验证数据展示
经过测试的应用
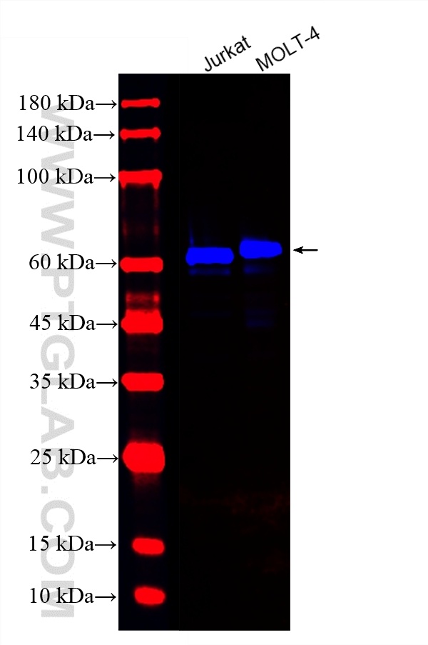
| Positive WB detected in | Jurkat cells, MOLT-4 cells |
| Positive FC detected in | human PBMCs |
推荐稀释比
| 应用 | 推荐稀释比 |
|---|---|
| Western Blot (WB) | WB : 1:500-1:1000 |
| Flow Cytometry (FC) | FC : 0.25 ug per 10^6 cells in a 100 µl suspension |
| It is recommended that this reagent should be titrated in each testing system to obtain optimal results. | |
| Sample-dependent, Check data in validation data gallery. | |
产品信息
CL750-83543-7 targets CD5 in WB, FC, ELISA applications and shows reactivity with human samples.
| 经测试应用 | WB, FC, ELISA Application Description |
| 经测试反应性 | human |
| 免疫原 |
CatNo: Eg1119 Product name: Recombinant Human CD5 protein (His Tag) Source: mammalian cells-derived, pHZ-KIsec-C-6*HIS Tag: C-6*HIS Domain: 25-372 aa of NM_014207.4 Sequence: RLSWYDPDFQARLTRSNSKCQGQLEVYLKDGWHMVCSQSWGRSSKQWEDPSQASKVCQRLNCGVPLSLGPFLVTYTPQSSIICYGQLGSFSNCSHSRNDMCHSLGLTCLEPQKTTPPTTRPPPTTTPEPTAPPRLQLVAQSGGQHCAGVVEFYSGSLGGTISYEAQDKTQDLENFLCNNLQCGSFLKHLPETEAGRAQDPGEPREHQPLPIQWKIQNSSCTSLEHCFRKIKPQKSGRVLALLCSGFQPKVQSRLVGGSSICEGTVEVRQGAQWAALCDSSSARSSLRWEEVCREQQCGSVNSYRVLDAGDPTSRGLFCPHQKLSQCHELWERNSYCKKVFVTCQDPNP 种属同源性预测 |
| 宿主/亚型 | Rabbit / IgG |
| 抗体类别 | Recombinant |
| 产品类型 | Antibody |
| 全称 | CD5 molecule |
| 别名 | 240428G2, CD5 molecule, LEU1, Lymphocyte antigen T1/Leu 1, Lymphocyte antigen T1/Leu-1 |
| 计算分子量 | 55 kDa |
| 观测分子量 | 60 kDa |
| GenBank蛋白编号 | NM_014207.4 |
| 基因名称 | CD5 |
| Gene ID (NCBI) | 921 |
| ENSEMBL Gene ID | ENSG00000110448 |
| RRID | AB_3749064 |
| 偶联类型 | CoraLite® Plus 750 Fluorescent Dye |
| 最大激发/发射波长 | 755 nm / 780 nm |
| 激发激光 | Red Laser (633 nm) |
| 形式 | Liquid |
| 纯化方式 | Protein A purfication |
| UNIPROT ID | P06127 |
| 储存缓冲液 | PBS with 50% glycerol, 0.05% Proclin300, 0.5% BSA, pH 7.3. |
| 储存条件 | Store at -20°C. Avoid exposure to light. Stable for one year after shipment. Aliquoting is unnecessary for -20oC storage. |
背景介绍
CD5 is a type I transmembrane glycoprotein of the scavenger receptor cysteine-rich family (PMID: 12403363). CD5 is expressed on a majority of thymocytes, mature T cells, B cell subsets, and peripheral blood dendritic cells (PMID: 9858516; 6156984; 10379049; 1384337). CD5 may act as a receptor in regulating T-cell proliferation. It functions as a negative regulator of TCR signaling during thymocyte development (PMID: 7542801).
实验方案
| Product Specific Protocols | |
|---|---|
| FC protocol for CL Plus 750 CD5 antibody CL750-83543-7 | Download protocol |
| WB protocol for CL Plus 750 CD5 antibody CL750-83543-7 | Download protocol |
| Standard Protocols | |
|---|---|
| Click here to view our Standard Protocols |


