验证数据展示
经过测试的应用
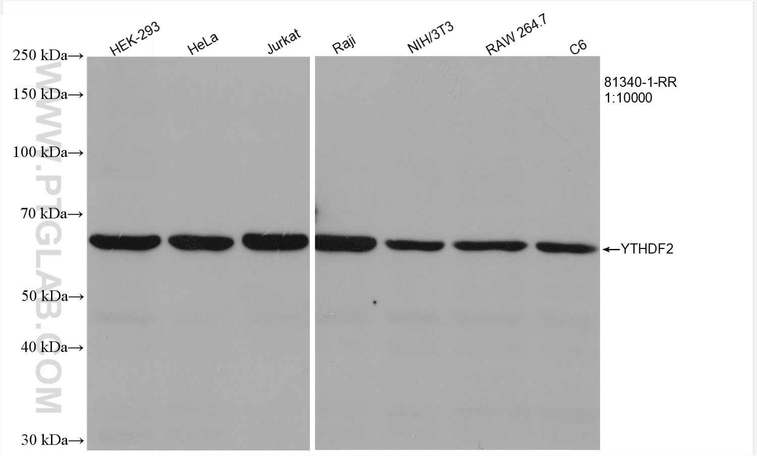
| Positive WB detected in | HEK-293 cells, Jurkat cells, HeLa cells, Raji cells, NIH/3T3 cells, RAW 264.7 cells, C6 cells | 
| Positive IP detected in | HeLa cells | 
| Positive IF/ICC detected in | sodium arsenite treated HeLa cells | 
推荐稀释比
| 应用 | 推荐稀释比 | 
|---|---|
| Western Blot (WB) | WB : 1:5000-1:10000 | 
| Immunoprecipitation (IP) | IP : 0.5-4.0 ug for 1.0-3.0 mg of total protein lysate | 
| Immunofluorescence (IF)/ICC | IF/ICC : 1:200-1:800 | 
| It is recommended that this reagent should be titrated in each testing system to obtain optimal results. | |
| Sample-dependent, Check data in validation data gallery. | |
产品信息
81340-1-RR targets YTHDF2 in WB, IF/ICC, IP, ELISA applications and shows reactivity with human, mouse, rat samples.
| 经测试应用 | WB, IF/ICC, IP, ELISA Application Description | 
| 经测试反应性 | human, mouse, rat | 
| 免疫原 | CatNo: Ag5922 Product name: Recombinant human YTHDF2 protein Source: e coli.-derived, PET28a Tag: 6*His Domain: 339-565 aa of BC002559 Sequence: LSVQQQAAQPTRWVAPRNRGSGFGHNGVDGNGVGQSQAGSGSTPSEPHPVLEKLRSINNYNPKDFDWNLKHGRVFIIKSYSEDDIHRSIKYNIWCSTEHGNKRLDAAYRSMNGKGPVYLLFSVNGSGHFCGVAEMKSAVDYNTCAGVWSQDKWKGRFDVRWIFVKDVPNSQLRHIRLENNENKPVTNSRDTQEVPLEKAKQVLKIIASYKHTTSIFDDFSHYEKRQE种属同源性预测 | 
| 宿主/亚型 | Rabbit / IgG | 
| 抗体类别 | Recombinant | 
| 产品类型 | Antibody | 
| 全称 | YTH domain family, member 2 | 
| 别名 | 3L6, CLL associated antigen KW 14, CLL-associated antigen KW-14, DF2, HGRG8 | 
| 计算分子量 | 62 kDa | 
| 观测分子量 | 65-70 kDa | 
| GenBank蛋白编号 | BC002559 | 
| 基因名称 | YTHDF2 | 
| Gene ID (NCBI) | 51441 | 
| RRID | AB_2923715 | 
| 偶联类型 | Unconjugated | 
| 形式 | Liquid | 
| 纯化方式 | Protein A purification | 
| UNIPROT ID | Q9Y5A9 | 
| 储存缓冲液 | PBS with 0.02% sodium azide and 50% glycerol, pH 7.3. | 
| 储存条件 | Store at -20°C. Stable for one year after shipment. Aliquoting is unnecessary for -20oC storage. | 
背景介绍
YTHDF2, also named as YTH domain-containing family protein 2, is a 579 amino acid protein, which contains 1 YTH domain. YTHDF2 specifically recognizes and binds N6-methyladenosine (m6A)-containing RNAs, and regulates mRNA stability. M6A is a modification present at internal sites of mRNAs and some non-coding RNAs and plays a role in the efficiency of mRNA splicing, processing and stability. YTHDF2 acts as a regulator of mRNA stability: binding to m6A-containing mRNAs results in the localization to mRNA decay sites, such as processing bodies (P-bodies), leading to mRNA degradation. YTHDF2 also acts as a promoter of cap-independent mRNA translation following heat shock stress: upon stress, relocalizes to the nucleus and specifically binds mRNAs with some m6A methylation mark at their 5'-UTR, protecting demethylation of mRNAs by FTO, thereby promoting cap-independent mRNA translation. The calculated molecular weight of YTHDF2 is 62 kDa, but the phosphorylated YTHDF2 is about 65-70 kDa.
实验方案
| Product Specific Protocols | |
|---|---|
| IF protocol for YTHDF2 antibody 81340-1-RR | Download protocol | 
| IP protocol for YTHDF2 antibody 81340-1-RR | Download protocol | 
| WB protocol for YTHDF2 antibody 81340-1-RR | Download protocol | 
| Standard Protocols | |
|---|---|
| Click here to view our Standard Protocols | 





