验证数据展示
产品信息
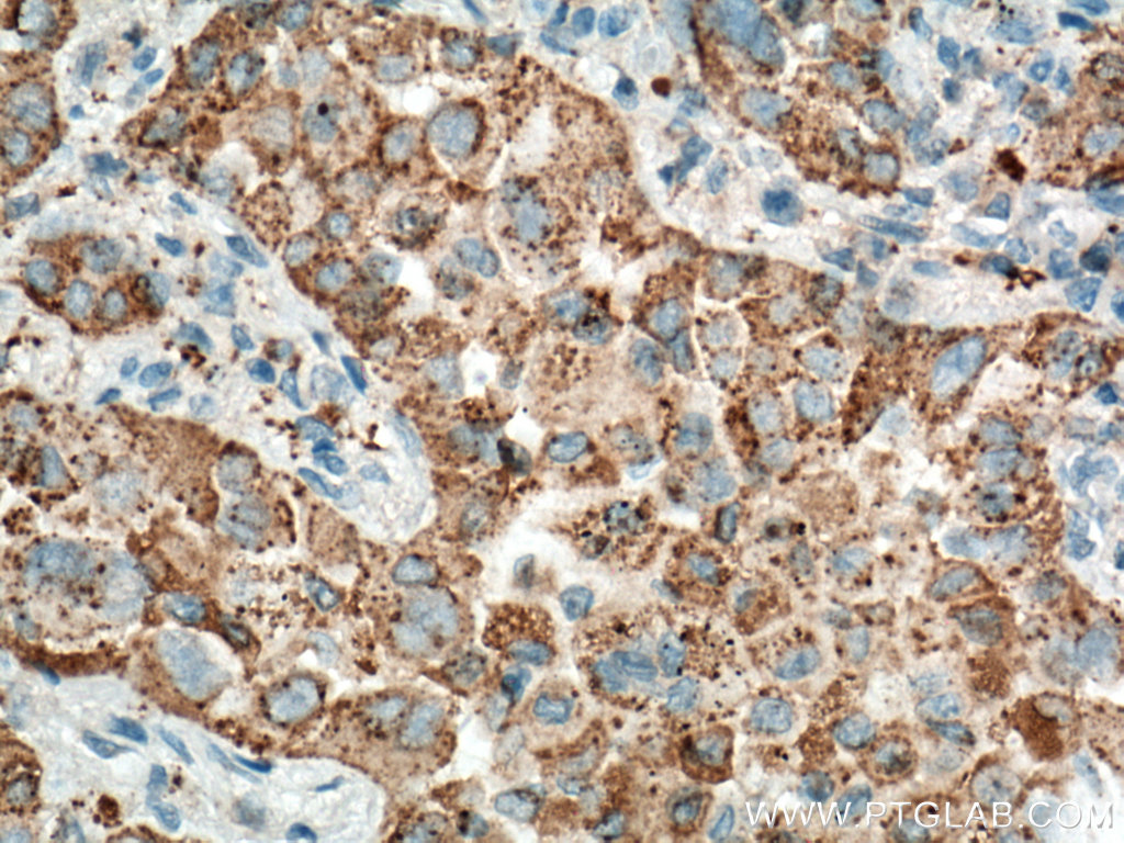
60259-2-PBS targets Napsin A in IHC, IF/ICC, FC (Intra), ELISA applications and shows reactivity with human samples.
| 经测试应用 | IHC, IF/ICC, FC (Intra), ELISA Application Description |
| 经测试反应性 | human |
| 免疫原 |
CatNo: Ag9721 Product name: Recombinant human NAPSA protein Source: e coli.-derived, PET28a Tag: 6*His Domain: 1-420 aa of BC017842 Sequence: MSPPPLLQPLLLLLPLLNVEPSGATLIRIPLHRVQPGRRTLNLLRGWREPAELPKLGAPSPGDKPIFVPLSNYRDVQYFGEIGLGTPPQNFTVAFDTGSSNLWVPSRRCHFFSVPCWLHHRFDPKASSSFQANGTKFAIQYGTGRVDGILSEDKLTIGGIKGASVIFGEALWEPSLVFAFAHFDGILGLGFPILSVEGVRPPMDVLVEQGLLDKPVFSFYLNRDPEEPDGGELVLGGSDPAHYIPPLTFVPVTVPAYWQIHMERVKVGPGLTLCAKGCAAILDTGTSLITGPTEEIRALHAAIGGIPLLAGEYIILCSEIPKLPAVSFLLGGVWFNLTAHDYVIQTTRNGVRLCLSGFQALDVPPPAGPFWILGDVFLGTYVAVFDRGDMKSSARVGLARARTRGADLGWGETAQAQFPG 种属同源性预测 |
| 宿主/亚型 | Mouse / IgG1 |
| 抗体类别 | Monoclonal |
| 产品类型 | Antibody |
| 全称 | napsin A aspartic peptidase |
| 别名 | NAPSA, 1H7F2, Asp 4, ASP4, Aspartyl protease 4 |
| 计算分子量 | 420 aa, 45 kDa |
| GenBank蛋白编号 | BC017842 |
| 基因名称 | Napsin A |
| Gene ID (NCBI) | 9476 |
| RRID | AB_2881381 |
| 偶联类型 | Unconjugated |
| 形式 | Liquid |
| 纯化方式 | Protein G purification |
| UNIPROT ID | O96009 |
| 储存缓冲液 | PBS only, pH 7.3. |
| 储存条件 | Store at -80°C. The product is shipped with ice packs. Upon receipt, store it immediately at -80°C |
背景介绍
Napsin is found in two isoforms, napsin A and B, with highly homologous nucleotide sequences (91.2%). Napsin A appears to be a functional proteinase, predominantly expressed in lung and kidney. Napsin B is transcribed exclusively in cells related to the immune system and lacks an in-frame stop codon and is believed to be a pseudogene.(PMID:12698189). Napsin A is superior to TTF-1 in distinguishing primary lung ACA from other carcinomas (except kidney), particularly primary lung small cell carcinoma, and primary thyroid carcinoma.(PMID:22288963).








