验证数据展示
经过测试的应用
| Positive WB detected in | SW 1990 cells, MCF-7 cells | 
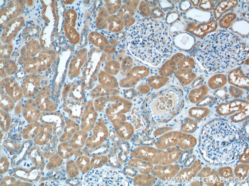
| Positive IHC detected in | human kidney tissue,  human ovary tumor tissue Note: suggested antigen retrieval with TE buffer pH 9.0; (*) Alternatively, antigen retrieval may be performed with citrate buffer pH 6.0  | 
| Positive IF/ICC detected in | MCF-7 cells | 
推荐稀释比
| 应用 | 推荐稀释比 | 
|---|---|
| Western Blot (WB) | WB : 1:1000-1:4000 | 
| Immunohistochemistry (IHC) | IHC : 1:50-1:500 | 
| Immunofluorescence (IF)/ICC | IF/ICC : 1:50-1:500 | 
| It is recommended that this reagent should be titrated in each testing system to obtain optimal results. | |
| Sample-dependent, Check data in validation data gallery. | |
发表文章中的应用
| IHC | See 1 publications below | 
产品信息
66327-1-Ig targets VPS37A in WB, IHC, IF/ICC, ELISA applications and shows reactivity with human samples.
| 经测试应用 | WB, IHC, IF/ICC, ELISA Application Description | 
| 文献引用应用 | IHC | 
| 经测试反应性 | human | 
| 文献引用反应性 | human | 
| 免疫原 | 
                                             CatNo: Ag19108 Product name: Recombinant human VPS37A protein Source: e coli.-derived, PET28a Tag: 6*His Domain: 1-174 aa of BC022363 Sequence: MPDVPDAFPELSELSVSQLTDMNEQEEVLLEQFLTLPQLKQIITDKDDLVKSIEELARKNLLLEPSLEAKRQTVLDKYELLTQMKSTFEKKMQRQHELSESCSASALQARLKVAAHEAEEESDNIAEDFLEGKMEIDDFLSSFMEKRTICHCRRAKEEKLQQAIAMHSQFHAPL 种属同源性预测 | 
                                    
| 宿主/亚型 | Mouse / IgG1 | 
| 抗体类别 | Monoclonal | 
| 产品类型 | Antibody | 
| 全称 | vacuolar protein sorting 37 homolog A (S. cerevisiae) | 
| 别名 | ESCRT I complex subunit VPS37A, HCRP1, hVps37A, PQBP2, VPS37A | 
| 计算分子量 | 44 kDa | 
| 观测分子量 | 44 kDa | 
| GenBank蛋白编号 | BC022363 | 
| 基因名称 | VPS37A | 
| Gene ID (NCBI) | 137492 | 
| RRID | AB_2881708 | 
| 偶联类型 | Unconjugated | 
| 形式 | Liquid | 
| 纯化方式 | Protein G purification | 
| UNIPROT ID | Q8NEZ2 | 
| 储存缓冲液 | PBS with 0.02% sodium azide and 50% glycerol, pH 7.3. | 
| 储存条件 | Store at -20°C. Stable for one year after shipment. Aliquoting is unnecessary for -20oC storage. | 
背景介绍
VPS37A, also named as HCRP1, belongs to the VPS37 family. It is a regulator of vesicular trafficking process. VPS37A is a member of the endosomal sorting complex required for transport (ESCRT) system, in upper motor neuron disease. ESCRT has been shown to play a central role in intracellular trafficking, in the maturation of multivesicular bodies and the sorting of ubiquitinated membrane proteins into internal luminal vesicles.
实验方案
| Product Specific Protocols | |
|---|---|
| IF protocol for VPS37A antibody 66327-1-Ig | Download protocol | 
| IHC protocol for VPS37A antibody 66327-1-Ig | Download protocol | 
| WB protocol for VPS37A antibody 66327-1-Ig | Download protocol | 
| Standard Protocols | |
|---|---|
| Click here to view our Standard Protocols | 






