验证数据展示
经过测试的应用
| Positive WB detected in | Jurkat cells |
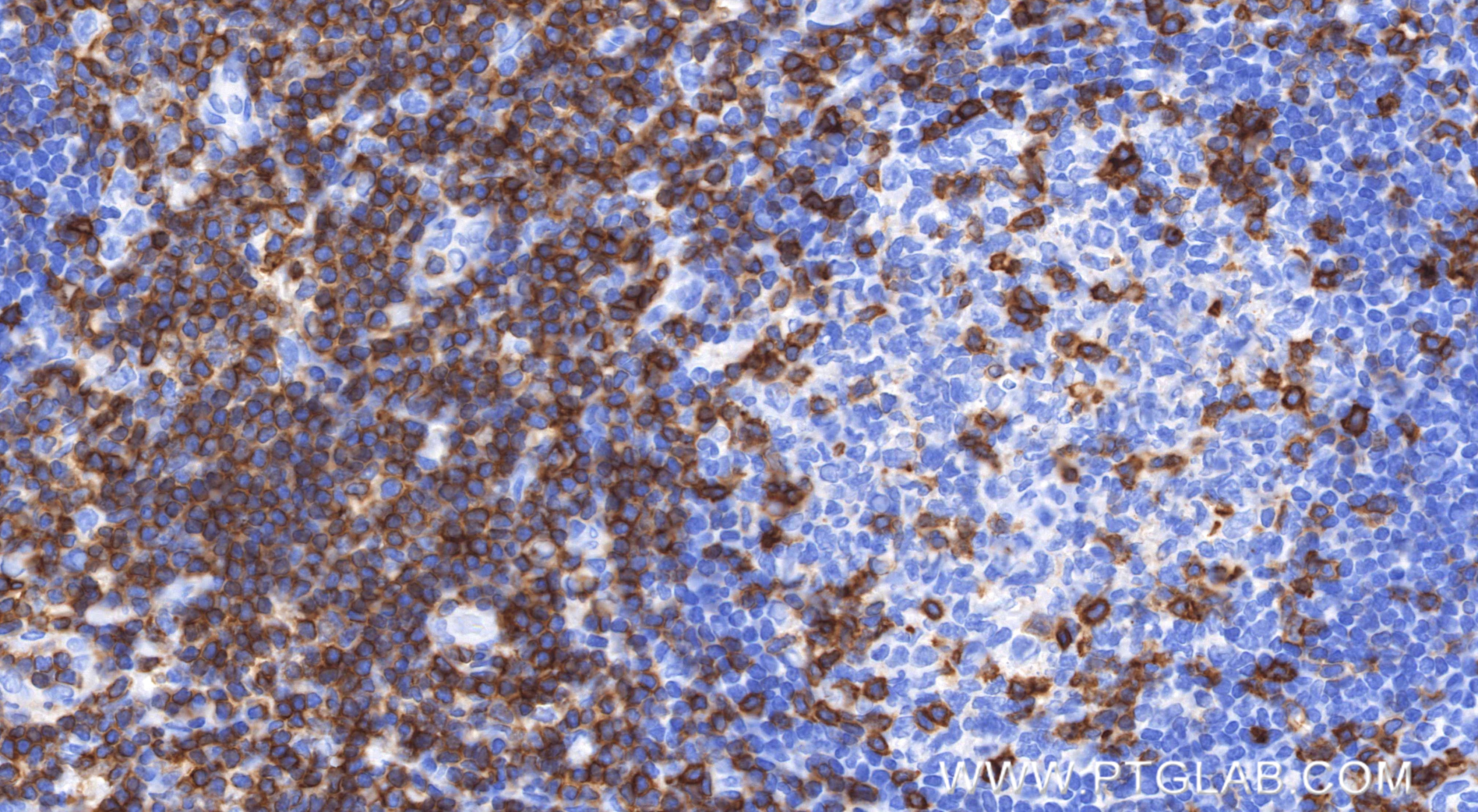
| Positive IHC detected in | human tonsil tissue, human ovary cancer tissue, human tonsillitis tissue Note: suggested antigen retrieval with TE buffer pH 9.0; (*) Alternatively, antigen retrieval may be performed with citrate buffer pH 6.0 |
| Positive IF/ICC detected in | Jurkat cells |
推荐稀释比
| 应用 | 推荐稀释比 |
|---|---|
| Western Blot (WB) | WB : 1:5000-1:50000 |
| Immunohistochemistry (IHC) | IHC : 1:1500-1:6000 |
| Immunofluorescence (IF)/ICC | IF/ICC : 1:250-1:1000 |
| It is recommended that this reagent should be titrated in each testing system to obtain optimal results. | |
| Sample-dependent, Check data in validation data gallery. | |
产品信息
83543-7-RR targets CD5 in WB, IHC, IF/ICC, ELISA applications and shows reactivity with human samples.
