IHCeasy® Napsin A Ready-To-Use IHC Kit
Napsin A Ready-to-use reagent kit for IHC.
Reactivity
Human, Mouse
Sample Type
FFPE tissue
Cat no : KHC0068
Synonyms
Asp 4, ASP4, Aspartyl protease 4, KAP, Kdap, NAP1, NAPA, NAPSA, Napsin 1, Napsin A, napsin A aspartic peptidase, Pronapsin A, SNAPA, TA01/TA02
Validation Data Gallery
Product Information
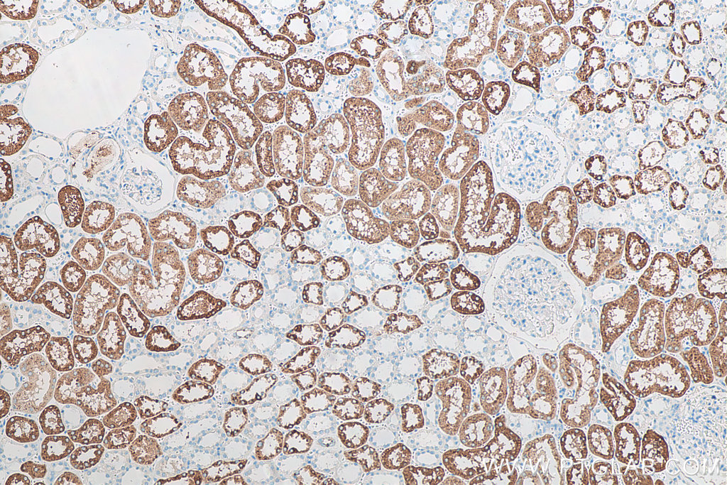
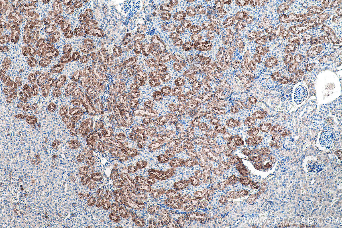
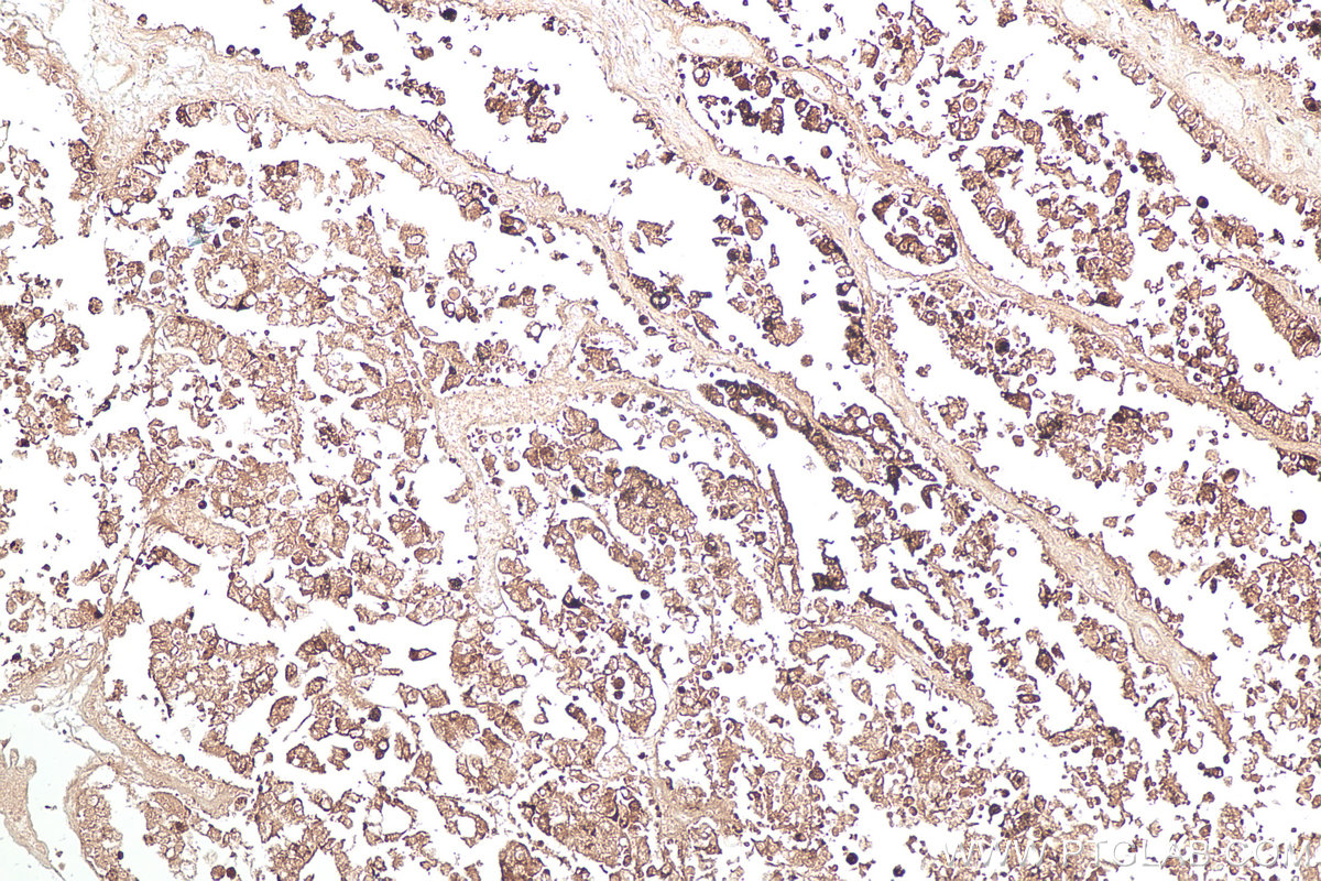
KHC0068 is a ready-to-use IHC kit for staining of Napsin A (NAPSA). The kit provides all reagents, from antigen retrieval to cover slip mounting, that require little to no diluting or handling prior to use. Simply apply the reagents to your sample slide according to the protocol and you're steps away from obtaining high-quality IHC data.
| Product name | IHCeasy Napsin A Ready-To-Use IHC Kit |
| Sample type | FFPE tissue |
| Assay type | Immunohistochemistry |
| Primary antibody type | Mouse Monoclonal |
| Secondary antibody type | Polymer-HRP-Goat anti-Mouse |
| Reactivity | Human, Mouse |
Kit components
| Component | Size | Concentration |
|---|---|---|
| Antigen Retrieval Buffer | 100 mL | 50× |
