验证数据展示
经过测试的应用
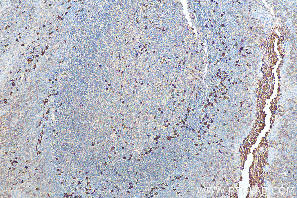
| Positive IHC detected in | human tonsillitis tissue Note: suggested antigen retrieval with TE buffer pH 9.0; (*) Alternatively, antigen retrieval may be performed with citrate buffer pH 6.0 |
推荐稀释比
| 应用 | 推荐稀释比 |
|---|---|
| Immunohistochemistry (IHC) | IHC : 1:50-1:500 |
| It is recommended that this reagent should be titrated in each testing system to obtain optimal results. | |
| Sample-dependent, Check data in validation data gallery. | |
产品信息
Biotin-11541 targets Ig Lambda Light Chain in IHC applications and shows reactivity with human samples.
| 经测试应用 | IHC Application Description |
| 经测试反应性 | human |
| 免疫原 |
CatNo: Ag2064 Product name: Recombinant human IGL- protein Source: e coli.-derived, PGEX-4T Tag: GST Domain: 1-237 aa of BC020233 Sequence: MAWSPLLLTLLAHCTGSWAQSVLTQPPSVSGAPGQRVTISCTGSSSNIGAGYDVHWYQQLPGTAPKLLIYGNSNRPSGVPDRFSGSKSGTSASLAITGLQAEDEADYYCQSYDSSLSGFVVFGGGTKLTVLGQPKAAPSVTLFPPSSEELQANKATLVCLISDFYPGAVTVAWKADSSPVKAGVETTTPSKQSNNKYAASSYLSLTPEQWKSHRSYSCQVTHEGSTVEKTVAPTECS 种属同源性预测 |
| 宿主/亚型 | Rabbit / IgG |
| 抗体类别 | Polyclonal |
| 产品类型 | Antibody |
| 全称 | immunoglobulin lambda locus |
| 别名 | IgG Lambda Light Chain, IGL, IgG, IGL-, immunoglobulin lambda locus |
| 计算分子量 | 237 aa, 25 kDa |
| 观测分子量 | 25 kDa |
| GenBank蛋白编号 | BC020233 |
| 基因名称 | IgG Lambda Light Chain |
| Gene ID (NCBI) | 3535 |
| RRID | AB_2918938 |
| 偶联类型 | Biotin |
| 形式 | Liquid |
| 纯化方式 | Antigen affinity purification |
| 储存缓冲液 | PBS with 50% glycerol, 0.05% Proclin300, 0.5% BSA, pH 7.3. |
| 储存条件 | Store at -20°C. Avoid exposure to light. Stable for one year after shipment. Aliquoting is unnecessary for -20oC storage. |
背景介绍
This antibody detects the lambda light chain of human immunoglobulin.
实验方案
| Product Specific Protocols | |
|---|---|
| IHC protocol for Biotin Ig Lambda Light Chain antibody Biotin-11541 | Download protocol |
| Standard Protocols | |
|---|---|
| Click here to view our Standard Protocols |
