IHCeasy® CFL1 Ready-To-Use IHC Kit
CFL1 Ready-to-use reagent kit for IHC.
Reactivity
Human, Mouse, Rat
Sample Type
FFPE tissue
Cat no : KHC0534
Synonyms
18 kDa phosphoprotein, CFL, CFL1, Cofilin, Cofilin 1, cofilin 1 (non muscle), Cofilin, non muscle isoform, p18
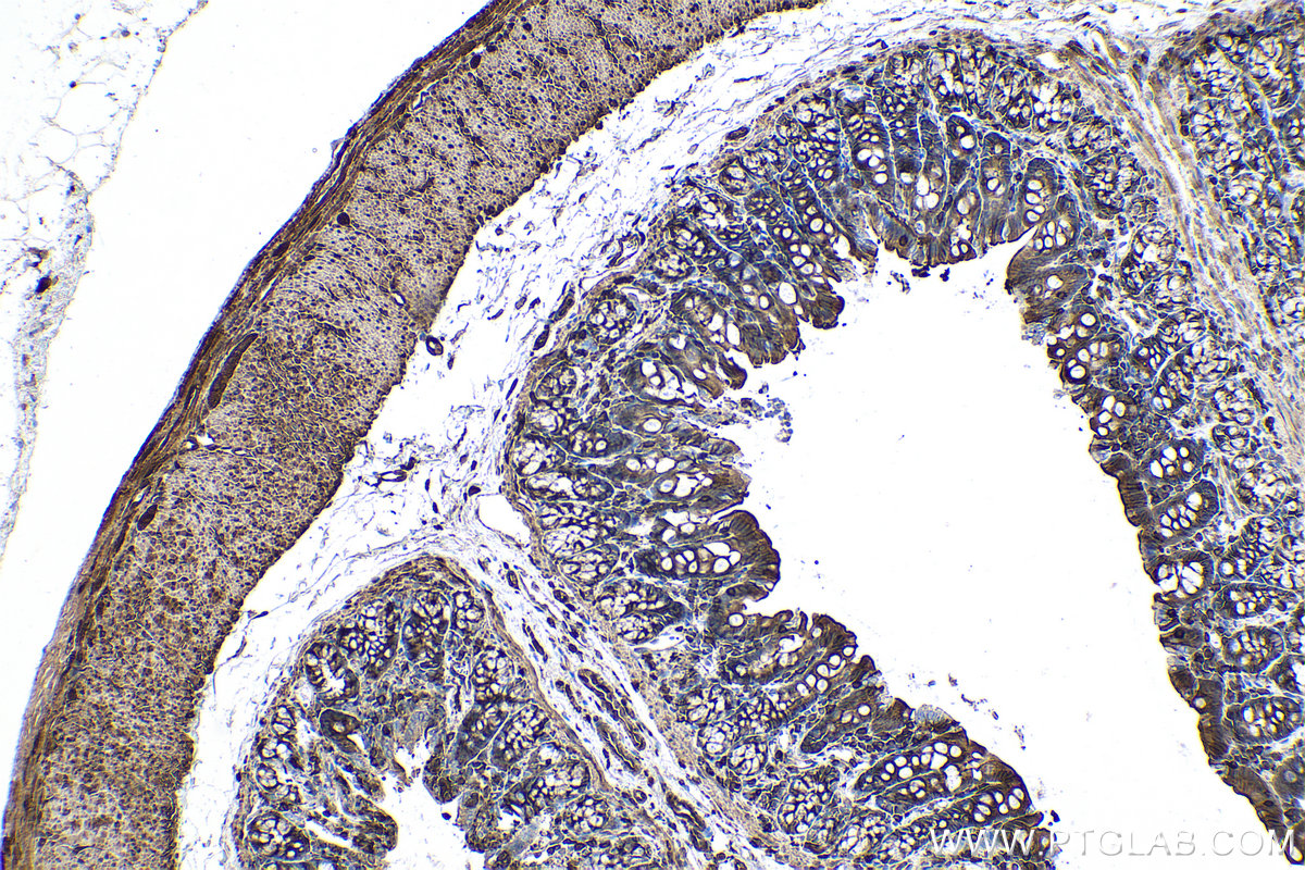
Validation Data Gallery
Product Information
KHC0534 is a ready-to-use IHC kit for staining of CFL1. The kit provides all reagents, from antigen retrieval to cover slip mounting, that require little to no diluting or handling prior to use. Simply apply the reagents to your sample slide according to the protocol and you're steps away from obtaining high-quality IHC data.
| Product name | IHCeasy CFL1 Ready-To-Use IHC Kit |
| Sample type | FFPE tissue |
| Assay type | Immunohistochemistry |
| Primary antibody type | Mouse Monoclonal |
| Secondary antibody type | Polymer-HRP-Goat anti-Mouse |
| Reactivity | Human, Mouse, Rat |
Kit components
| Component | Size | Concentration |
|---|---|---|
| Antigen Retrieval Buffer | 100 mL | 50× |
| Washing Buffer | 100 mL ×2 | 20× |
| Blocking Buffer | 5 mL | RTU |
| Primary Antibody | 5 mL | RTU |
| Secondary Antibody | 5 mL | RTU |
| Chromogen Component A | 0.2 mL | RTU |
| Chromogen Component B | 4 mL | RTU |
| Signal Enhancer | 5 mL | RTU |
| Counter Staining Reagent | 5 mL | RTU |
| Mounting Media | 5 mL | RTU |
| Datasheet | 1 Copy | |
| Manual | 1 Copy |
Background Information
Cofilin is a ubiquitous actin-binding protein required for the reorganization of actin filaments. It is a member of ADF (actin-depolymerizing factor)/cofilin family that is a key regulator of actin dynamics and essential for cellular motility, cytokinesis, and endocytosis. Cofilin activity is tightly regulated by phosphorylation and dephosphorylation. Phosphorylation at Ser3 can inhibit its activity, also causing translocation from the nucleus to the cytoplasm.
Properties
| Storage Instructions | All the reagents are stored at 2-8°C. The kit is stable for 6 months from the date of receipt. |
| Synonyms | 18 kDa phosphoprotein, CFL, CFL1, Cofilin, Cofilin 1, cofilin 1 (non muscle), Cofilin, non muscle isoform, p18 |







