验证数据展示
经过测试的应用
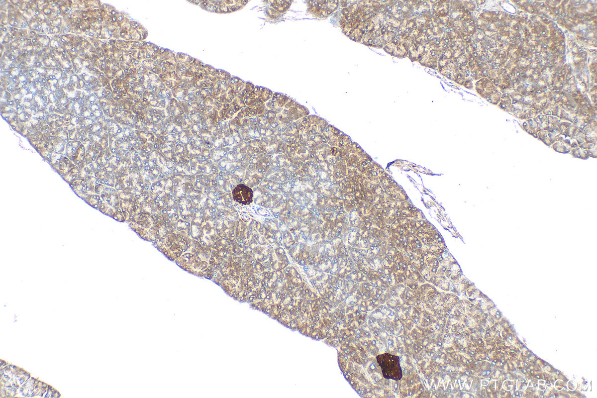
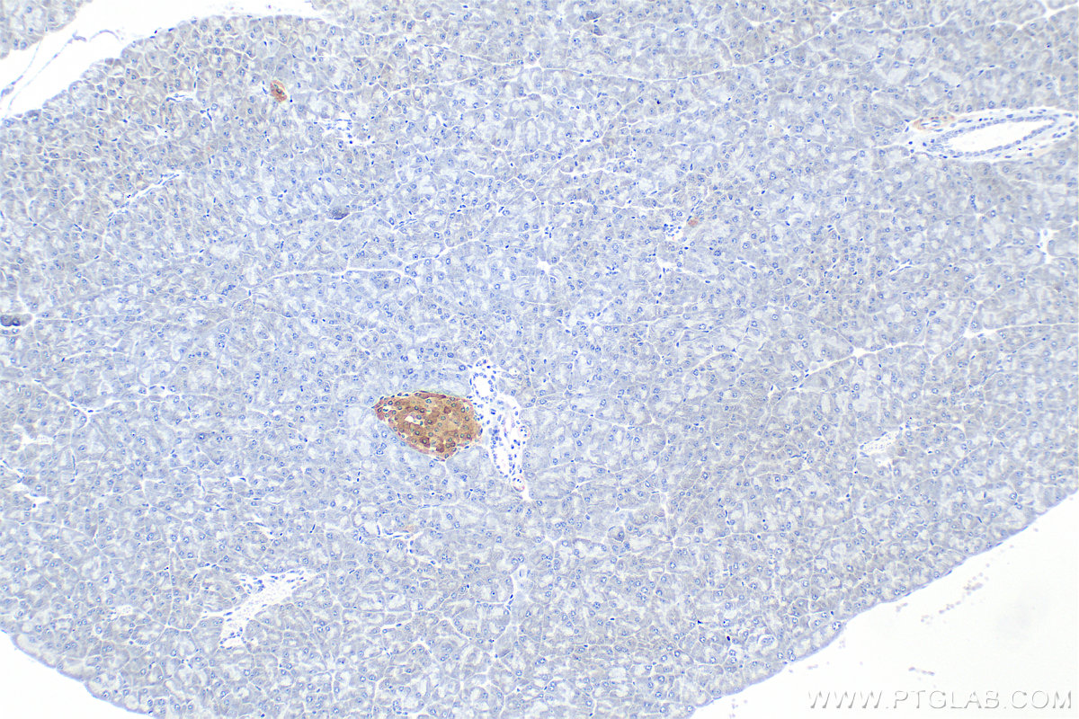
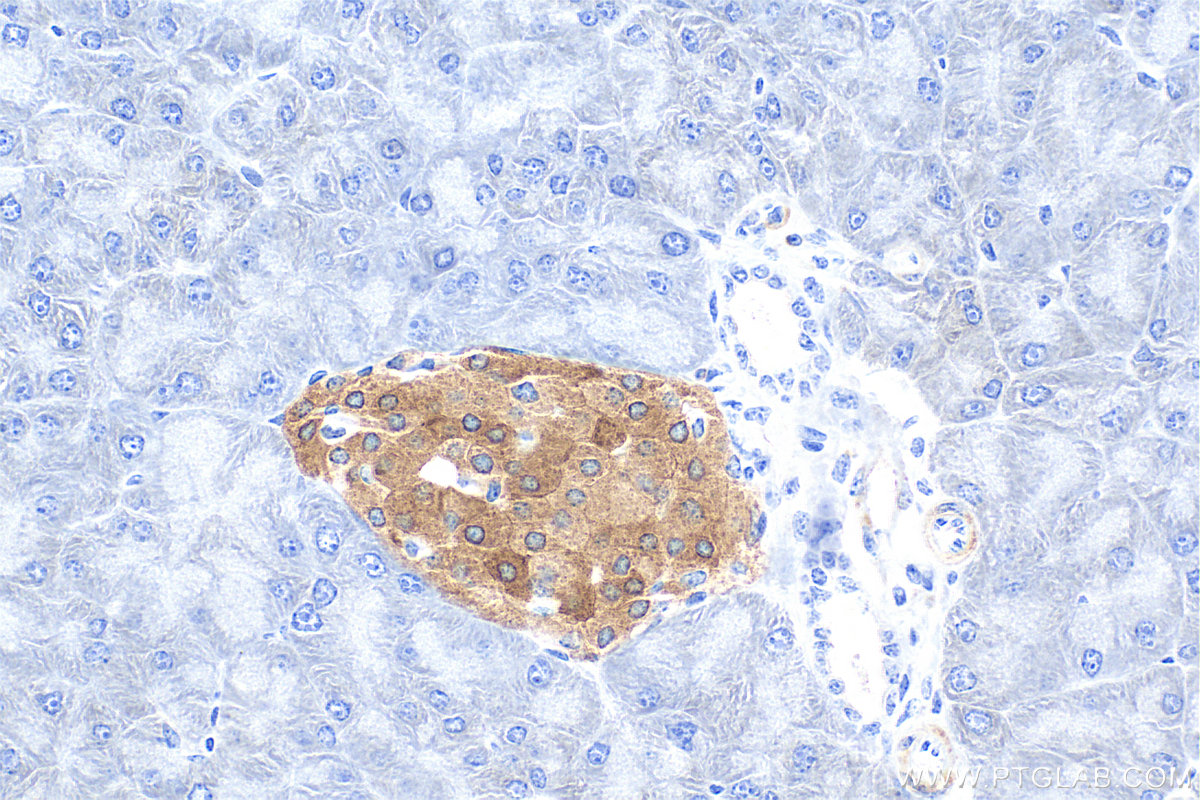
| Positive IHC detected in | rat brain tissue, mouse brain tissue, mouse pancreas tissue Note: suggested antigen retrieval with TE buffer pH 9.0; (*) Alternatively, antigen retrieval may be performed with citrate buffer pH 6.0 |
| Positive IF-P detected in | rat brain tissue, mouse brain tissue |
| Positive IF-Fro detected in | rat brain tissue |
| Positive IF/ICC detected in | HepG2 cells |
推荐稀释比
| 应用 | 推荐稀释比 |
|---|---|
| Immunohistochemistry (IHC) | IHC : 1:500-1:2000 |
| Immunofluorescence (IF)-P | IF-P : 1:50-1:500 |
| Immunofluorescence (IF)-FRO | IF-FRO : 1:50-1:500 |
| Immunofluorescence (IF)/ICC | IF/ICC : 1:50-1:500 |
| It is recommended that this reagent should be titrated in each testing system to obtain optimal results. | |
| Sample-dependent, Check data in validation data gallery. | |
产品信息
26995-1-AP targets WFS1 in WB, IHC, IF/ICC, IF-P, IF-Fro, IP, CoIP, ChIP, ELISA applications and shows reactivity with human, mouse, rat samples.
| 经测试应用 | IHC, IF/ICC, IF-P, IF-Fro, ELISA Application Description |
| 文献引用应用 | WB, IHC, IF, IP, CoIP, ChIP |
| 经测试反应性 | human, mouse, rat |
| 文献引用反应性 | human, mouse, rat, pig, zebrafish |
| 免疫原 |
CatNo: Ag25724 Product name: Recombinant human WFS1 protein Source: e coli.-derived, PGEX-4T Tag: GST Domain: 1-95 aa of BC030130 Sequence: MDSNTAPLGPSCPQPPPAPQPQARSRLNATASLEQERSERPRAPGPQAGPGPGVRDAAAPAEPQAQHTRSRERADGTGPTKGDMEIPFEEVLERA 种属同源性预测 |
| 宿主/亚型 | Rabbit / IgG |
| 抗体类别 | Polyclonal |
| 产品类型 | Antibody |
| 全称 | Wolfram syndrome 1 (wolframin) |
| 别名 | WFRS, WFS, WOLFRAMIN |
| 计算分子量 | 890 aa, 100 kDa |
| 观测分子量 | |
| GenBank蛋白编号 | BC030130 |
| 基因名称 | WFS1 |
| Gene ID (NCBI) | 7466 |
| RRID | AB_2880717 |
| 偶联类型 | Unconjugated |
| 形式 | Liquid |
| 纯化方式 | Antigen affinity purification |
| UNIPROT ID | O76024 |
