验证数据展示
经过测试的应用
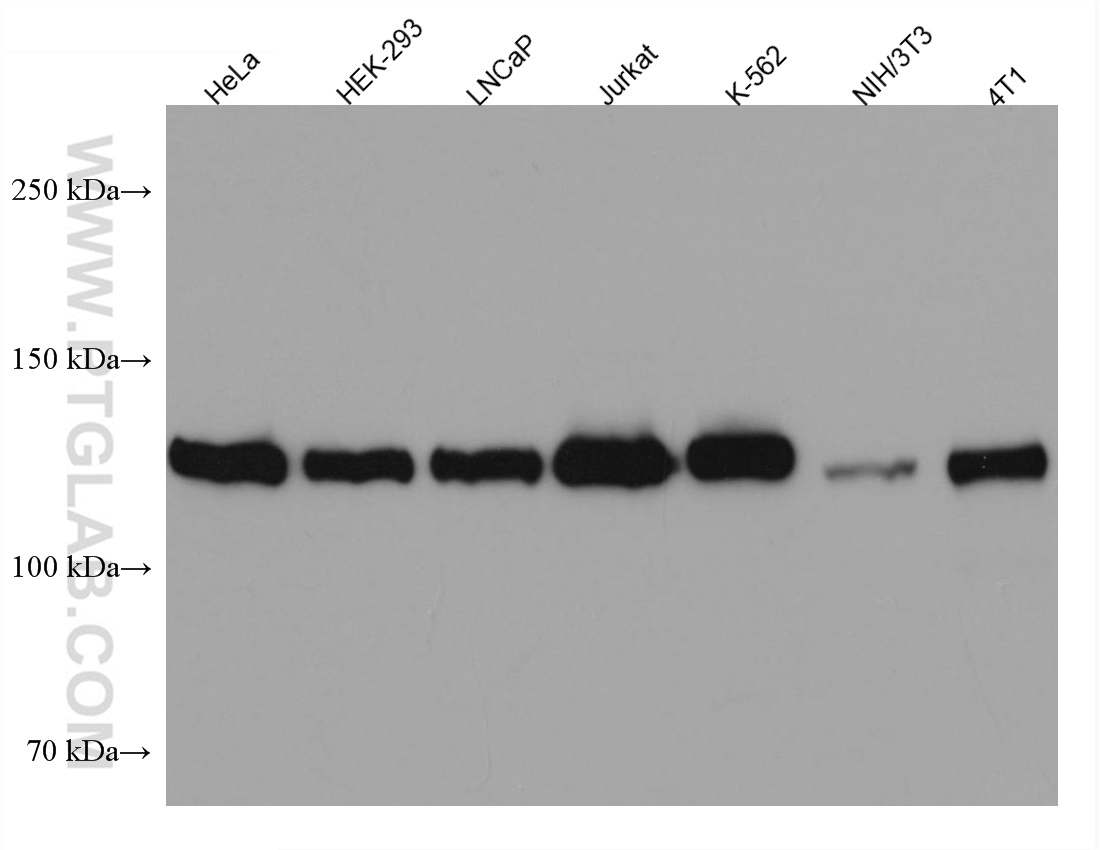
| Positive WB detected in | HeLa cells, NIH/3T3 cells, HEK-293 cells, LNcaP cells, Jurkat cells, K-562 cells, 4T1 cells | 
| Positive IHC detected in | human breast cancer tissue Note: suggested antigen retrieval with TE buffer pH 9.0; (*) Alternatively, antigen retrieval may be performed with citrate buffer pH 6.0 | 
| Positive IF/ICC detected in | HeLa cells | 
| Positive FC (Intra) detected in | HeLa cells | 
推荐稀释比
| 应用 | 推荐稀释比 | 
|---|---|
| Western Blot (WB) | WB : 1:5000-1:50000 | 
| Immunohistochemistry (IHC) | IHC : 1:500-1:2000 | 
| Immunofluorescence (IF)/ICC | IF/ICC : 1:200-1:800 | 
| Flow Cytometry (FC) (INTRA) | FC (INTRA) : 0.40 ug per 10^6 cells in a 100 µl suspension | 
| It is recommended that this reagent should be titrated in each testing system to obtain optimal results. | |
| Sample-dependent, Check data in validation data gallery. | |
产品信息
67321-1-Ig targets USP8 in WB, IHC, IF/ICC, FC (Intra), IP, CoIP, ELISA applications and shows reactivity with human, mouse samples.
