验证数据展示
经过测试的应用
| Positive WB detected in | HeLa cells, HEK-293 cells, Jurkat cells, HepG2 cells, K-562 cells, THP-1 cells, Raji cells |
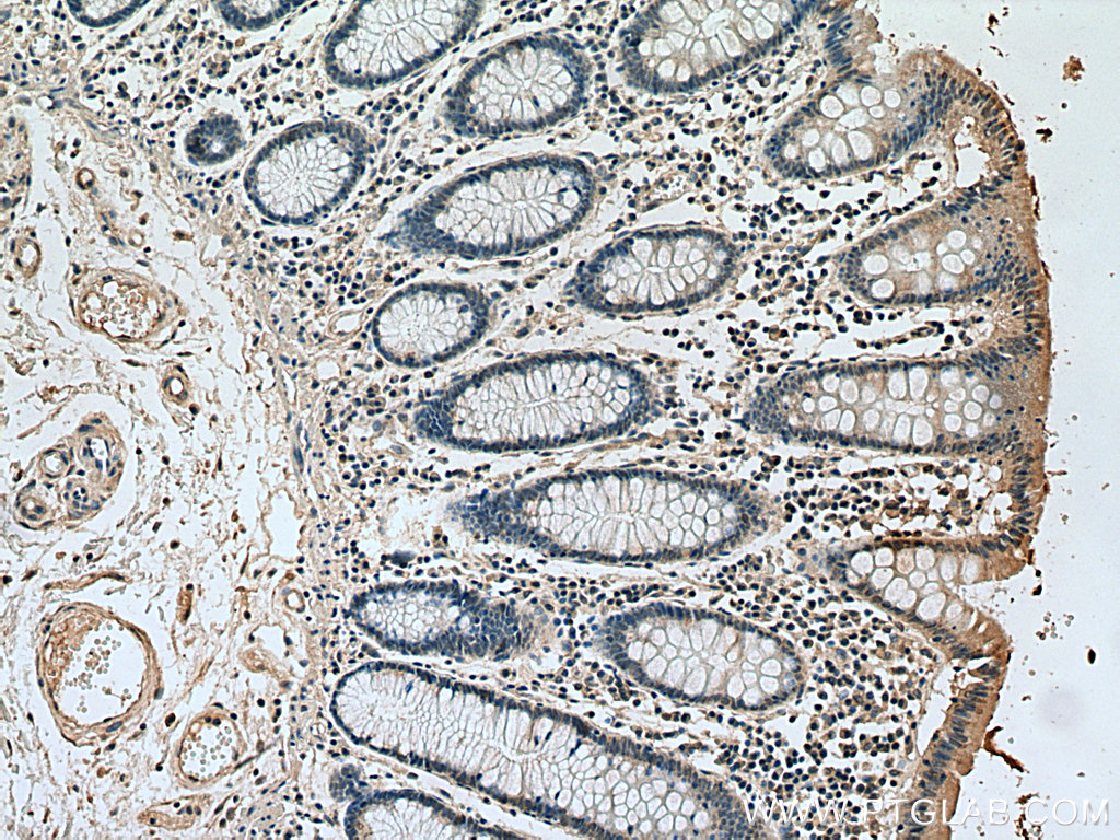
| Positive IHC detected in | human colon cancer tissue Note: suggested antigen retrieval with TE buffer pH 9.0; (*) Alternatively, antigen retrieval may be performed with citrate buffer pH 6.0 |
| Positive IF/ICC detected in | HCT 116 cells |
推荐稀释比
| 应用 | 推荐稀释比 |
|---|---|
| Western Blot (WB) | WB : 1:2000-1:10000 |
| Immunohistochemistry (IHC) | IHC : 1:250-1:1000 |
| Immunofluorescence (IF)/ICC | IF/ICC : 1:200-1:800 |
| It is recommended that this reagent should be titrated in each testing system to obtain optimal results. | |
| Sample-dependent, Check data in validation data gallery. | |
产品信息
67787-1-Ig targets TK1 in WB, IHC, IF/ICC, ELISA applications and shows reactivity with human samples.
| 经测试应用 | WB, IHC, IF/ICC, ELISA Application Description |
| 文献引用应用 | WB, IHC, IF |
| 经测试反应性 | human |
| 文献引用反应性 | human |
| 免疫原 |
CatNo: Ag8265 Product name: Recombinant human TK1 protein Source: e coli.-derived, PET28a Tag: 6*His Domain: 1-234 aa of BC007986 Sequence: MSCINLPTVLPGSPSKTRGQIQVILGPMFSGKSTELMRRVRRFQIAQYKCLVIKYAKDTRYSSSFCTHDRNTMEALPACLLRDVAQEALGVAVIGIDEGQFFPDIVEFCEAMANAGKTVIVAALDGTFQRKPFGAILNLVPLAESVVKLTAVCMECFREAAYTKRLGTEKEVEVIGGADKYHSVCRLCYFKKASGQPAGPDNKENCPVPGKPGEAVAARKLFAPQQILQCSPAN 种属同源性预测 |
| 宿主/亚型 | Mouse / IgG2a |
| 抗体类别 | Monoclonal |
| 产品类型 | Antibody |
| 全称 | thymidine kinase 1, soluble |
| 别名 | 1B1C2, EC:2.7.1.21, TK 1, TK 2, Tk1a |
| 计算分子量 | 25 kDa |
| 观测分子量 | 25 kDa |
| GenBank蛋白编号 | BC007986 |
| 基因名称 | TK1 |
| Gene ID (NCBI) | 7083 |
| RRID | AB_2918551 |
| 偶联类型 | Unconjugated |
| 形式 | Liquid |
| 纯化方式 | Protein A purification |
| UNIPROT ID | P04183 |
| 储存缓冲液 | PBS with 0.02% sodium azide and 50% glycerol, pH 7.3. |
| 储存条件 | Store at -20°C. Stable for one year after shipment. Aliquoting is unnecessary for -20oC storage. |
背景介绍
TK1(Thymidine kinase, cytosolic) belongs to the thymidine kinase family and is a regulatory enzyme that can interchange between its dimeric and tetrameric forms, which have low and high catalytic efficiencies, respectively. TK1 is involved in DNA synthesis and an important proliferation marker(PMID:21178264).
实验方案
| Product Specific Protocols | |
|---|---|
| IF protocol for TK1 antibody 67787-1-Ig | Download protocol |
| IHC protocol for TK1 antibody 67787-1-Ig | Download protocol |
| WB protocol for TK1 antibody 67787-1-Ig | Download protocol |
| Standard Protocols | |
|---|---|
| Click here to view our Standard Protocols |







