验证数据展示
经过测试的应用
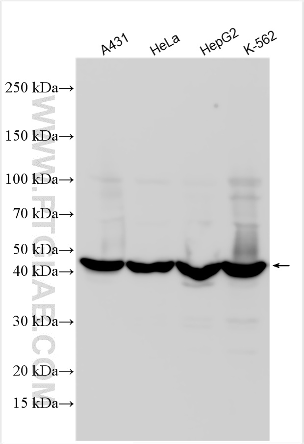
| Positive WB detected in | A431 cells, HeLa cells, HepG2 cells, HUVEC cells, K-562 cells |
| Positive IP detected in | K-562 cells |
| Positive IHC detected in | human appendicitis tissue Note: suggested antigen retrieval with TE buffer pH 9.0; (*) Alternatively, antigen retrieval may be performed with citrate buffer pH 6.0 |
| Positive IF/ICC detected in | HepG2 cells |
| Positive FC (Intra) detected in | HepG2 cells |
推荐稀释比
| 应用 | 推荐稀释比 |
|---|---|
| Western Blot (WB) | WB : 1:5000-1:50000 |
| Immunoprecipitation (IP) | IP : 0.5-4.0 ug for 1.0-3.0 mg of total protein lysate |
| Immunohistochemistry (IHC) | IHC : 1:1000-1:4000 |
| Immunofluorescence (IF)/ICC | IF/ICC : 1:200-1:800 |
| Flow Cytometry (FC) (INTRA) | FC (INTRA) : 0.40 ug per 10^6 cells in a 100 µl suspension |
| It is recommended that this reagent should be titrated in each testing system to obtain optimal results. | |
| Sample-dependent, Check data in validation data gallery. | |
产品信息
11661-1-AP targets RRM2 in WB, IHC, IF/ICC, FC (Intra), IP, CoIP, RIP, ELISA applications and shows reactivity with human samples.
| 经测试应用 | WB, IHC, IF/ICC, FC (Intra), IP, ELISA Application Description |
| 文献引用应用 | WB, IHC, IF, IP, CoIP, RIP |
| 经测试反应性 | human |
| 文献引用反应性 | human, mouse, chicken |
| 免疫原 |
CatNo: Ag2203 Product name: Recombinant human RRM2 protein Source: e coli.-derived, PGEX-4T Tag: GST Domain: 1-389 aa of BC030154 Sequence: MLSLRVPLAPITDPQQLQLSPLKGLSLVDKENTPPALSGTRVLASKTARRIFQEPTEPKTKAAAPGVEDEPLLRENPRRFVIFPIEYHDIWQMYKKAEASFWTAEEVDLSKDIQHWESLKPEERYFISHVLAFFAASDGIVNENLVERFSQEVQITEARCFYGFQIAMENIHSEMYSLLIDTYIKDPKEREFLFNAIETMPCVKKKADWALRWIGDKEATYGERVVAFAAVEGIFFSGSFASIFWLKKRGLMPGLTFSNELISRDEGLHCDFACLMFKHLVHKPSEERVREIIINAVRIEQEFLTEALPVKLIGMNCTLMKQYIEFVADRLMLELGFSKVFRVENPFDFMENISLEGKTNFFEKRVGEYQRMGVMSSPTENSFTLDADF 种属同源性预测 |
| 宿主/亚型 | Rabbit / IgG |
| 抗体类别 | Polyclonal |
| 产品类型 | Antibody |
| 全称 | ribonucleotide reductase M2 polypeptide |
| 别名 | EC:1.17.4.1, R2, RR2, RR2M |
| 计算分子量 | 389 aa, 45 kDa |
| 观测分子量 | 45 kDa |
| GenBank蛋白编号 | BC030154 |
| 基因名称 | RRM2 |
| Gene ID (NCBI) | 6241 |
| RRID | AB_2180392 |
| 偶联类型 | Unconjugated |
| 形式 | Liquid |
| 纯化方式 | Antigen affinity purification |
| UNIPROT ID | P31350 |
| 储存缓冲液 | PBS with 0.02% sodium azide and 50% glycerol, pH 7.3. |
| 储存条件 | Store at -20°C. Stable for one year after shipment. Aliquoting is unnecessary for -20oC storage. |
背景介绍
Ribonucleotide reductase M2 subunit is one of two subunits that constitute ribonucleotide reductase, the enzyme that catalyzes the conversion of ribonucleotide 5'-diphosphates into 2'-deoxyribonucleotides, a rate-limiting step in the production of 2'-deoxyribonucleoside 5'-diphosphates (dNTP) required for DNA synthesis and repair that is required for DNA synthesis and repair [PMID:20825972, 19250552]. RRM2 is only expressed during the late G1/early S phase, and degraded in late S phase, and the activity of RNR, and therefore DNA synthesis and cell proliferation, is controlled during the cell cycle by the synthesis and degradation of RRM2 subunit [PMID:3894352].
实验方案
| Product Specific Protocols | |
|---|---|
| FC protocol for RRM2 antibody 11661-1-AP | Download protocol |
| IF protocol for RRM2 antibody 11661-1-AP | Download protocol |
| IHC protocol for RRM2 antibody 11661-1-AP | Download protocol |
| IP protocol for RRM2 antibody 11661-1-AP | Download protocol |
| WB protocol for RRM2 antibody 11661-1-AP | Download protocol |
| Standard Protocols | |
|---|---|
| Click here to view our Standard Protocols |
发表文章
| Species | Application | Title |
|---|---|---|
Cell Rep The mechano-chemical circuit in fibroblasts and dendritic cells drives basal cell proliferation in psoriasis | ||
Oxid Med Cell Longev lncRNA IGF2-AS Regulates Nucleotide Metabolism by Mediating HMGA1 to Promote Pyroptosis of Endothelial Progenitor Cells in Sepsis Patients. | ||
Front Cell Dev Biol A Novel Ferroptosis-Based Molecular Signature Associated with Biochemical Recurrence-Free Survival and Tumor Immune Microenvironment of Prostate Cancer. | ||
Antiviral Res Long-term HIV-1 infection induces an antiviral state in primary macrophages. | ||
Front Oncol Novel Prognostic Signatures of Hepatocellular Carcinoma Based on Metabolic Pathway Phenotypes. | ||
Biomed Pharmacother Identification of osalmid metabolic profile and active metabolites with anti-tumor activity in human hepatocellular carcinoma cells. |









