验证数据展示
经过测试的应用
| Positive WB detected in | A431 cells, T-47D cells, L02 cells, Raji cells, HeLa cells, HEK-293 cells, HepG2 cells, K-562 cells, Jurkat cells |
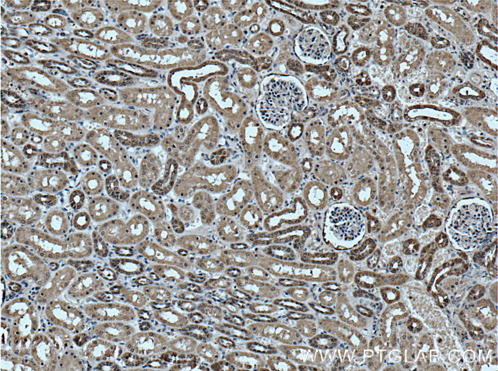
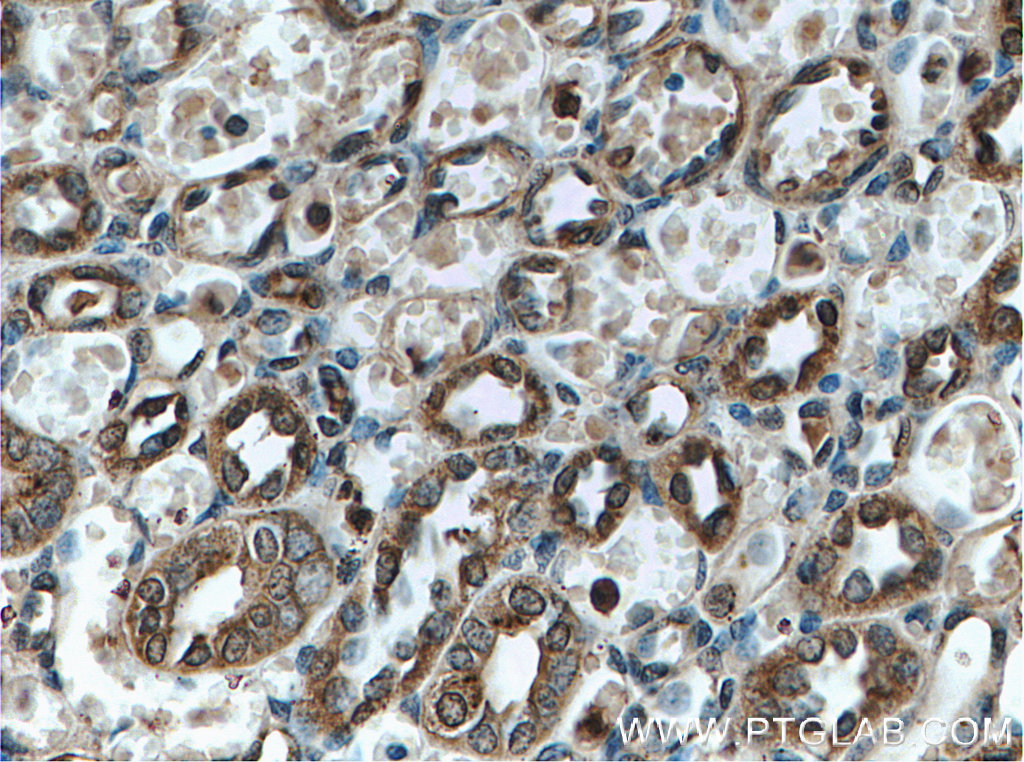
| Positive IHC detected in | human kidney tissue, human colon cancer tissue Note: suggested antigen retrieval with TE buffer pH 9.0; (*) Alternatively, antigen retrieval may be performed with citrate buffer pH 6.0 |
| Positive IF/ICC detected in | HepG2 cells |
| Positive FC (Intra) detected in | HEK-293 cells |
推荐稀释比
| 应用 | 推荐稀释比 |
|---|---|
| Western Blot (WB) | WB : 1:5000-1:50000 |
| Immunohistochemistry (IHC) | IHC : 1:50-1:500 |
| Immunofluorescence (IF)/ICC | IF/ICC : 1:200-1:800 |
| Flow Cytometry (FC) (INTRA) | FC (INTRA) : 0.40 ug per 10^6 cells in a 100 µl suspension |
| It is recommended that this reagent should be titrated in each testing system to obtain optimal results. | |
| Sample-dependent, Check data in validation data gallery. | |
发表文章中的应用
| WB | See 3 publications below |
| IF | See 1 publications below |
产品信息
66562-1-Ig targets TOM22 in WB, IHC, IF/ICC, FC (Intra), ELISA applications and shows reactivity with human samples.
