验证数据展示
经过测试的应用
| Positive WB detected in | HaCaT cells | 
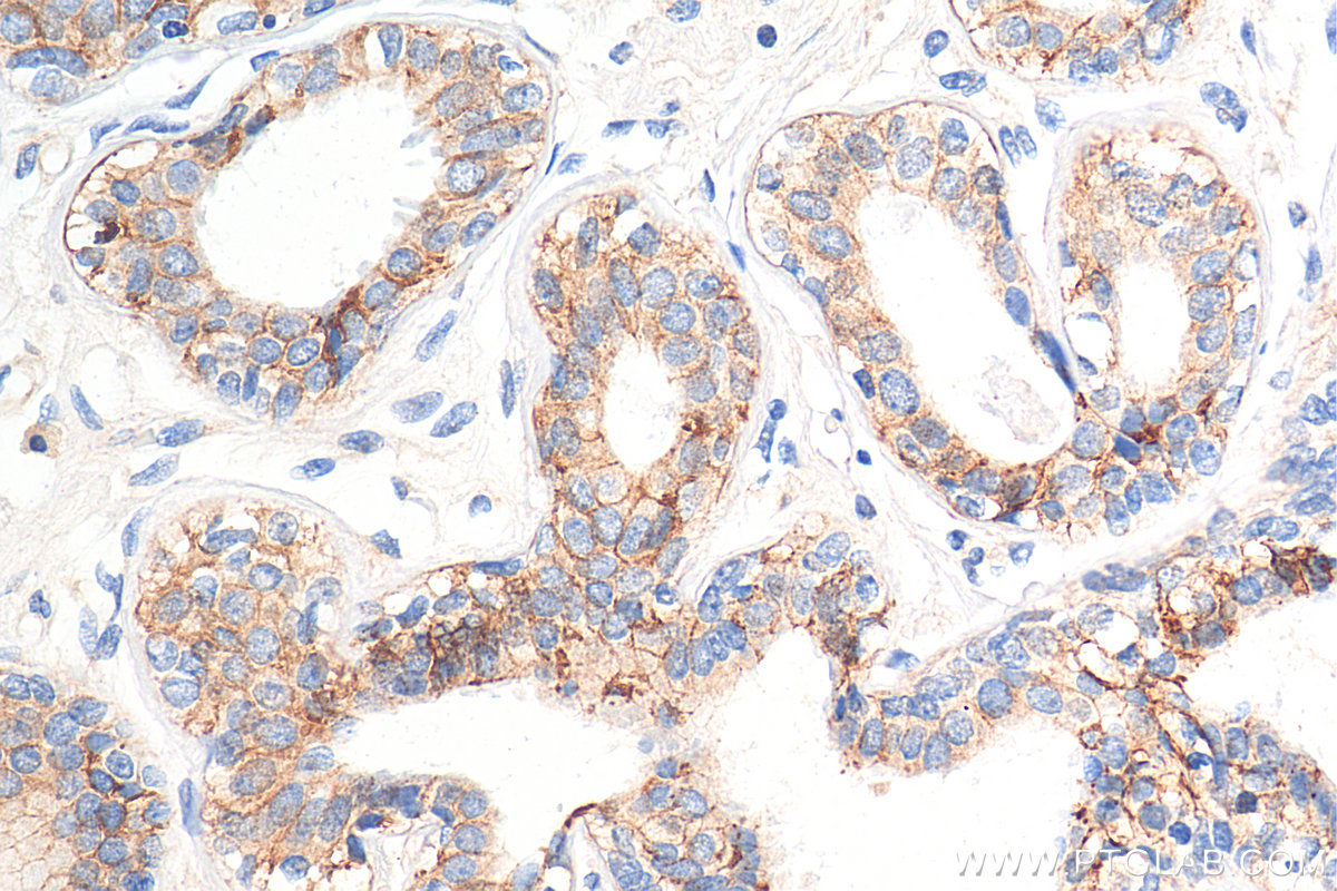
| Positive IHC detected in | human breast cancer tissue Note: suggested antigen retrieval with TE buffer pH 9.0; (*) Alternatively, antigen retrieval may be performed with citrate buffer pH 6.0 | 
| Positive IF-P detected in | mouse skin tissue | 
| Positive IF/ICC detected in | HaCaT cells | 
推荐稀释比
| 应用 | 推荐稀释比 | 
|---|---|
| Western Blot (WB) | WB : 1:1000-1:5000 | 
| Immunohistochemistry (IHC) | IHC : 1:500-1:2000 | 
| Immunofluorescence (IF)-P | IF-P : 1:50-1:500 | 
| Immunofluorescence (IF)/ICC | IF/ICC : 1:400-1:1600 | 
| It is recommended that this reagent should be titrated in each testing system to obtain optimal results. | |
| Sample-dependent, Check data in validation data gallery. | |
产品信息
68141-1-Ig targets TACSTD2/TROP2 in WB, IHC, IF/ICC, IF-P, ELISA applications and shows reactivity with human, mouse samples.
| 经测试应用 | WB, IHC, IF/ICC, IF-P, ELISA Application Description | 
| 经测试反应性 | human, mouse | 
| 免疫原 | CatNo: Ag25775 Product name: Recombinant human TACSTD2 protein Source: e coli.-derived, PET28a Tag: 6*His Domain: 138-215 aa of BC009409 Sequence: KGDLSLRCDELVRTHHILIDLRHRPTAGAFNHSDLDAELRRLFRERYRLHPKFVAAVHYEQPTIQIELRQNTSQKAAG种属同源性预测 | 
| 宿主/亚型 | Mouse / IgG2b | 
| 抗体类别 | Monoclonal | 
| 产品类型 | Antibody | 
| 全称 | tumor-associated calcium signal transducer 2 | 
| 别名 | TACSTD2, 5A6B1, Cell surface glycoprotein Trop-2, EGP 1, GA733 | 
| 计算分子量 | 36 kDa | 
| 观测分子量 | 40-50 kDa | 
| GenBank蛋白编号 | BC009409 | 
| 基因名称 | TROP2 | 
| Gene ID (NCBI) | 4070 | 
| RRID | AB_3085043 | 
| 偶联类型 | Unconjugated | 
| 形式 | Liquid | 
| 纯化方式 | Protein A purification | 
| UNIPROT ID | P09758 | 
| 储存缓冲液 | PBS with 0.02% sodium azide and 50% glycerol, pH 7.3. | 
| 储存条件 | Store at -20°C. Stable for one year after shipment. Aliquoting is unnecessary for -20oC storage. | 
背景介绍
Trophoblast cell surface antigen 2 (TROP2), also named as TACSTD2, is a transmembrane glycoprotein. TROP2 plays a role in transducing intracellular calcium signals. It is expressed in trophoblast cells, cornea and multi-stratified epithelia. TROP2 is overexpressed in most carcinomas and is involved in cancer proliferation, migration, invasion, and metastasis. Congenital mutations of TROP2 cause a rare autosomal recessive disease which may lead to blindness-the gelatinous drop-like corneal disease (PMID: 35688908).
实验方案
| Product Specific Protocols | |
|---|---|
| IF protocol for TACSTD2/TROP2 antibody 68141-1-Ig | Download protocol | 
| IHC protocol for TACSTD2/TROP2 antibody 68141-1-Ig | Download protocol | 
| WB protocol for TACSTD2/TROP2 antibody 68141-1-Ig | Download protocol | 
| Standard Protocols | |
|---|---|
| Click here to view our Standard Protocols | 






