验证数据展示
经过测试的应用
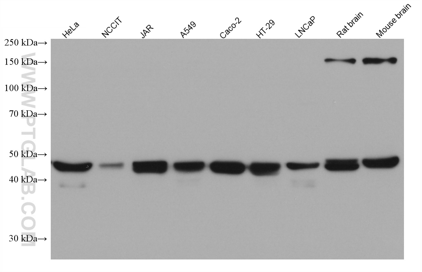
| Positive WB detected in | HEK-293 cells, HeLa cells, NCCIT cells, JAR cells, A549 cells, Caco-2 cells, LNCaP cells, HT-29 cells, Rat brain tissue, Mouse brain tissue |
| Positive IHC detected in | human prostate cancer tissue Note: suggested antigen retrieval with TE buffer pH 9.0; (*) Alternatively, antigen retrieval may be performed with citrate buffer pH 6.0 |
| Positive IF/ICC detected in | Caco-2 cells |
推荐稀释比
| 应用 | 推荐稀释比 |
|---|---|
| Western Blot (WB) | WB : 1:1000-1:4000 |
| Immunohistochemistry (IHC) | IHC : 1:1000-1:4000 |
| Immunofluorescence (IF)/ICC | IF/ICC : 1:400-1:1600 |
| It is recommended that this reagent should be titrated in each testing system to obtain optimal results. | |
| Sample-dependent, Check data in validation data gallery. | |
发表文章中的应用
| IF | See 1 publications below |
产品信息
66818-1-Ig targets ESRRB in WB, IHC, IF/ICC, ELISA applications and shows reactivity with human, mouse, rat samples.
| 经测试应用 | WB, IHC, IF/ICC, ELISA Application Description |
| 文献引用应用 | IF |
| 经测试反应性 | human, mouse, rat |
| 文献引用反应性 | human |
| 免疫原 |
CatNo: Ag18626 Product name: Recombinant human ESRRB protein Source: e coli.-derived, PET28a Tag: 6*His Domain: 1-91 aa of BC131517 Sequence: MSSDDRHLGSSCGSFIKTEPSSPSSGIDALSHHSPSGSSDASGGFGLALGTHANGLDSPPMFAGAGLGGTPCRKSYEDCASGIMEDSAIKC 种属同源性预测 |
| 宿主/亚型 | Mouse / IgG1 |
| 抗体类别 | Monoclonal |
| 产品类型 | Antibody |
| 全称 | estrogen-related receptor beta |
| 别名 | 3E10C1, ERR beta-2, ERRb, ERRB2, ERRbeta |
| 计算分子量 | 508 aa, 56 kDa |
| 观测分子量 | 47 kDa |
| GenBank蛋白编号 | BC131517 |
| 基因名称 | ESRRB |
| Gene ID (NCBI) | 2103 |
| RRID | AB_2882161 |
| 偶联类型 | Unconjugated |
| 形式 | Liquid |
| 纯化方式 | Protein G purification |
| UNIPROT ID | O95718 |
| 储存缓冲液 | PBS with 0.02% sodium azide and 50% glycerol, pH 7.3. |
| 储存条件 | Store at -20°C. Stable for one year after shipment. Aliquoting is unnecessary for -20oC storage. |
背景介绍
Estrogen related receptor beta (ESRRB), a NR3 Steroid Receptor, has been shown to affect early placental development. Also it can act as a repressor of transcriptional activity mediated by the glucocorticoid receptor (GR). It binds as a monomer to the extended half-site TNAAGTGCA and as a homodimer to the estrogen response element (ERE), palindromic thyroid hormone response element (TRE(pal)), and SF-1 response element, but not to the glucocorticoid response element (GRE). Estrogen related receptor beta mutations lead to abnormal development of the chorion and defective diploid trophoblast proliferation, and are lethal during midgestation. Expression has been documented in mice in the extra embryonic ectoderm that gives rise to the chorion. ESTs have been isolated from normal human eye, lung, and testis libraries. The ligand for the receptor is PPARgamma coactivator 1 (PGC-1) beta. ESRRB exists various isoforms and molecular weight of each isoform is 48 kDa,55 kDa and 56 kDa.
实验方案
| Product Specific Protocols | |
|---|---|
| IF protocol for ESRRB antibody 66818-1-Ig | Download protocol |
| IHC protocol for ESRRB antibody 66818-1-Ig | Download protocol |
| WB protocol for ESRRB antibody 66818-1-Ig | Download protocol |
| Standard Protocols | |
|---|---|
| Click here to view our Standard Protocols |





