验证数据展示
经过测试的应用
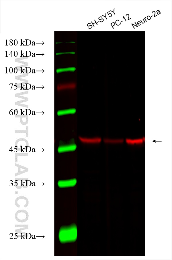
| Positive WB detected in | SH-SY5Y cells, PC-12 cells, Neuro-2a cells |
| Positive IF-P detected in | mouse brain tissue |
| Positive FC (Intra) detected in | SH-SY5Y cells |
推荐稀释比
| 应用 | 推荐稀释比 |
|---|---|
| Western Blot (WB) | WB : 1:1000-1:4000 |
| Immunofluorescence (IF)-P | IF-P : 1:50-1:500 |
| Flow Cytometry (FC) (INTRA) | FC (INTRA) : 0.40 ug per 10^6 cells in a 100 µl suspension |
| It is recommended that this reagent should be titrated in each testing system to obtain optimal results. | |
| Sample-dependent, Check data in validation data gallery. | |
发表文章中的应用
| IF | See 1 publications below |
产品信息
CL594-66375 targets TUBB3-specific/TUJ1 in WB, IF-P, FC (Intra) applications and shows reactivity with human, mouse, rat samples.
| 经测试应用 | WB, IF-P, FC (Intra) Application Description |
| 文献引用应用 | IF |
| 经测试反应性 | human, mouse, rat |
| 文献引用反应性 | mouse |
| 免疫原 |
Peptide 种属同源性预测 |
| 宿主/亚型 | Mouse / IgG1 |
| 抗体类别 | Monoclonal |
| 产品类型 | Antibody |
| 全称 | tubulin, beta 3 |
| 别名 | TUBB3, TUBB3-specific, TUJ1, beta tubulin, Tubulin beta 3 chain |
| 计算分子量 | 55 kDa |
| 观测分子量 | 50-55 kDa |
| GenBank蛋白编号 | NM_001197181 |
| 基因名称 | TUBB3 |
| Gene ID (NCBI) | 10381 |
| RRID | AB_2883571 |
| 偶联类型 | CoraLite®594 Fluorescent Dye |
| 最大激发/发射波长 | 588 nm / 604 nm |
| 激发激光 | Yellow-Green Laser (561 nm) |
| 形式 | Liquid |
| 纯化方式 | Protein G purification |
| UNIPROT ID | Q13509 |
| 储存缓冲液 | PBS with 50% glycerol, 0.05% Proclin300, 0.5% BSA, pH 7.3. |
| 储存条件 | Store at -20°C. Avoid exposure to light. Stable for one year after shipment. Aliquoting is unnecessary for -20oC storage. |
背景介绍
TUBB3, the class III β tubulin or Tuj1, is selectively expressed in testis and neurons of the central and peripheral nervous system. It has been widely used as a marker for neurons. Aberrant expression of TUBB3 has also been found in various tumors of non-neural origin and can be used as a biomarker for cancer aggressiveness and a marker for the tendency to respond poorly to chemotherapy. This antibody is specific to TUBB3 but not cross-react with other tubulin isoforms. And the antibody is conjugated with CL594, Ex/Em 593 nm/614 nm.
实验方案
| Product Specific Protocols | |
|---|---|
| FC protocol for CL594 TUBB3-specific/TUJ1 antibody CL594-66375 | Download protocol |
| IF protocol for CL594 TUBB3-specific/TUJ1 antibody CL594-66375 | Download protocol |
| WB protocol for CL594 TUBB3-specific/TUJ1 antibody CL594-66375 | Download protocol |
| Standard Protocols | |
|---|---|
| Click here to view our Standard Protocols |
发表文章
| Species | Application | Title |
|---|---|---|
Sci Rep Sexual dimorphic impacts of systemic vincristine on lower urinary tract function. | ||
Exp Cell Res A parasympathetic neurotransmitter induces myoepithelial cell differentiation during salivary gland development. |




