验证数据展示
经过测试的应用
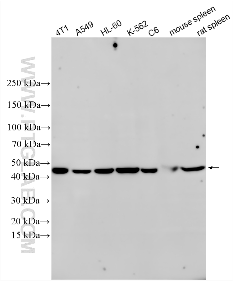
| Positive WB detected in | 4T1 cells, HepG2 cells, K-562 cells, L-929 cells, RAW 264.7 cells, A549 cells, HL-60 cells, C6 cells, mouse spleen tissue, rat spleen tissue |
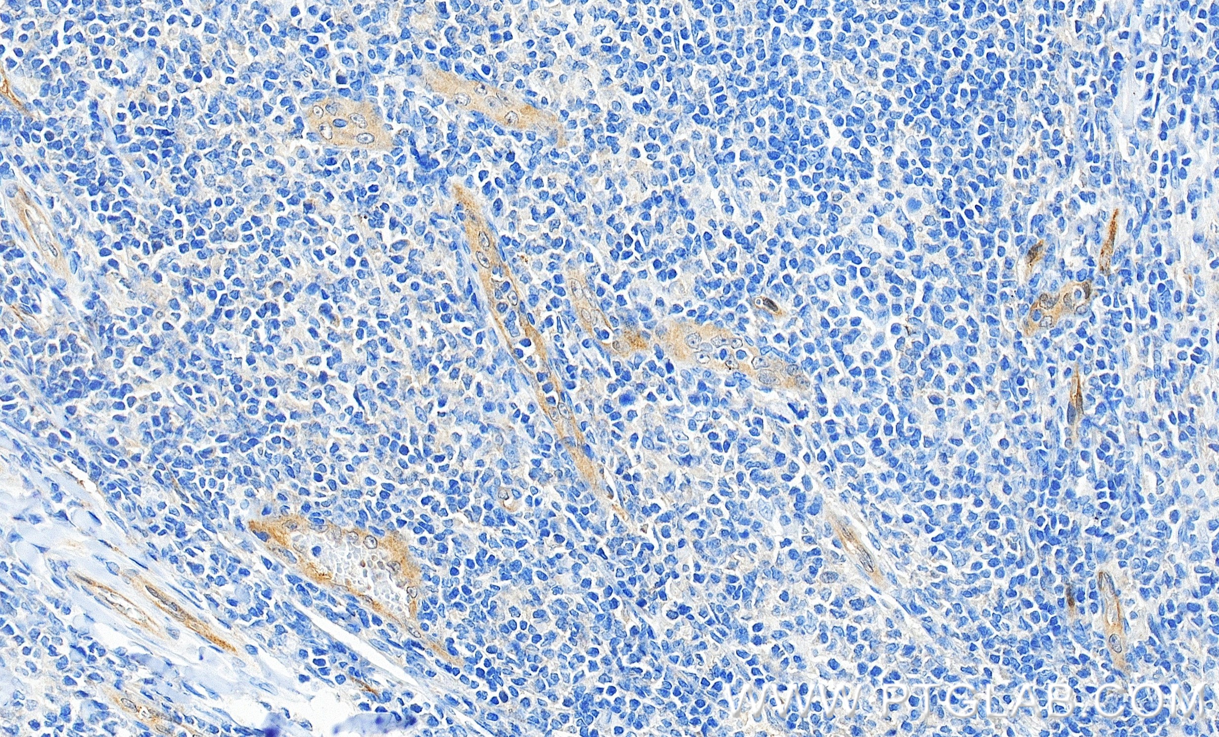
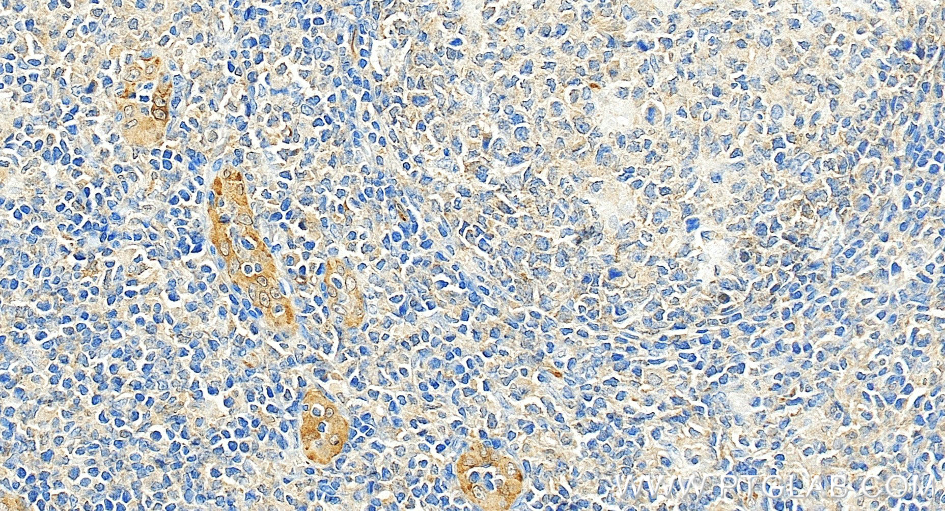
| Positive IHC detected in | mouse lung tissue, human tonsillitis tissue Note: suggested antigen retrieval with TE buffer pH 9.0; (*) Alternatively, antigen retrieval may be performed with citrate buffer pH 6.0 |
| Positive IF-P detected in | mouse lung tissue |
| Positive IF/ICC detected in | HEK-293 cells |
| Positive FC (Intra) detected in | HEK-293 cells |
推荐稀释比
| 应用 | 推荐稀释比 |
|---|---|
| Western Blot (WB) | WB : 1:2000-1:12000 |
| Immunohistochemistry (IHC) | IHC : 1:50-1:500 |
| Immunofluorescence (IF)-P | IF-P : 1:50-1:500 |
| Immunofluorescence (IF)/ICC | IF/ICC : 1:50-1:500 |
| Flow Cytometry (FC) (INTRA) | FC (INTRA) : 0.25 ug per 10^6 cells in a 100 µl suspension |
| It is recommended that this reagent should be titrated in each testing system to obtain optimal results. | |
| Sample-dependent, Check data in validation data gallery. | |
产品信息
81746-2-RR targets TGF Beta 1 in WB, IHC, IF/ICC, IF-P, FC (Intra), ELISA applications and shows reactivity with human, mouse, rat samples.
