验证数据展示
经过测试的应用
| Positive WB detected in | HeLa cells, MCF-7 cells, CHO cells, mouse brain tissue, rat brain tissue, fetal human brain tissue, human placenta tissue |
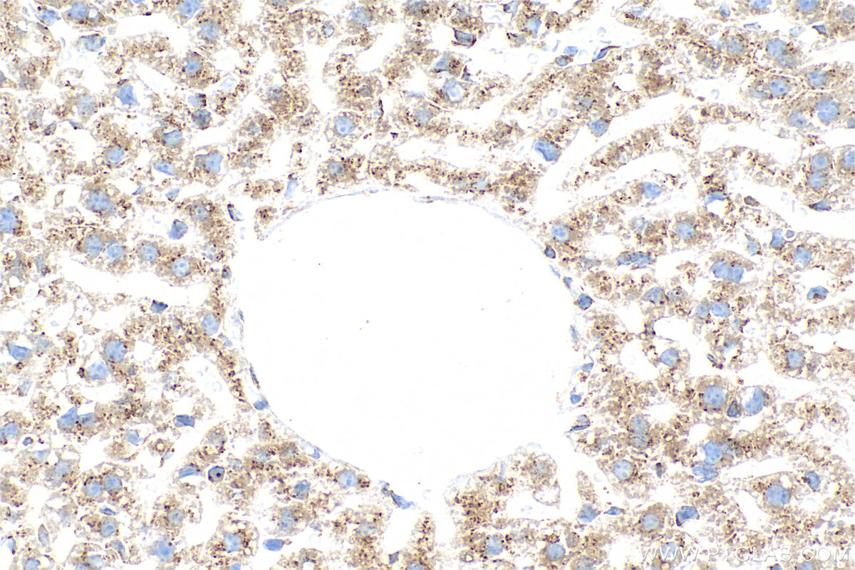
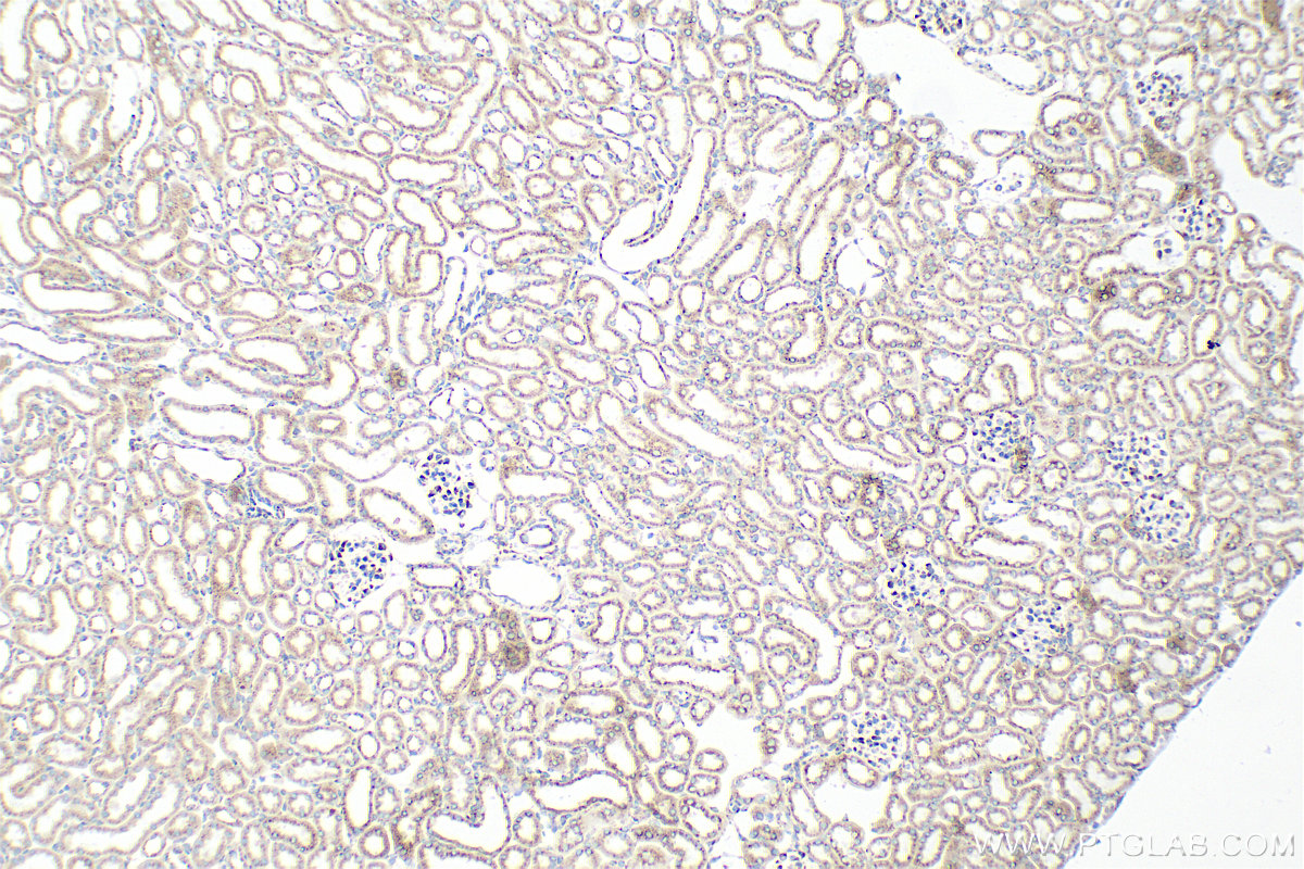
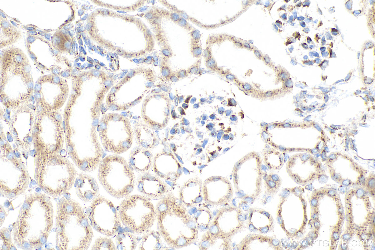
| Positive IHC detected in | mouse liver tissue, mouse kidney tissue Note: suggested antigen retrieval with TE buffer pH 9.0; (*) Alternatively, antigen retrieval may be performed with citrate buffer pH 6.0 |
| Positive FC (Intra) detected in | SH-SY5Y cells |
推荐稀释比
| 应用 | 推荐稀释比 |
|---|---|
| Western Blot (WB) | WB : 1:5000-1:50000 |
| Immunohistochemistry (IHC) | IHC : 1:500-1:2000 |
| Flow Cytometry (FC) (INTRA) | FC (INTRA) : 0.25 ug per 10^6 cells in a 100 µl suspension |
| It is recommended that this reagent should be titrated in each testing system to obtain optimal results. | |
| Sample-dependent, Check data in validation data gallery. | |
产品信息
85037-5-RR targets SEC22B in WB, IHC, FC (Intra), ELISA applications and shows reactivity with human, mouse, rat, hamster samples.
| 经测试应用 | WB, IHC, FC (Intra), ELISA Application Description |
| 经测试反应性 | human, mouse, rat, hamster |
| 免疫原 |
CatNo: Ag12981 Product name: Recombinant human SEC22B protein Source: e coli.-derived, PGEX-4T Tag: GST Domain: 2-215 aa of BC001364 Sequence: VLLTMIARVADGLPLAASMQEDEQSGRDLQQYQSQAKQLFRKLNEQSPTRCTLEAGAMTFHYIIEQGVCYLVLCEAAFPKKLAFAYLEDLHSEFDEQHGKKVPTVSRPYSFIEFDTFIQKTKKLYIDSRARRNLGSINTELQDVQRIMVANIEEVLQRGEALSALDSKANNLSSLSKKYRQDAKYLNMRSTYAKLAAVAVFFIMLIVYVRFWWL 种属同源性预测 |
