验证数据展示
经过测试的应用
| Positive WB detected in | HeLa cells, HEK-293 cells, HepG2 cells, Jurkat cells, HSCT6 cells, Raw 264.7 cells, NIH/3T3 cells |
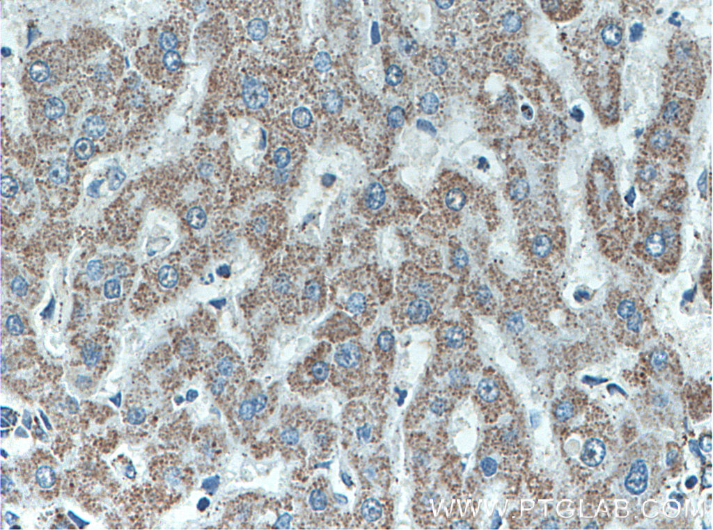
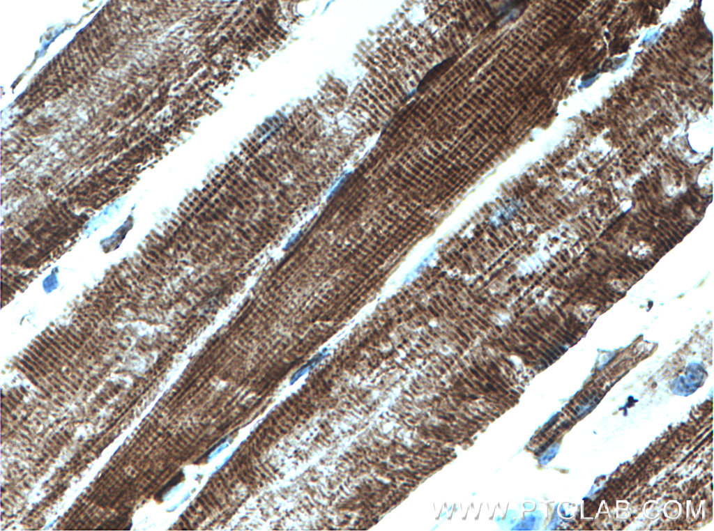
| Positive IHC detected in | human liver tissue, mouse skeletal muscle tissue Note: suggested antigen retrieval with TE buffer pH 9.0; (*) Alternatively, antigen retrieval may be performed with citrate buffer pH 6.0 |
| Positive IF/ICC detected in | HepG2 cells, U2OS cells |
推荐稀释比
| 应用 | 推荐稀释比 |
|---|---|
| Western Blot (WB) | WB : 1:5000-1:50000 |
| Immunohistochemistry (IHC) | IHC : 1:250-1:1000 |
| Immunofluorescence (IF)/ICC | IF/ICC : 1:500-1:2000 |
| It is recommended that this reagent should be titrated in each testing system to obtain optimal results. | |
| Sample-dependent, Check data in validation data gallery. | |
发表文章中的应用
| WB | See 4 publications below |
产品信息
66600-1-Ig targets ATPB in WB, IHC, IF/ICC, ELISA applications and shows reactivity with human, mouse, rat samples.
| 经测试应用 | WB, IHC, IF/ICC, ELISA Application Description |
| 文献引用应用 | WB |
| 经测试反应性 | human, mouse, rat |
| 文献引用反应性 | human, mouse, rat |
| 免疫原 |
CatNo: Ag11177 Product name: Recombinant human ATPB protein Source: e coli.-derived, PGEX-4T Tag: GST Domain: 181-529 aa of BC016512 Sequence: EILVTGIKVVDLLAPYAKGGKIGLFGGAGVGKTVLIMELINNVAKAHGGYSVFAGVGERTREGNDLYHEMIESGVINLKDATSKVALVYGQMNEPPGARARVALTGLTVAEYFRDQEGQDVLLFIDNIFRFTQAGSEVSALLGRIPSAVGYQPTLATDMGTMQERITTTKKGSITSVQAIYVPADDLTDPAPATTFAHLDATTVLSRAIAELGIYPAVDPLDSTSRIMDPNIVGSEHYDVARGVQKILQDYKSLQDIIAILGMDELSEEDKLTVSRARKIQRFLSQPFQVAEVFTGHMGKLVPLKETIKGFQQILAGEYDHLPEQAFYMVGPIEEAVAKADKLAEEHSS 种属同源性预测 |
| 宿主/亚型 | Mouse / IgG2b |
| 抗体类别 | Monoclonal |
| 产品类型 | Antibody |
| 全称 | ATP synthase, H+ transporting, mitochondrial F1 complex, beta polypeptide |
| 别名 | 1A11B9, ATP synthase F1 subunit beta, ATP5B, ATP5F1B, ATPMB |
| 计算分子量 | 529 aa, 57 kDa |
| 观测分子量 | 45-57 kDa |
| GenBank蛋白编号 | BC016512 |
| 基因名称 | ATPB |
| Gene ID (NCBI) | 506 |
| RRID | AB_2881960 |
| 偶联类型 | Unconjugated |
| 形式 | Liquid |
| 纯化方式 | Protein A purification |
| UNIPROT ID | P06576 |
| 储存缓冲液 | PBS with 0.02% sodium azide and 50% glycerol, pH 7.3. |
| 储存条件 | Store at -20°C. Stable for one year after shipment. Aliquoting is unnecessary for -20oC storage. |
背景介绍
ATP5B, also named as ATPMB and ATPSB, belongs to the ATPase alpha/beta chains family. It is a high affinity HDL receptor for apolipoprotein A1. ATP5B is a subunit of mitochondrial ATP synthase (F1F0 ATP synthase or Complex V ). ATP5B has a calculated molecular mass of 57 kDa and ~5 kDa transit peptide can be removed in the mature form.
实验方案
| Product Specific Protocols | |
|---|---|
| IF protocol for ATPB antibody 66600-1-Ig | Download protocol |
| IHC protocol for ATPB antibody 66600-1-Ig | Download protocol |
| WB protocol for ATPB antibody 66600-1-Ig | Download protocol |
| Standard Protocols | |
|---|---|
| Click here to view our Standard Protocols |
发表文章
| Species | Application | Title |
|---|---|---|
Cell Biol Int The effect of all-trans retinoic acid on the mitochondrial function and survival of cardiomyoblasts exposed to local photodamage | ||
Mol Metab Glucose-1,6-bisphosphate: a new gatekeeper of cerebral mitochondrial pyruvate uptake | ||
Metabolism Protein kinase N1 deficiency results in upregulation of cerebral energy metabolism and is highly protective in in vivo and in vitro stroke models | ||
Acta Pharm Sin B Cannabidiol alleviates methamphetamine addiction via targeting ATP5A1 and modulating the ATP-ADO-A1R signaling pathway. |







