IHCeasy® RRM2 Ready-To-Use IHC Kit
RRM2 Ready-to-use reagent kit for IHC.
Reactivity
Human, Mouse, Rat
Sample Type
FFPE tissue
Cat no : KHC2233
Synonyms
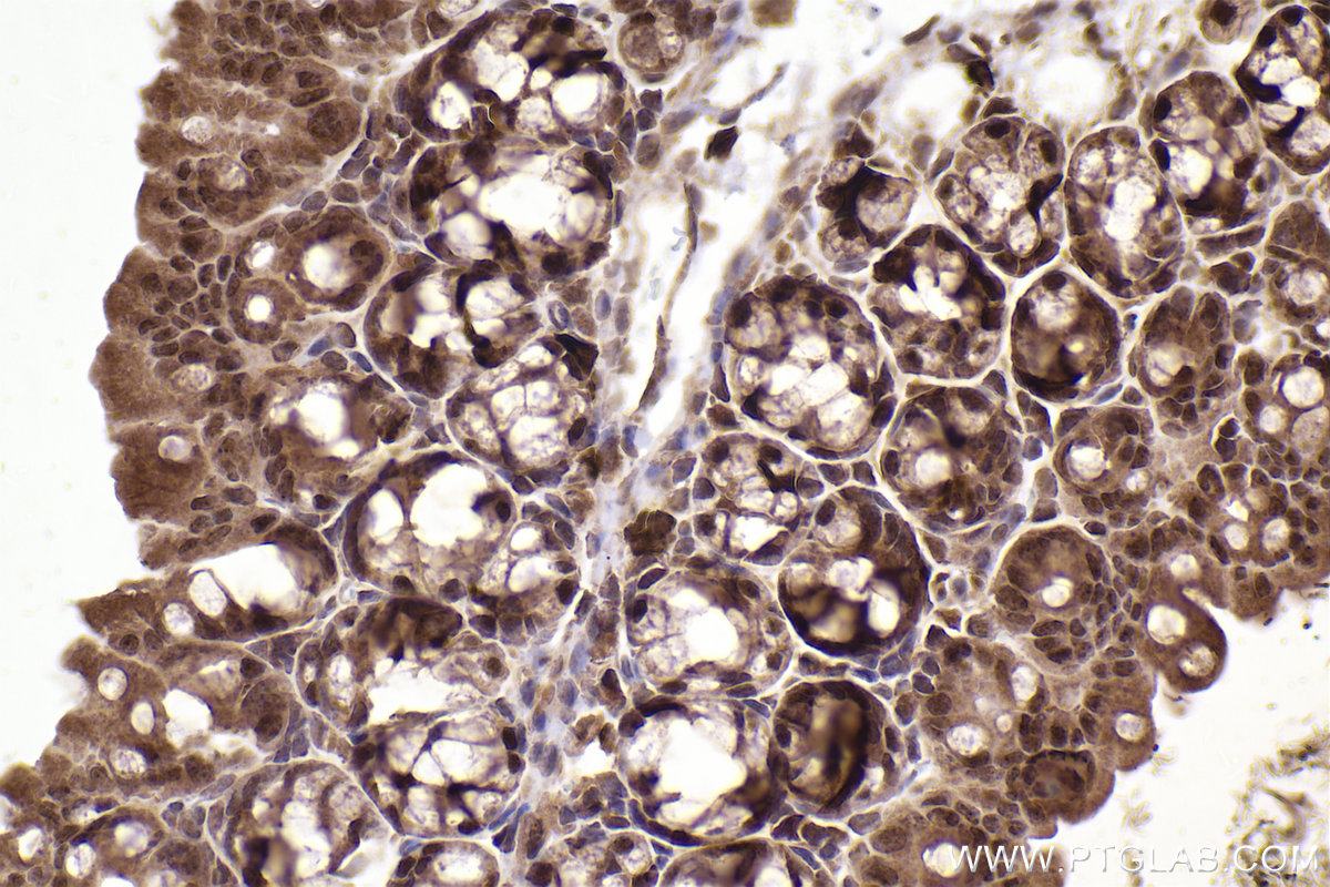
Validation Data Gallery
Product Information
KHC2233 is a ready-to-use IHC kit for staining of RRM2. The kit provides all reagents, from antigen retrieval to cover slip mounting, that require little to no diluting or handling prior to use. Simply apply the reagents to your sample slide according to the protocol and you're steps away from obtaining high-quality IHC data.
| Product name | IHCeasy RRM2 Ready-To-Use IHC Kit |
| Sample type | FFPE tissue |
| Assay type | Immunohistochemistry |
| Primary antibody type | Rabbit Polyclonal |
| Secondary antibody type | Polymer-HRP-Goat anti-Rabbit |
| Reactivity | Human, Mouse, Rat |
Kit components
| Component | Size | Concentration |
|---|---|---|
| Antigen Retrieval Buffer | 100 mL | 50× |
| Washing Buffer | 100 mL ×2 | 20× |
| Blocking Buffer | 5 mL | RTU |
| Primary Antibody | 5 mL | RTU |
| Secondary Antibody | 5 mL | RTU |
| Chromogen Component A | 0.2 mL | RTU |
| Chromogen Component B | 4 mL | RTU |
| Signal Enhancer | 5 mL | RTU |
| Counter Staining Reagent | 5 mL | RTU |
| Mounting Media | 5 mL | RTU |
| Datasheet | 1 Copy | |
| Manual | 1 Copy |
Background Information
Ribonucleotide reductase M2 subunit is one of two subunits that constitute ribonucleotide reductase, the enzyme that catalyzes the conversion of ribonucleotide 5'-diphosphates into 2'-deoxyribonucleotides, a rate-limiting step in the production of 2'-deoxyribonucleoside 5'-diphosphates (dNTP) required for DNA synthesis and repair that is required for DNA synthesis and repair. RRM2 is only expressed during the late G1/early S phase, and degraded in late S phase, and the activity of RNR, and therefore DNA synthesis and cell proliferation, is controlled during the cell cycle by the synthesis and degradation of RRM2 subunit.
Properties
| Storage Instructions | All the reagents are stored at 2-8°C. The kit is stable for 6 months from the date of receipt. |
| Synonyms |





