验证数据展示
经过测试的应用
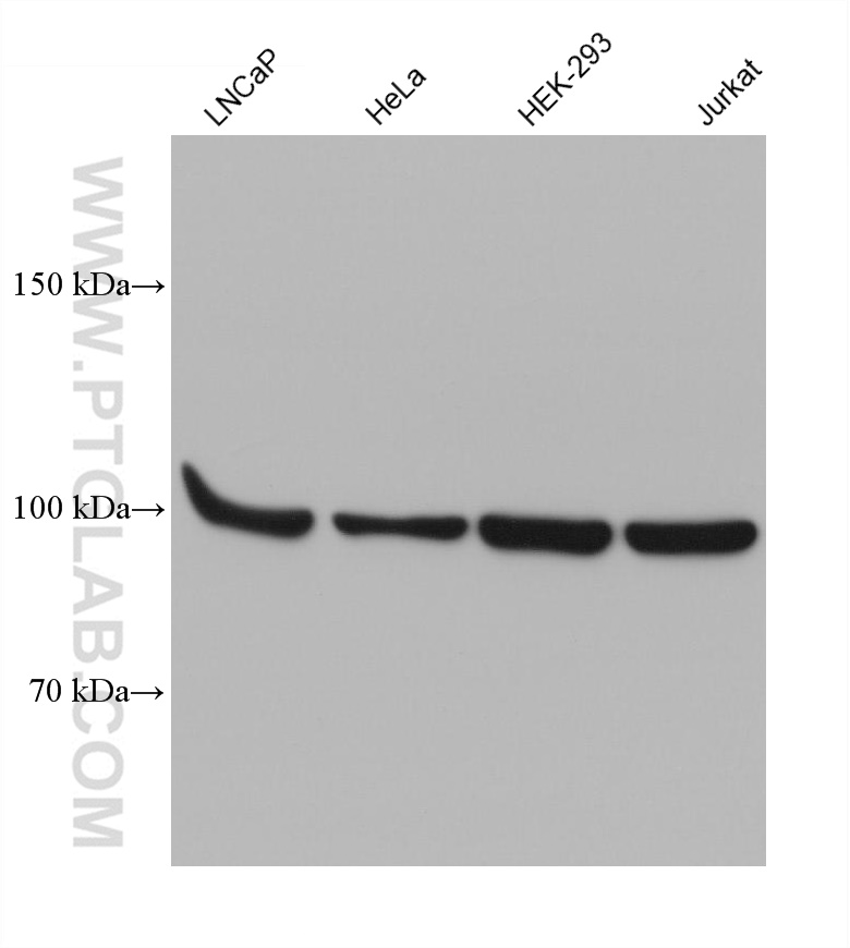
| Positive WB detected in | HeLa cells, LNCaP cells, human testis tissue, human brain tissue, MCF-7 cells, HepG2 cells, Jurkat cells, K-562 cells, HEK-293 cells |
| Positive IHC detected in | human breast cancer tissue, human prostate cancer tissue, human liver cancer tissue Note: suggested antigen retrieval with TE buffer pH 9.0; (*) Alternatively, antigen retrieval may be performed with citrate buffer pH 6.0 |
| Positive IF/ICC detected in | HeLa cells |
推荐稀释比
| 应用 | 推荐稀释比 |
|---|---|
| Western Blot (WB) | WB : 1:500-1:2000 |
| Immunohistochemistry (IHC) | IHC : 1:250-1:1000 |
| Immunofluorescence (IF)/ICC | IF/ICC : 1:200-1:800 |
| It is recommended that this reagent should be titrated in each testing system to obtain optimal results. | |
| Sample-dependent, Check data in validation data gallery. | |
产品信息
66114-1-Ig targets TFIP11 in WB, IHC, IF/ICC, ELISA applications and shows reactivity with human samples.
| 经测试应用 | WB, IHC, IF/ICC, ELISA Application Description |
| 经测试反应性 | human |
| 免疫原 |
CatNo: Ag5821 Product name: Recombinant human TFIP11 protein Source: e coli.-derived, PET28a Tag: 6*His Domain: 492-837 aa of BC033080 Sequence: IVTQWQPRNCDPMVDFLDSWVHIIPVWILDNILDQLIFPKLQKEVENWNPLTDTVPIHSWIHPWLPLMQARLEPLYSPIRSKLSSALQKWHPSDSSAKLILQPWKDVFTPGSWEAFMVKNIVPKLGMCLGELVINPHQQHMDAFYWVIDWEGMISVSSLVGLLEKHFFPKWLQVLCSWLSNSPNYEEITKWYLGWKSMFSDQVLAHPSVKDKFNEALDIMNRAVSSNVGAYMQPGARENIAYLTHTERRKDFQYEAMQERREAENMAQRGIGVAASSVPMNFKDLIETKAEEHNIVFMPVIGKRHEGKQLYTFGRIVIYIDRGVVFVQGEKTWVPTSLQSLIDMAK 种属同源性预测 |
| 宿主/亚型 | Mouse / IgG2b |
| 抗体类别 | Monoclonal |
| 产品类型 | Antibody |
| 全称 | tuftelin interacting protein 11 |
| 别名 | 1A1C8, bK445C9.6, hNtr1, HSPC006, NTR1 |
| 计算分子量 | 97 kDa |
| 观测分子量 | 97 kDa |
| GenBank蛋白编号 | BC033080 |
| 基因名称 | TFIP11 |
| Gene ID (NCBI) | 24144 |
| RRID | AB_2881513 |
| 偶联类型 | Unconjugated |
| 形式 | Liquid |
| 纯化方式 | Protein A purification |
| UNIPROT ID | Q9UBB9 |
| 储存缓冲液 | PBS with 0.02% sodium azide and 50% glycerol, pH 7.3. |
| 储存条件 | Store at -20°C. Stable for one year after shipment. Aliquoting is unnecessary for -20oC storage. |
背景介绍
TFIP11, also named as Tuftelin-interacting protein 11 or Septin and tuftelin-interacting protein 1, is a 837 amino acid protein, which contains one G-patch domain and belongs to the TFP11/STIP family. TFIP11 may localizes in the nucleus and cytoplasm. TFIP11 is involved in pre-mRNA splicing, specifically in spliceosome disassembly during late-stage splicing events. TFIP11 may play a role in the differentiation of ameloblasts and odontoblasts or in the forming of the enamel extracellular matrix.
实验方案
| Product Specific Protocols | |
|---|---|
| IF protocol for TFIP11 antibody 66114-1-Ig | Download protocol |
| IHC protocol for TFIP11 antibody 66114-1-Ig | Download protocol |
| WB protocol for TFIP11 antibody 66114-1-Ig | Download protocol |
| Standard Protocols | |
|---|---|
| Click here to view our Standard Protocols |












