验证数据展示
经过测试的应用
| Positive WB detected in | Neuro-2a cells, human testis tissue |
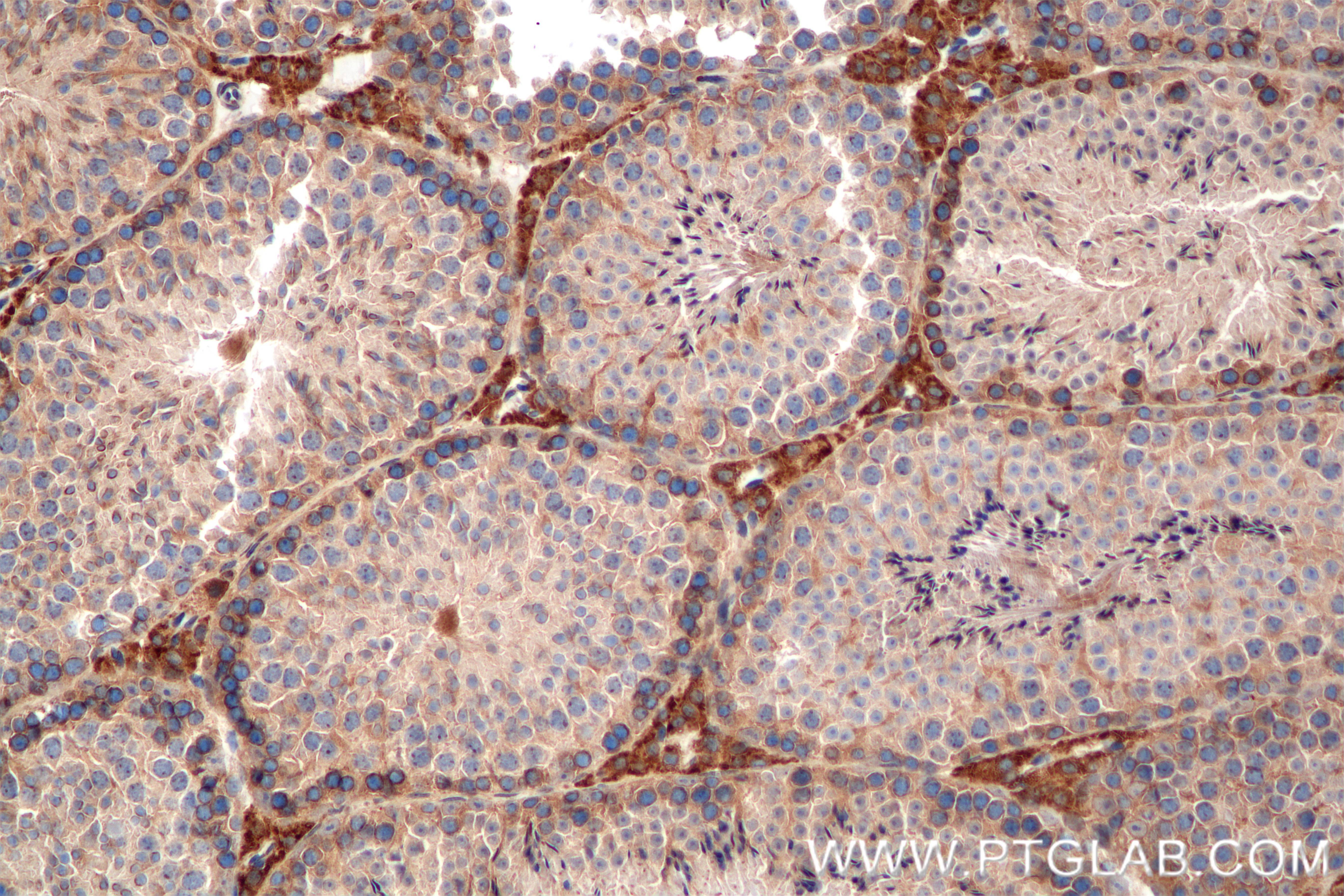
| Positive IHC detected in | mouse testis tissue Note: suggested antigen retrieval with TE buffer pH 9.0; (*) Alternatively, antigen retrieval may be performed with citrate buffer pH 6.0 |
| Positive IF/ICC detected in | Neuro-2a cells |
推荐稀释比
| 应用 | 推荐稀释比 |
|---|---|
| Western Blot (WB) | WB : 1:1000-1:6000 |
| Immunohistochemistry (IHC) | IHC : 1:50-1:500 |
| Immunofluorescence (IF)/ICC | IF/ICC : 1:200-1:800 |
| It is recommended that this reagent should be titrated in each testing system to obtain optimal results. | |
| Sample-dependent, Check data in validation data gallery. | |
产品信息
84946-5-RR targets TEX264 in WB, IHC, IF/ICC, ELISA applications and shows reactivity with human, mouse samples.
