验证数据展示
经过测试的应用
| Positive WB detected in | A549 cells, NIH/3T3 cells, HeLa cells, HEK-293 cells, MCF-7 cells, Jurkat cells, Raji cells, THP-1 cells, HSC-T6 cells |
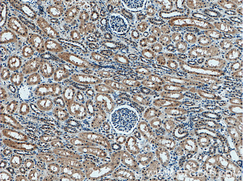
| Positive IHC detected in | human kidney tissue Note: suggested antigen retrieval with TE buffer pH 9.0; (*) Alternatively, antigen retrieval may be performed with citrate buffer pH 6.0 |
推荐稀释比
| 应用 | 推荐稀释比 |
|---|---|
| Western Blot (WB) | WB : 1:1000-1:6000 |
| Immunohistochemistry (IHC) | IHC : 1:150-1:600 |
| It is recommended that this reagent should be titrated in each testing system to obtain optimal results. | |
| Sample-dependent, Check data in validation data gallery. | |
发表文章中的应用
| WB | See 2 publications below |
产品信息
66551-1-Ig targets YME1L1 in WB, IHC, ELISA applications and shows reactivity with human, mouse, rat samples.
| 经测试应用 | WB, IHC, ELISA Application Description |
| 文献引用应用 | WB |
| 经测试反应性 | human, mouse, rat |
| 文献引用反应性 | human |
| 免疫原 |
CatNo: Ag2069 Product name: Recombinant human YME1L1 protein Source: e coli.-derived, PGEX-4T Tag: GST Domain: 348-716 aa of BC023507 Sequence: GSEFDEMFVGVGASRIRNLFREAKANAPCVIFIDELDSVGGKRIESPMHPYSRQTINQLLAEMDGFKPNEGVIIIGATNFPEALDNALIRPGRFDMQVTVPRPDVKGRTEILKWYLNKIKFDQSVDPEIIARGTVGFSGAELENLVNQAALKAAVDGKEMVTMKELEFSKDKILMGPERRSVEIDNKNKTITAYHESGHAIIAYYTKDAMPINKATIMPRGPTLGHVSLLPENDRWNETRAQLLAQMDVSMGGRVAEELIFGTDHITTGASSDFDNATKIAKRMVTKFGMSEKLGVMTYSDTGKLSPETQSAIEQEIRILLRDSYERAKHILKTHAKEHKNLAEALLTYETLDAKEIQIVLEGKKLEVR 种属同源性预测 |
| 宿主/亚型 | Mouse / IgG1 |
| 抗体类别 | Monoclonal |
| 产品类型 | Antibody |
| 全称 | YME1-like 1 (S. cerevisiae) |
| 别名 | 2B7E4, ATP-dependent metalloprotease FtsH1, ATP-dependent zinc metalloprotease YME1L1, EC:3.4.24.-, FTSH |
| 计算分子量 | 716 aa, 80 kDa |
| 观测分子量 | 63 kDa |
| GenBank蛋白编号 | BC023507 |
| 基因名称 | YME1L1 |
| Gene ID (NCBI) | 10730 |
| RRID | AB_2881913 |
| 偶联类型 | Unconjugated |
| 形式 | Liquid |
| 纯化方式 | Protein G purification |
| UNIPROT ID | Q96TA2 |
| 储存缓冲液 | PBS with 0.02% sodium azide and 50% glycerol, pH 7.3. |
| 储存条件 | Store at -20°C. Stable for one year after shipment. Aliquoting is unnecessary for -20oC storage. |
背景介绍
YME1L1(ATP-dependent zinc metalloprotease) is also named as FTSH1, YME1L,Meg-4,PAMP. YME1L1 plays a phylogenetically conserved role in mitochondrial protein metabolism.It also ensures cell proliferation, maintains normal cristae morphology and complex I respiration activity, promotes antiapoptotic activity and protects mitochondria from the accumulation of oxidatively damaged membrane proteins. YME1L1 can prevent mitochondrial DNA inserting into nuclear. It has 3 isoforms produced by alternative splicing with the molecular weight of 86 kDa, 80 kDa and 76 kDa. This protein can migrate with a molecular weight of about 55-63 kDa, which is the size of the mature YME1L1 protein(PMID:22252130; 22354088).
实验方案
| Product Specific Protocols | |
|---|---|
| IHC protocol for YME1L1 antibody 66551-1-Ig | Download protocol |
| WB protocol for YME1L1 antibody 66551-1-Ig | Download protocol |
| Standard Protocols | |
|---|---|
| Click here to view our Standard Protocols |
发表文章
| Species | Application | Title |
|---|---|---|
Toxicology Atrazine Exposure Induces TDP-43 Protein Translocation: A Potential Mechanism for Prefrontal Cortical Neurodegeneration Induced by Environmental Pollutants | ||
Chem Biol Interact Paraquat induced neuro-immunotoxicity: Dysregulated microglial antigen processing and mitochondrial activated mechanisms |