| Washing Buffer | 100 mL ×2 | 20× |
| Blocking Buffer | 5 mL | RTU |
| Primary Antibody | 5 mL | RTU |
| Secondary Antibody | 5 mL | RTU |
| Chromogen Component A | 0.2 mL | RTU |
| Chromogen Component B | 4 mL | RTU |
| Signal Enhancer | 5 mL | RTU |
| Counter Staining Reagent | 5 mL | RTU |
| Mounting Media | 5 mL | RTU |
| Datasheet | 1 Copy | |
| Manual | 1 Copy |
Background Information
Napsin A, a member of the aspartic protease family,is concluded to have a specific functional role in the normal alveolar epithelium and is a candidate protease for the proteolytic processing of surfactant precursors. It has been reported that Napsin A is a sensitive marker for pulmonary adenocarcinoma and is also expressed in a subset of renal cell carcinomas, particularly of the papillary type, as well as in rare cases of papillary thyroid carcinomas.
Properties
| Storage Instructions | All the reagents are stored at 2-8°C. The kit is stable for 6 months from the date of receipt. |
| Synonyms | Asp 4, ASP4, Aspartyl protease 4, KAP, Kdap, NAP1, NAPA, NAPSA, Napsin 1, Napsin A, napsin A aspartic peptidase, Pronapsin A, SNAPA, TA01/TA02 |