| 经测试应用 | WB, IHC, IF/ICC, IF-P, FC (Intra), ELISA Application Description |
| 文献引用应用 | WB, IHC, IF |
| 经测试反应性 | human, mouse, rat |
| 文献引用反应性 | human, mouse, rat, rabbit |
| 免疫原 |
CatNo: Ag13591 Product name: Recombinant human TGFB1 protein Source: e coli.-derived, PET28a Tag: 6*His Domain: 13-253 aa of BC000125 Sequence: LPLLWLLVLTPGRPAAGLSTCKTIDMELVKRKRIEAIRGQILSKLRLASPPSQGEVPPGPLPEAVLALYNSTRDRVAGESAEPEPEPEADYYAKEVTRVLMVETHNEIYDKFKQSTHSIYMFFNTSELREAVPEPVLLSRAELRLLRLKLKVEQHVELYQKYSNNSWRYLSNRLLAPSDSPEWLSFDVTGVVRQWLSRGGEIEGFRLSAHCSCDSRDNTLQVDINGFTTGRRGDLATIHGM 种属同源性预测 |
| 宿主/亚型 | Rabbit / IgG |
| 抗体类别 | Recombinant |
| 产品类型 | Antibody |
| 全称 | transforming growth factor, beta 1 |
| 别名 | TGFB1, TGFB1,TGF beta 1,TGFbeta,TGF-beta 1, TGF-beta1, 230544B7, Latency-associated peptide |
| 计算分子量 | 44 kDa |
| 观测分子量 | 44 kDa |
| GenBank蛋白编号 | BC000125 |
| 基因名称 | TGFB1 |
| Gene ID (NCBI) | 7040 |
| RRID | AB_3670503 |
| 偶联类型 | Unconjugated |
| 形式 | Liquid |
| 纯化方式 | Protein A purfication |
| UNIPROT ID | P01137 |
| 储存缓冲液 | PBS with 0.02% sodium azide and 50% glycerol, pH 7.3. |
| 储存条件 | Store at -20°C. Stable for one year after shipment. Aliquoting is unnecessary for -20oC storage. |
背景介绍
TGF Beta 1 (TGF-β1) is a pleiotropic cytokine and a member of the TGF-β superfamily (including TGF-β1, TGF-β2, and TGF-β3). It is encoded by the TGFB1 gene and acts as a secreted protein involved in controlling cell growth, proliferation, differentiation, and apoptosis. TGF-β1 is produced by various cell types (e.g., platelets, lymphocytes, macrophages, epithelial cells, and inflammatory cells) and is secreted as a precursor requiring proteolytic activation to yield the mature, biologically active peptide. TGF-β1 plays crucial roles in immune regulation, wound healing, fibrosis, and tissue remodeling (including cardiac injury and fibrosis). It also influences cancer progression by promoting epithelial-to-mesenchymal transition (EMT) and metastasis in tumors.
实验方案
| Product Specific Protocols | |
|---|---|
| FC protocol for TGF Beta 1 antibody 81746-2-RR | Download protocol |
| IF protocol for TGF Beta 1 antibody 81746-2-RR | Download protocol |
| IHC protocol for TGF Beta 1 antibody 81746-2-RR | Download protocol |
| WB protocol for TGF Beta 1 antibody 81746-2-RR | Download protocol |
| Standard Protocols | |
|---|---|
| Click here to view our Standard Protocols |
发表文章
| Species | Application | Title |
|---|---|---|
Free Radic Biol Med N6-methyladenosine modification of SPOP relieves ferroptosis and diabetic cardiomyopathy by enhancing ubiquitination of VDAC3 | ||
J Orthop Surg Res Regeneration process of severed rabbit common calcanean tendons influenced by external compression | ||
Life (Basel) Anticancer Effects of Weizmannia coagulans MZY531 Postbiotics in CT26 Colorectal Tumor-Bearing Mice by Regulating Apoptosis and Autophagy | ||
J Ethnopharmacol New idea of Fuke Qianjin capsule in treating sequelae of pelvic inflammatory disease: anti-inflammatory in the early stage and reparative in the later stage | ||
Front Immunol Acute hypoxia modulate macrophage phenotype accompanied with transcriptome re-programming and metabolic re-modeling | ||
Urolithiasis Inhibition of NLRP3 alleviates calcium oxalate crystal-induced renal fibrosis and crystal adhesion |













