验证数据展示
经过测试的应用
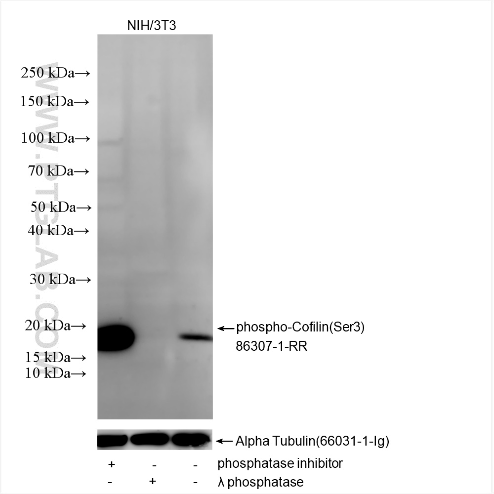
| Positive WB detected in | HeLa cells, NIH/3T3 cells, λ phosphatase treated HeLa cells, λ phosphatase treated NIH/3T3 cells |
| Positive IF/ICC detected in | λ phosphatase treated Hela cells |
| Positive FC (Intra) detected in | λ phosphatase treated HeLa cells |
推荐稀释比
| 应用 | 推荐稀释比 |
|---|---|
| Western Blot (WB) | WB : 1:2000-1:10000 |
| Immunofluorescence (IF)/ICC | IF/ICC : 1:200-1:800 |
| Flow Cytometry (FC) (INTRA) | FC (INTRA) : 0.25 ug per 10^6 cells in a 100 µl suspension |
| It is recommended that this reagent should be titrated in each testing system to obtain optimal results. | |
| Sample-dependent, Check data in validation data gallery. | |
产品信息
86307-1-RR targets Phospho-Cofilin (Ser3) in WB, IF/ICC, FC (Intra), ELISA applications and shows reactivity with human, mouse samples.
| 经测试应用 | WB, IF/ICC, FC (Intra), ELISA Application Description |
| 经测试反应性 | human, mouse |
| 免疫原 |
Peptide 种属同源性预测 |
| 宿主/亚型 | Rabbit / IgG |
| 抗体类别 | Recombinant |
| 产品类型 | Antibody |
| 全称 | cofilin 1 (non-muscle) |
| 别名 | Cofilin (phospho S3), Cofilin (Ser3), p Cofilin, p-Cofilin, p-Cofilin (Ser3) |
| 计算分子量 | 18 kDa |
| 观测分子量 | 18 kDa |
| GenBank蛋白编号 | BC012318 |
| 基因名称 | Cofilin |
| Gene ID (NCBI) | 1072 |
| 偶联类型 | Unconjugated |
| 形式 | Liquid |
| 纯化方式 | Protein A purification |
| UNIPROT ID | P23528 |
| 储存缓冲液 | PBS with 0.02% sodium azide and 50% glycerol, pH 7.3. |
| 储存条件 | Store at -20°C. Stable for one year after shipment. Aliquoting is unnecessary for -20oC storage. |
背景介绍
Cofilin is a ubiquitous actin-binding protein required for the reorganization of actin filaments. It is a member of the ADF (actin-depolymerizing factor)/cofilin family that is a key regulator of actin dynamics and essential for cellular motility, cytokinesis, and endocytosis. Cofilin activity is tightly regulated by phosphorylation and dephosphorylation. Phosphorylation at Ser3 can inhibit its activity, also causing translocation from the nucleus to the cytoplasm.
实验方案
| Product Specific Protocols | |
|---|---|
| FC protocol for Phospho-Cofilin (Ser3) antibody 86307-1-RR | Download protocol |
| IF protocol for Phospho-Cofilin (Ser3) antibody 86307-1-RR | Download protocol |
| WB protocol for Phospho-Cofilin (Ser3) antibody 86307-1-RR | Download protocol |
| Standard Protocols | |
|---|---|
| Click here to view our Standard Protocols |