| 经测试应用 | WB, IHC, IF/ICC, ELISA Application Description |
| 经测试反应性 | human |
| 免疫原 |
CatNo: Eg1119 Product name: Recombinant Human CD5 protein (His Tag) Source: mammalian cells-derived, pHZ-KIsec-C-6*HIS Tag: C-6*HIS Domain: 25-372 aa of NM_014207.4 Sequence: RLSWYDPDFQARLTRSNSKCQGQLEVYLKDGWHMVCSQSWGRSSKQWEDPSQASKVCQRLNCGVPLSLGPFLVTYTPQSSIICYGQLGSFSNCSHSRNDMCHSLGLTCLEPQKTTPPTTRPPPTTTPEPTAPPRLQLVAQSGGQHCAGVVEFYSGSLGGTISYEAQDKTQDLENFLCNNLQCGSFLKHLPETEAGRAQDPGEPREHQPLPIQWKIQNSSCTSLEHCFRKIKPQKSGRVLALLCSGFQPKVQSRLVGGSSICEGTVEVRQGAQWAALCDSSSARSSLRWEEVCREQQCGSVNSYRVLDAGDPTSRGLFCPHQKLSQCHELWERNSYCKKVFVTCQDPNP 种属同源性预测 |
| 宿主/亚型 | Rabbit / IgG |
| 抗体类别 | Recombinant |
| 产品类型 | Antibody |
| 全称 | CD5 molecule |
| 别名 | 240428G2, CD5 molecule, LEU1, Lymphocyte antigen T1/Leu 1, Lymphocyte antigen T1/Leu-1 |
| 计算分子量 | 55 kDa |
| 观测分子量 | 60 kDa |
| GenBank蛋白编号 | NM_014207.4 |
| 基因名称 | CD5 |
| Gene ID (NCBI) | 921 |
| ENSEMBL Gene ID | ENSG00000110448 |
| RRID | AB_3671163 |
| 偶联类型 | Unconjugated |
| 形式 | Liquid |
| 纯化方式 | Protein A purfication |
| UNIPROT ID | P06127 |
| 储存缓冲液 | PBS with 0.02% sodium azide and 50% glycerol, pH 7.3. |
| 储存条件 | Store at -20°C. Stable for one year after shipment. Aliquoting is unnecessary for -20oC storage. |
背景介绍
CD5 is a type I transmembrane glycoprotein of the scavenger receptor cysteine-rich family (PMID: 12403363). CD5 is expressed on a majority of thymocytes, mature T cells, B cell subsets, and peripheral blood dendritic cells (PMID: 9858516; 6156984; 10379049; 1384337). CD5 may act as a receptor in regulating T-cell proliferation. It functions as a negative regulator of TCR signaling during thymocyte development (PMID: 7542801).
实验方案
| Product Specific Protocols | |
|---|---|
| IF protocol for CD5 antibody 83543-7-RR | Download protocol |
| IHC protocol for CD5 antibody 83543-7-RR | Download protocol |
| WB protocol for CD5 antibody 83543-7-RR | Download protocol |
| Standard Protocols | |
|---|---|
| Click here to view our Standard Protocols |








