验证数据展示
经过测试的应用
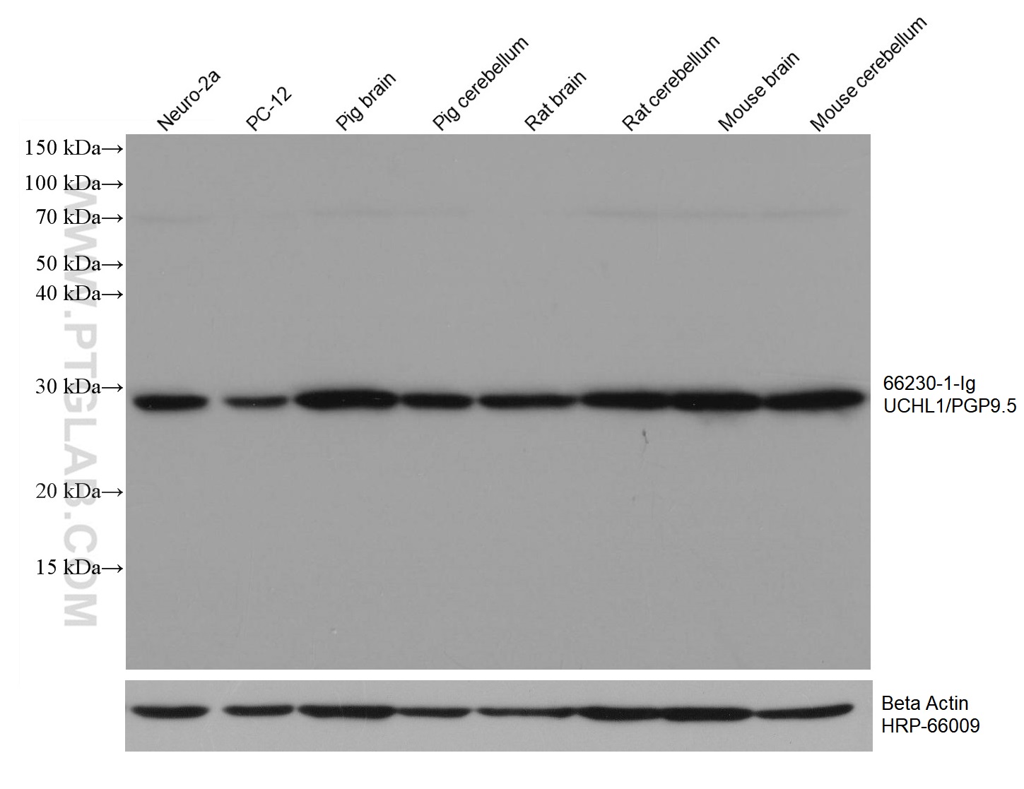
| Positive WB detected in | Neuro-2a cells, Y79 cells, PC-12 cells, Pig brain tissue, Pig cerebellum tissue, Rat brain tissue, Rat cerebellum tissue, Mouse brain tissue, Mouse cerebellum tissue |
| Positive IHC detected in | mouse cerebellum tissue, rat cerebellum tissue Note: suggested antigen retrieval with TE buffer pH 9.0; (*) Alternatively, antigen retrieval may be performed with citrate buffer pH 6.0 |
| Positive IF-P detected in | mouse brain tissue |
| Positive IF-Fro detected in | mouse brain tissue |
| Positive IF/ICC detected in | SH-SY5Y cells |
| Positive FC (Intra) detected in | Y79 cells |
推荐稀释比
| 应用 | 推荐稀释比 |
|---|---|
| Western Blot (WB) | WB : 1:20000-1:100000 |
| Immunohistochemistry (IHC) | IHC : 1:4000-1:16000 |
| Immunofluorescence (IF)-P | IF-P : 1:200-1:800 |
| Immunofluorescence (IF)-FRO | IF-FRO : 1:200-1:800 |
| Immunofluorescence (IF)/ICC | IF/ICC : 1:400-1:1600 |
| Flow Cytometry (FC) (INTRA) | FC (INTRA) : 0.40 ug per 10^6 cells in a 100 µl suspension |
| It is recommended that this reagent should be titrated in each testing system to obtain optimal results. | |
| Sample-dependent, Check data in validation data gallery. | |
产品信息
66230-1-Ig targets UCH-L1/PGP9.5 in WB, IHC, IF/ICC, IF-P, IF-Fro, FC (Intra), IP, ELISA applications and shows reactivity with human, mouse, rat, pig samples.