| 储存缓冲液 | PBS with 0.02% sodium azide and 50% glycerol, pH 7.3. |
| 储存条件 | Store at -20°C. Stable for one year after shipment. Aliquoting is unnecessary for -20oC storage. |
背景介绍
Wolfram syndrome protein (WFS1), also called wolframin, is a transmembrane protein, which is located primarily in the endoplasmic reticulum and its expression is induced in response to ER stress, partially through transcriptional activation. ER localization suggests that WFS1 protein has physiological functions in membrane trafficking, secretion, processing and/or regulation of ER calcium homeostasis. It is ubiquitously expressed with highest levels in brain, pancreas, heart, and insulinoma beta-cell lines. Mutations of the WFS1 gene are responsible for two hereditary diseases, autosomal recessive Wolfram syndrome and autosomal dominant low frequency sensorineural hearing loss. Wolframin assembles into higher molecular weight complexes of approximately 400 kDa in the membrane(PMID: 12913071)
实验方案
| Product Specific Protocols | |
|---|---|
| IF protocol for WFS1 antibody 26995-1-AP | Download protocol |
| IHC protocol for WFS1 antibody 26995-1-AP | Download protocol |
| Standard Protocols | |
|---|---|
| Click here to view our Standard Protocols |
发表文章
| Species | Application | Title |
|---|---|---|
Sci Transl Med Wolframin-1-expressing neurons in the entorhinal cortex propagate tau to CA1 neurons and impair hippocampal memory in mice. | ||
Neuron Astrocyte-mediated regulation of BLAWFS1 neurons alleviates risk-assessment deficits in DISC1-N mice | ||
Nat Commun WFS1 functions in ER export of vesicular cargo proteins in pancreatic β-cells.
| ||
Prog Neurobiol The fasciola cinereum subregion of the hippocampus is important for the acquisition of visual contextual memory. | ||
Cell Rep Acetylcholine synergizes with netrin-1 to drive persistent firing in the entorhinal cortex |

















