验证数据展示
经过测试的应用
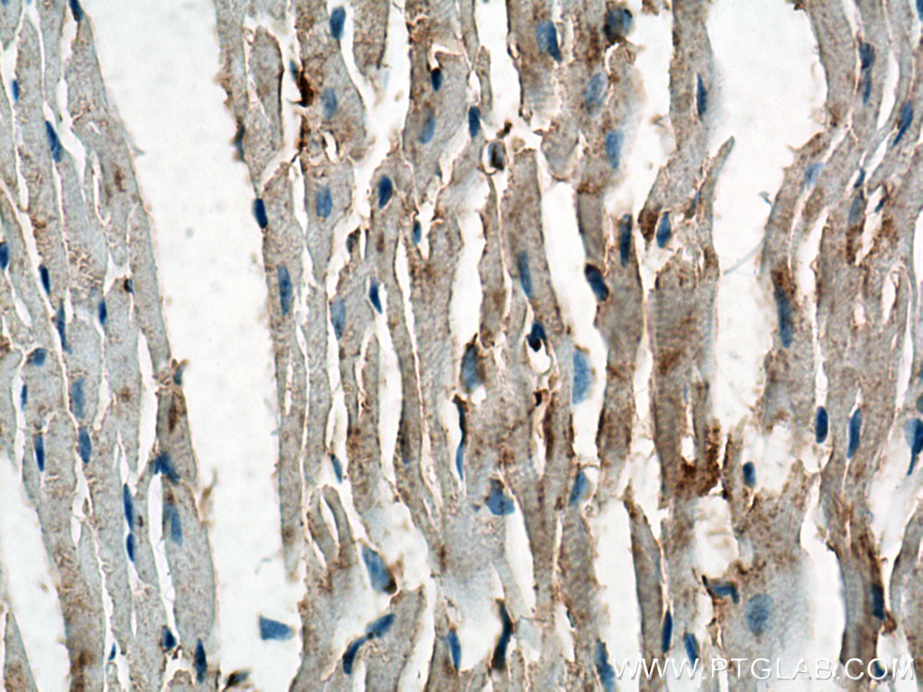
| Positive IHC detected in | mouse heart tissue Note: suggested antigen retrieval with TE buffer pH 9.0; (*) Alternatively, antigen retrieval may be performed with citrate buffer pH 6.0 |
推荐稀释比
| 应用 | 推荐稀释比 |
|---|---|
| Immunohistochemistry (IHC) | IHC : 1:50-1:500 |
| It is recommended that this reagent should be titrated in each testing system to obtain optimal results. | |
| Sample-dependent, Check data in validation data gallery. | |
发表文章中的应用
| WB | See 4 publications below |
产品信息
Biotin-60008 targets Beta Actin in WB, IHC applications and shows reactivity with human, mouse, rat, pig, plant, Zebrafish samples.
| 经测试应用 | IHC Application Description |
| 文献引用应用 | WB |
| 经测试反应性 | human, mouse, rat, pig, plant, Zebrafish |
| 文献引用反应性 | human, rat, pig |
| 免疫原 |
CatNo: Ag0297 Product name: Recombinant human beta actin protein Source: e coli.-derived, PGEX-4T Tag: GST Domain: 14-167 aa of BC002409 Sequence: SGMCKAGFAGDDAPRAVFPSIVGRPRHQGVMVGMGQKDSYVGDEAQSKRGILTLKYPIEHGIVTNWDDMEKIWHHTFYNELRVAPEEHPVLLTEAPLNPKANREKMTQIMFETFNTPAMYVAIQAVLSLYASGRTTGIVMDSGDGVTHTVPIYE 种属同源性预测 |
| 宿主/亚型 | Mouse / IgM |
| 抗体类别 | Monoclonal |
| 产品类型 | Antibody |
| 全称 | actin, beta |
| 别名 | ACTB, Actin, actin, beta, Actin, cytoplasmic 1, B actin, Beta actin, Cell and organelle markers, Cytoskeleton Marker, F actin, PS1TP5BP1, β actin |
| 计算分子量 | 375 aa, 42 kDa |
| 观测分子量 | 42 kDa |
| GenBank蛋白编号 | BC002409 |
| 基因名称 | Beta Actin |
| Gene ID (NCBI) | 60 |
| RRID | AB_2883062 |
| 偶联类型 | Biotin |
| 形式 | Liquid |
| 纯化方式 | Caprylic acid/ammonium sulfate precipitation |
| UNIPROT ID | P60709 |
| 储存缓冲液 | PBS with 50% glycerol, 0.05% Proclin300, 0.5% BSA, pH 7.3. |
| 储存条件 | Store at -20°C. Avoid exposure to light. Stable for one year after shipment. Aliquoting is unnecessary for -20oC storage. |
背景介绍
Beta actin, also named as ACTB and F-Actin, belongs to the actin family. Actins are highly conserved globular proteins that are involved in various types of cell motility and are ubiquitously expressed in all eukaryotic cells. At least six isoforms of actins are known in mammals and other vertebrates: alpha (ACTC1, cardiac muscle 1), alpha 1 (ACTA1, skeletal muscle) and 2 (ACTA2, aortic smooth muscle), beta (ACTB), gamma 1 (ACTG1) and 2 (ACTG2, enteric smooth muscle). Beta and gamma 1 are two non-muscle actin proteins. Most actins consist of 376aa, while ACTG2 (rich in muscles) has 375aa and ACTG1(found in non-muscle cells) has only 374aa. Beta actin has been widely used as the internal control in RT-PCR and Western Blotting as a 42-kDa protein. However, the 37-40 kDa cleaved fragment of beta actin can be generated during apoptosis process. This antibody can recognize all the actins.
实验方案
| Product Specific Protocols | |
|---|---|
| IHC protocol for Biotin Beta Actin antibody Biotin-60008 | Download protocol |
| Standard Protocols | |
|---|---|
| Click here to view our Standard Protocols |
发表文章
| Species | Application | Title |
|---|---|---|
iScience The vesicular transporter STX11 governs ATGL-mediated hepatic lipolysis and lipophagy. | ||
Reproduction FSH promotes immature porcine Sertoli cell proliferation by activating the CCR7/Ras-ERK signaling axis | ||
Exp Ther Med Deciphering the role of TNF‑α‑induced protein 8‑like 2 in the pathogenesis of necrotizing enterocolitis in neonatal rats | ||
Balkan Med J Asiaticoside Down-Regulates HIF-1α to Inhibit Proliferation, Migration, and Angiogenesis in Thyroid Cancer Cells |

