immunohistochemical analysis of paraffin-embedded mouse testis tissue slide using 68055-1-Ig (m6A antibody) at dilution of 1:4000 (under 10x lens). Heat mediated antigen retrieval with Tris-EDTA buffer (pH 9.0).
Immunohistochemical analysis of paraffin-embedded mouse testis tissue slide using 80323-1-RR (METTL3 antibody) at dilution of 1:200 (under 10x lens). Heat mediated antigen retrieval with Tris-EDTA buffer (pH 9.0).
Immunohistochemical analysis of paraffin-embedded human colon cancer tissue slide using 80790-1-RR (METTL14 antibody) at dilution of 1:2000 (under 10x lens). Heat mediated antigen retrieval with Tris-EDTA buffer (pH 9.0).
Immunohistochemical analysis of paraffin-embedded human colon tissue slide using 60188-1-Ig (WTAP antibody) at dilution of 1:1000 (under 10x lens). Heat mediated antigen retrieval with Tris-EDTA buffer (pH 9.0).
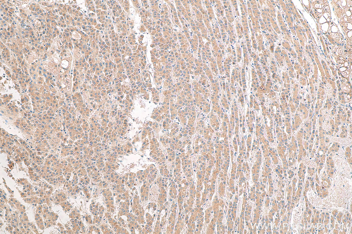
Immunohistochemical analysis of paraffin-embedded human liver cancer tissue slide using 81471-1-RR (FTO antibody) at dilution of 1:1000 (under 10x lens). Heat mediated antigen retrieval with Tris-EDTA buffer (pH 9.0).
Immunohistochemical analysis of paraffin-embedded mouse testis tissue slide using 67811-1-Ig (ALKBH5 antibody) at dilution of 1:1000 (under 10x lens). Heat mediated antigen retrieval with Tris-EDTA buffer (pH 9.0).
Immunohistochemical analysis of paraffin-embedded human colon cancer tissue slide using 66745-1-Ig (YTHDF1 antibody) at dilution of 1:2000 (under 10x lens). Heat mediated antigen retrieval with Tris-EDTA buffer (pH 9.0).