| 宿主/亚型 | Rabbit / IgG |
| 抗体类别 | Recombinant |
| 产品类型 | Antibody |
| 全称 | SEC22 vesicle trafficking protein homolog B (S. cerevisiae) |
| 别名 | 242659B3, ER-Golgi SNARE of 24 kDa, ERS24, ERS-24, SEC22 vesicle-trafficking protein homolog B |
| 计算分子量 | 25 kDa |
| 观测分子量 | 24 kDa |
| GenBank蛋白编号 | BC001364 |
| 基因名称 | SEC22B |
| Gene ID (NCBI) | 9554 |
| RRID | AB_3743958 |
| 偶联类型 | Unconjugated |
| 形式 | Liquid |
| 纯化方式 | Protein A purification |
| UNIPROT ID | O75396 |
| 储存缓冲液 | PBS with 0.02% sodium azide and 50% glycerol, pH 7.3. |
| 储存条件 | Store at -20°C. Stable for one year after shipment. Aliquoting is unnecessary for -20oC storage. |
背景介绍
Soluble N-ethylmaleimide-sensitive factor (NSF) attachment protein receptor (SNARE) proteins are critical components of the membrane fusion machinery (PMID: 20163564). SEC22B is a SNARE involved in endoplasmic reticulum (ER)/Golgi membrane trafficking. SEC22B localizes to the ER-Golgi intermediate compartment (ERGIC) and has been identified as a regulator of antigen crosspresentation (PMID: 22153078).
实验方案
| Product Specific Protocols | |
|---|---|
| FC protocol for SEC22B antibody 85037-5-RR | Download protocol |
| IHC protocol for SEC22B antibody 85037-5-RR | Download protocol |
| WB protocol for SEC22B antibody 85037-5-RR | Download protocol |
| Standard Protocols | |
|---|---|
| Click here to view our Standard Protocols |