| 经测试应用 | WB, IHC, IF/ICC, IF-P, IF-Fro, FC (Intra), ELISA Application Description |
| 文献引用应用 | WB, IHC, IF, IP |
| 经测试反应性 | human, mouse, rat, pig |
| 文献引用反应性 | human, mouse, rat, pig |
| 免疫原 |
CatNo: Ag6547 Product name: Recombinant human UCHL1 protein Source: e coli.-derived, PET28a Tag: 6*His Domain: 1-223 aa of BC000332 Sequence: MQLKPMEINPEMLNKVLSRLGVAGQWRFVDVLGLEEESLGSVPAPACALLLLFPLTAQHENFRKKQIEELKGQEVSPKVYFMKQTIGNSCGTIGLIHAVANNQDKLGFEDGSVLKQFLSETEKMSPEDRAKCFEKNEAIQAAHDAVAQEGQCRVDDKVNFHFILFNNVDGHLYELDGRMPFPVNHGASSEDTLLKDAAKVCREFTEREQGEVRFSAVALCKAA 种属同源性预测 |
| 宿主/亚型 | Mouse / IgG1 |
| 抗体类别 | Monoclonal |
| 产品类型 | Antibody |
| 全称 | ubiquitin carboxyl-terminal esterase L1 (ubiquitin thiolesterase) |
| 别名 | PGP9.5, UCHL1, UCHL1/PGP9.5, 1C9E11, EC:3.4.19.12 |
| 计算分子量 | 25 kDa |
| 观测分子量 | 27 kDa |
| GenBank蛋白编号 | BC000332 |
| 基因名称 | UCHL1 |
| Gene ID (NCBI) | 7345 |
| RRID | AB_2881621 |
| 偶联类型 | Unconjugated |
| 形式 | Liquid |
| 纯化方式 | Protein G purification |
| UNIPROT ID | P09936 |
| 储存缓冲液 | PBS with 0.02% sodium azide and 50% glycerol, pH 7.3. |
| 储存条件 | Store at -20°C. Stable for one year after shipment. Aliquoting is unnecessary for -20oC storage. |
背景介绍
Ubiquitin C-terminal hydrolase L1 (UCHL1) was originally identified as a neuronal protein that accounts for nearly 2% of total brain proteins. UCHL1 activity protects neurons from hypoxic injury, and binding of stroke-induced reactive lipid species to the cysteine 152 (C152) of UCHL1 unfolds the protein and disrupts its function. Reduced hydrolytic activity of mutant UCHL1 is implicated in the pathophysiologic process of Parkinson's and Alzheimer's disease due to abnormal neurotoxic protein aggregation. (PMID: 31356902, PMID: 30760601)
实验方案
| Product Specific Protocols | |
|---|---|
| FC protocol for UCH-L1/PGP9.5 antibody 66230-1-Ig | Download protocol |
| IF protocol for UCH-L1/PGP9.5 antibody 66230-1-Ig | Download protocol |
| IHC protocol for UCH-L1/PGP9.5 antibody 66230-1-Ig | Download protocol |
| WB protocol for UCH-L1/PGP9.5 antibody 66230-1-Ig | Download protocol |
| Standard Protocols | |
|---|---|
| Click here to view our Standard Protocols |
发表文章
| Species | Application | Title |
|---|---|---|
Adv Sci (Weinh) Vitamin D Binding Protein, a Ligand of Integrin beta 1, Motivates Both Tumor Cells and Schwann Cells to Promote Perineural Invasion in Pancreatic Ductal Adenocarcinoma | ||
Theranostics UCH-L1-mediated Down-regulation of Estrogen Receptor α Contributes to Insensitivity to Endocrine Therapy for Breast Cancer.
| ||
Sci Rep Gingival proteomics reveals the role of TGF beta and YAP/TAZ signaling in Raine syndrome fibrosis | ||
Am J Physiol Gastrointest Liver Physiol Carbon monoxide produced by HO-1 upregulation is the main factor behind the abnormal motility seen in experimental ulcerative colitis in mice | ||
World J Gastroenterol Hydrogen-rich water alleviates constipation by attenuating oxidative stress through the sirtuin1/nuclear factor-erythroid-2-related factor 2/heme oxygenase-1 signaling pathway | ||
Toxicol Appl Pharmacol Ursolic acid alleviates paclitaxel-induced peripheral neuropathy through PPARγ activation |










