IHCeasy® TACSTD2 Ready-To-Use IHC Kit
TACSTD2 Ready-to-use reagent kit for IHC.
Reactivity
Human
Sample Type
FFPE tissue
Cat no : KHC0821
Synonyms
EGP 1, GA733, GA733 1, M1S1, TACSTD2, TROP2
Validation Data Gallery
Product Information
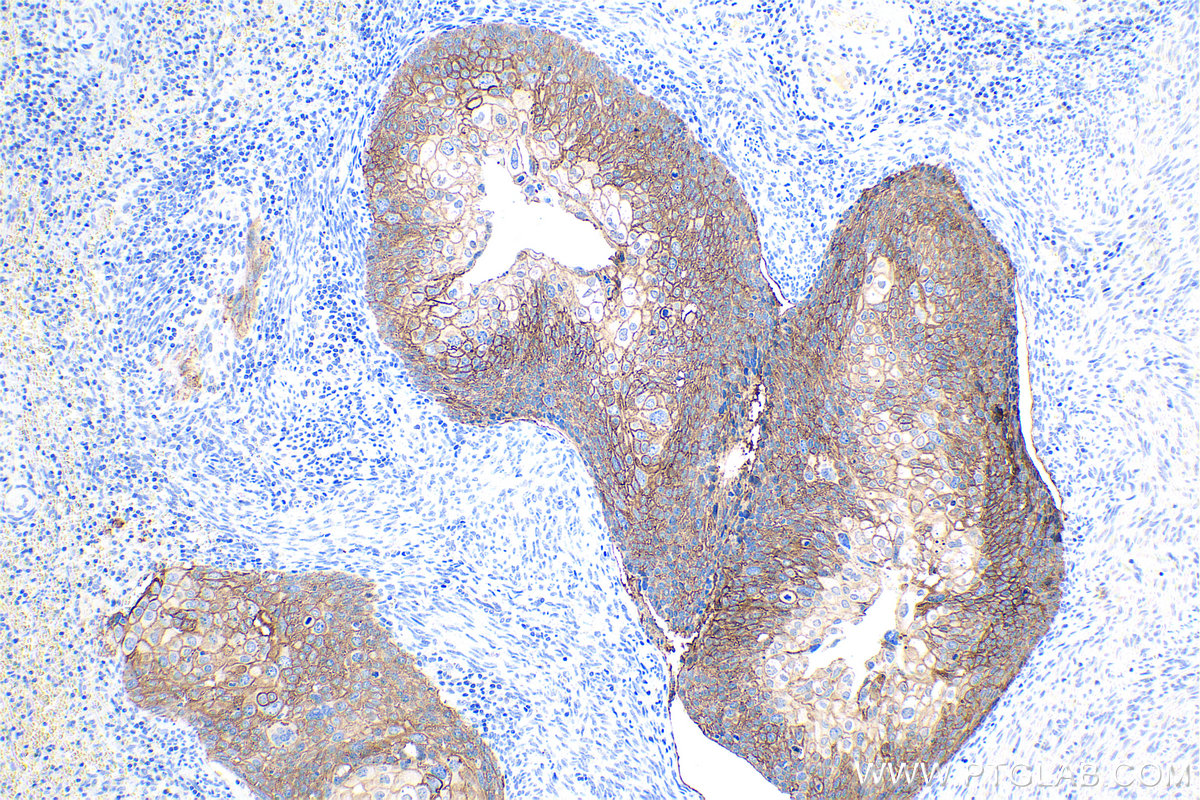
KHC0821 is a ready-to-use IHC kit for staining of TACSTD2. The kit provides all reagents, from antigen retrieval to cover slip mounting, that require little to no diluting or handling prior to use. Simply apply the reagents to your sample slide according to the protocol and you're steps away from obtaining high-quality IHC data.
| Product name | IHCeasy TACSTD2 Ready-To-Use IHC Kit |
| Sample type | FFPE tissue |
| Assay type | Immunohistochemistry |
| Primary antibody type | Rabbit Polyclonal |
| Secondary antibody type | Polymer-HRP-Goat anti-Rabbit |
| Reactivity | Human |
Kit components
| Component | Size | Concentration |
|---|---|---|
| Antigen Retrieval Buffer | 100 mL | 50× |
| Washing Buffer | 100 mL ×2 | 20× |
| Blocking Buffer | 5 mL | RTU |
| Primary Antibody | 5 mL | RTU |
| Secondary Antibody | 5 mL | RTU |
| Chromogen Component A | 0.2 mL | RTU |
| Chromogen Component B | 4 mL | RTU |
| Signal Enhancer | 5 mL | RTU |
| Counter Staining Reagent | 5 mL | RTU |
| Mounting Media | 5 mL | RTU |
| Datasheet | 1 Copy | |
| Manual | 1 Copy |
Background Information
Tumor-associated calcium signal transducer 2 (TACSTD2), also named as TROP2, is a transmembrane glycoprotein. TROP2 plays a role in transducing intracellular calcium signals. It is expressed in trophoblast cells, cornea and multi-stratified epithelia. TROP2 is overexpressed in most carcinomas and is involved in cancer proliferation, migration, invasion, and metastasis. Congenital mutations of TROP2 cause a rare autosomal recessive disease which may lead to blindness-the gelatinous drop-like corneal disease.
Properties
| Storage Instructions | All the reagents are stored at 2-8°C. The kit is stable for 6 months from the date of receipt. |
| Synonyms | EGP 1, GA733, GA733 1, M1S1, TACSTD2, TROP2 |



