验证数据展示
经过测试的应用
| Positive WB detected in | MCF-7 cells, HeLa cells, HEK-293 cells, HepG2 cells, LNCaP cells, Jurkat cells, HSC-T6 cells, NIH/3T3 cells, 4T1 cells |
| Positive IP detected in | HeLa cells |
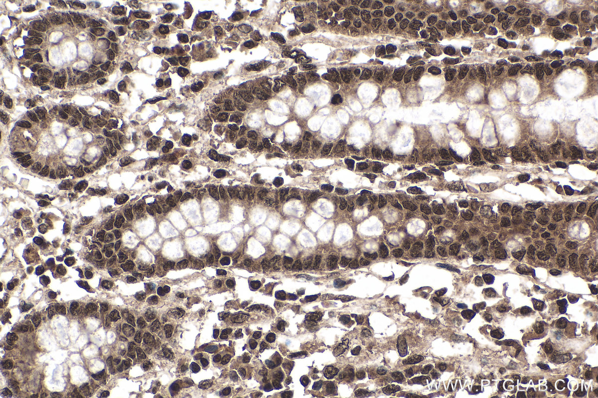
| Positive IHC detected in | human colon tissue Note: suggested antigen retrieval with TE buffer pH 9.0; (*) Alternatively, antigen retrieval may be performed with citrate buffer pH 6.0 |
| Positive IF/ICC detected in | HeLa cells |
推荐稀释比
| 应用 | 推荐稀释比 |
|---|---|
| Western Blot (WB) | WB : 1:5000-1:50000 |
| Immunoprecipitation (IP) | IP : 0.5-4.0 ug for 1.0-3.0 mg of total protein lysate |
| Immunohistochemistry (IHC) | IHC : 1:500-1:2000 |
| Immunofluorescence (IF)/ICC | IF/ICC : 1:50-1:500 |
| It is recommended that this reagent should be titrated in each testing system to obtain optimal results. | |
| Sample-dependent, Check data in validation data gallery. | |
产品信息
60188-1-Ig targets WTAP in WB, IHC, IF/ICC, IP, RIP, ELISA applications and shows reactivity with human, mouse, rat samples.
| 经测试应用 | WB, IHC, IF/ICC, IP, ELISA Application Description |
| 文献引用应用 | WB, IHC, IF, IP, RIP |
| 经测试反应性 | human, mouse, rat |
| 文献引用反应性 | human, mouse, rat, pig, drosophila |
| 免疫原 |
CatNo: Ag0259 Product name: Recombinant human WTAP protein Source: e coli.-derived, PGEX-4T Tag: GST Domain: 2-150 aa of BC000383 Sequence: TNEEPLPKKVRLSETDFKVMARDELILRWKQYEAYVQALEGKYTDLNSNDVTGLRESEEKLKQQQQESARRENILVMRLATKEQEMQECTTQIQYLKQVQQPSVAQLRSTMVDPAINLFFLKMKGELEQTKDKLEQAQNELSAWKFTPD 种属同源性预测 |
| 宿主/亚型 | Mouse / IgG1 |
| 抗体类别 | Monoclonal |
| 产品类型 | Antibody |
| 全称 | Wilms tumor 1 associated protein |
| 别名 | 4A10G9, Female-lethal(2)D homolog (hFL(2)D ), FL2D, KIAA0105, Mum2 |
| 计算分子量 | 45 kDa |
| 观测分子量 | 50 kDa |
| GenBank蛋白编号 | BC000383 |
| 基因名称 | WTAP |
| Gene ID (NCBI) | 9589 |
| RRID | AB_10859484 |
| 偶联类型 | Unconjugated |
| 形式 | Liquid |
| 纯化方式 | Protein G purification |
| UNIPROT ID | Q15007 |
| 储存缓冲液 | PBS with 0.02% sodium azide and 50% glycerol, pH 7.3. |
| 储存条件 | Store at -20°C. Stable for one year after shipment. Aliquoting is unnecessary for -20oC storage. |
背景介绍
WTAP, also named as KIAA0105 and hFL(2)D, is previously identified as a protein associated with Wilms' tumor-1 (WT-1) protein that is essential for the development of the genitourinary system. It is a Pre-mRNA-splicing regulator protein. It is a regulatory subunit of the WMM N6-methyltransferase complex which plays a role in the efficiency of mRNA splicing and processing and mRNA stability. It is required for accumulation of METTL3 and METTL14 to nuclear speckle. MW of WTAP is 45-50 kDa due to phosphorylation.
实验方案
| Product Specific Protocols | |
|---|---|
| IF protocol for WTAP antibody 60188-1-Ig | Download protocol |
| IHC protocol for WTAP antibody 60188-1-Ig | Download protocol |
| IP protocol for WTAP antibody 60188-1-Ig | Download protocol |
| WB protocol for WTAP antibody 60188-1-Ig | Download protocol |
| Standard Protocols | |
|---|---|
| Click here to view our Standard Protocols |
发表文章
| Species | Application | Title |
|---|---|---|
Science Stem cells. m6A mRNA methylation facilitates resolution of naïve pluripotency toward differentiation. | ||
Nat Cell Biol Redox regulation of m6A methyltransferase METTL3 in β-cells controls the innate immune response in type 1 diabetes | ||
Cell Res Oncogenic AURKA-enhanced N6-methyladenosine modification increases DROSHA mRNA stability to transactivate STC1 in breast cancer stem-like cells. | ||
Nat Neurosci Synaptic N6-methyladenosine (m6A) epitranscriptome reveals functional partitioning of localized transcripts. | ||
Mol Cell Altered m6A Modification of Specific Cellular Transcripts Affects Flaviviridae Infection. |