| 经测试应用 | WB, IHC, IF/ICC, FC (Intra), ELISA Application Description | 
| 文献引用应用 | WB, IHC, IF, IP, CoIP | 
| 经测试反应性 | human, mouse | 
| 文献引用反应性 | human | 
| 免疫原 | CatNo: Ag27104 Product name: Recombinant human USP8 protein Source: e coli.-derived, PET28a Tag: 6*His Domain: 15-253 aa of BC110590 Sequence: SSLKDLNKKTEVKPEKISTKSYVHSALKIFKTAEECRLDRDEERAYVLYMKYVTVYNLIKKRPDFKQQQDYFHSILGPGNIKKAVEEAERLSESLKLRYEEAEVRKKLEEKDRQEEAQRLQQKRQETGREDGGTLAKGSLENVLDSKDKTQKSNGEKNEKCETKEKGAITAKELYTMMTDKNISLIIMDARRMQDYQDSCILHSLSVPEEAISPGVTASWIEAHLPDDSKDTWKKRGNV种属同源性预测 | 
| 宿主/亚型 | Mouse / IgG1 | 
| 抗体类别 | Monoclonal | 
| 产品类型 | Antibody | 
| 全称 | ubiquitin specific peptidase 8 | 
| 别名 | 1E12E3, EC:3.4.19.12, hUBPy, HumORF8, KIAA0055 | 
| 计算分子量 | 1118 aa, 128 kDa | 
| 观测分子量 | 128 kDa | 
| GenBank蛋白编号 | BC110590 | 
| 基因名称 | USP8 | 
| Gene ID (NCBI) | 9101 | 
| RRID | AB_2882581 | 
| 偶联类型 | Unconjugated | 
| 形式 | Liquid | 
| 纯化方式 | Protein G purification | 
| UNIPROT ID | P40818 | 
| 储存缓冲液 | PBS with 0.02% sodium azide and 50% glycerol, pH 7.3. | 
| 储存条件 | Store at -20°C. Stable for one year after shipment. Aliquoting is unnecessary for -20oC storage. | 
背景介绍
USP8 is thought to regulate the morphology of the endosome by ubiquitination of proteins on this organelle and is involved in cargo sorting and membrane trafficking at the early endosome stage.
实验方案
| Product Specific Protocols | |
|---|---|
| IF protocol for USP8 antibody 67321-1-Ig | Download protocol | 
| IHC protocol for USP8 antibody 67321-1-Ig | Download protocol | 
| WB protocol for USP8 antibody 67321-1-Ig | Download protocol | 
| Standard Protocols | |
|---|---|
| Click here to view our Standard Protocols | 
发表文章
| Species | Application | Title | 
|---|---|---|
| Cell Death Dis USP8 positively regulates hepatocellular carcinoma tumorigenesis and confers ferroptosis resistance through β-catenin stabilization | ||
| J Hum Genet A heterozygous germline deletion within USP8 causes severe neurodevelopmental delay with multiorgan abnormalities | ||
| Cell Death Dis Mechanical signal modulates prostate cancer immune escape by USP8-mediated ubiquitination-dependent degradation of PD-L1 and MHC-1 | ||
| Adv Sci (Weinh) Targeting USP8 Inhibits O-GlcNAcylation of SLC7A11 to Promote Ferroptosis of Hepatocellular Carcinoma via Stabilization of OGT | ||
| J Adv Res The ubiquitin-specific protease 8 antagonizes melatonin-induced endocytic degradation of MT(1) receptor to promote lung adenocarcinoma growth
 | 