| 经测试应用 | WB, IHC, IF/ICC, ELISA Application Description |
| 经测试反应性 | human, mouse |
| 免疫原 |
CatNo: Ag23027 Product name: Recombinant human TEX264 protein Source: e coli.-derived, PGEX-4T Tag: GST Domain: 34-313 aa of BC008742 Sequence: VEVSAGSPPIRNVTVAYKFHMGLYGETGRLFTESCSISPKLRSIAVYYDNPHMVPPDKCRCAVGSILSEGEESPSPELIDLYQKFGFKVFSFPAPSHVVTATFPYTTILSIWLATRRVHPALDTYIKERKLCAYPRLEIYQEDQIHFMCPLARQGDFYVPEMKETEWKWRGLVEAIDTQVDGTGADTMSDTSSVSLEVSPGSRETSAATLSPGASSRGWDDGDTRSEHSYSESGASGSSFEELDLEGEGPLGESRLDPGTEPLGTTKWLWEPTAPEKGKE 种属同源性预测 |
| 宿主/亚型 | Rabbit / IgG |
| 抗体类别 | Recombinant |
| 产品类型 | Antibody |
| 全称 | testis expressed 264 |
| 别名 | 242500B3, SIG11, TEG 264, Testis-expressed protein 264, TEX 264 |
| 计算分子量 | 313 aa, 34 kDa |
| 观测分子量 | 37-40 kDa |
| GenBank蛋白编号 | BC008742 |
| 基因名称 | TEX264 |
| Gene ID (NCBI) | 51368 |
| 偶联类型 | Unconjugated |
| 形式 | Liquid |
| 纯化方式 | Protein A purfication |
| UNIPROT ID | Q9Y6I9 |
| 储存缓冲液 | PBS with 0.02% sodium azide and 50% glycerol, pH 7.3. |
| 储存条件 | Store at -20°C. Stable for one year after shipment. Aliquoting is unnecessary for -20oC storage. |
背景介绍
TEX264 (testes expressed gene 264) is a single-pass transmembrane protein, consisting of an N-terminal hydrophobic region, a gyrase inhibitory (GyrI)-like domain, and a loosely structured C terminus. TEX264 was first identified as an endoplasmic reticulum (ER)-resident Atg8-family-binding protein that mediates the degradation of portions of the ER during starvation (i.e., reticulophagy). TEX264 was identified as a cofactor of VCP/p97 ATPase that promotes the repair of covalently trapped TOP1 (DNA topoisomerase 1)-DNA crosslinks.
实验方案
| Product Specific Protocols | |
|---|---|
| IF protocol for TEX264 antibody 84946-5-RR | Download protocol |
| IHC protocol for TEX264 antibody 84946-5-RR | Download protocol |
| WB protocol for TEX264 antibody 84946-5-RR | Download protocol |
| Standard Protocols | |
|---|---|
| Click here to view our Standard Protocols |