| 经测试应用 | WB, IHC, IF/ICC, FC (Intra), ELISA Application Description |
| 文献引用应用 | WB, IF |
| 经测试反应性 | human |
| 文献引用反应性 | human, mouse |
| 免疫原 |
CatNo: Ag1797 Product name: Recombinant human TOMM22 protein Source: e coli.-derived, PGEX-4T Tag: GST Domain: 1-142 aa of BC009363 Sequence: MAAAVAAAGAGEPQSPDELLPKGDAEKPEEELEEDDDEELDETLSERLWGLTEMFPERVRSAAGATFDLSLFVAQKMYRFSRAALWIGTTSFMILVLPVVFETEKLQMEQQQQLQQRQILLGPNTGLSGGMPGALPSLPGKI 种属同源性预测 |
| 宿主/亚型 | Mouse / IgG2a |
| 抗体类别 | Monoclonal |
| 产品类型 | Antibody |
| 全称 | translocase of outer mitochondrial membrane 22 homolog (yeast) |
| 别名 | TOMM22, 1C2B11, 1C9 2, hTom22, MST065 |
| 计算分子量 | 15 kDa |
| 观测分子量 | 22 kDa |
| GenBank蛋白编号 | BC009363 |
| 基因名称 | TOMM22/Tom22 |
| Gene ID (NCBI) | 56993 |
| RRID | AB_2881923 |
| 偶联类型 | Unconjugated |
| 形式 | Liquid |
| 纯化方式 | Protein A purification |
| UNIPROT ID | Q9NS69 |
| 储存缓冲液 | PBS with 0.02% sodium azide and 50% glycerol, pH 7.3. |
| 储存条件 | Store at -20°C. Stable for one year after shipment. Aliquoting is unnecessary for -20oC storage. |
背景介绍
Tom22 is a central receptor component of the translocase of the outer membrane of mitochondria responsible for the recognition and translocation of cytosolically synthesized mitochondrial preproteins. It is showed in UniProt that phosphorylation is performed at three positions of this protein which may increase the molecular weight. Catalog#66562-1-Ig recognises the 22 kDa protein larger than the calculated MW which is 15 kDa. Besides, it has been reported the MV of TOMM22 is 22 kDa (PMID:19285029).
实验方案
| Product Specific Protocols | |
|---|---|
| FC protocol for TOM22 antibody 66562-1-Ig | Download protocol |
| IF protocol for TOM22 antibody 66562-1-Ig | Download protocol |
| IHC protocol for TOM22 antibody 66562-1-Ig | Download protocol |
| WB protocol for TOM22 antibody 66562-1-Ig | Download protocol |
| Standard Protocols | |
|---|---|
| Click here to view our Standard Protocols |
发表文章
| Species | Application | Title |
|---|---|---|
Science Structural insight into the SAM-mediated assembly of the mitochondrial TOM core complex. | ||
Nat Commun Neutrophils restrain sepsis associated coagulopathy via extracellular vesicles carrying superoxide dismutase 2 in a murine model of lipopolysaccharide induced sepsis | ||
bioRxiv Novel reporter of the PINK1-Parkin mitophagy pathway identifies its damage sensor in the import gate | ||
EMBO J A unified mechanism for mitochondrial damage sensing in PINK1-Parkin-mediated mitophagy. |









