验证数据展示
经过测试的应用
| Positive WB detected in | HeLa cells, C6 cells, HEK-293 cells, NIH/3T3 cells |
| Positive IP detected in | NIH/3T3 cells |
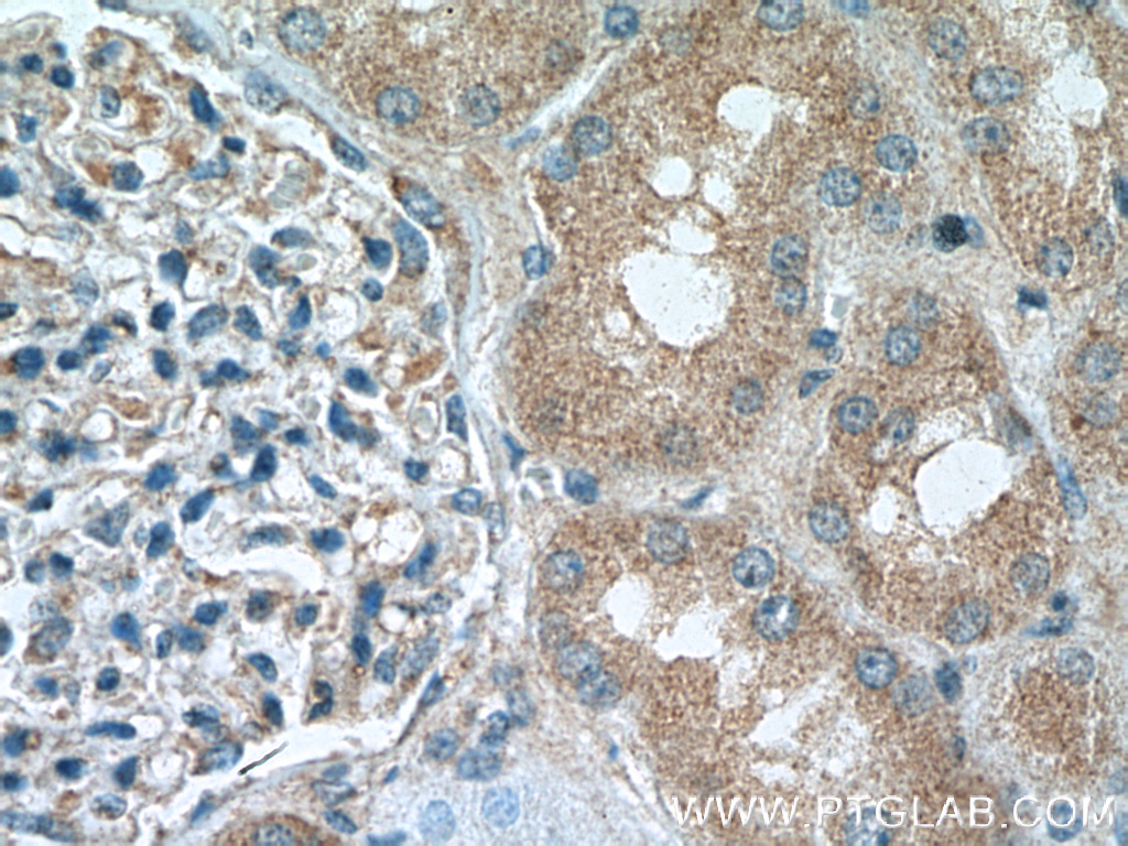
| Positive IHC detected in | human kidney tissue Note: suggested antigen retrieval with TE buffer pH 9.0; (*) Alternatively, antigen retrieval may be performed with citrate buffer pH 6.0 |
| Positive IF/ICC detected in | HeLa cells |
| Positive FC (Intra) detected in | HEK-293 cells |
推荐稀释比
| 应用 | 推荐稀释比 |
|---|---|
| Western Blot (WB) | WB : 1:1000-1:4000 |
| Immunoprecipitation (IP) | IP : 0.5-4.0 ug for 1.0-3.0 mg of total protein lysate |
| Immunohistochemistry (IHC) | IHC : 1:50-1:500 |
| Immunofluorescence (IF)/ICC | IF/ICC : 1:50-1:500 |
| Flow Cytometry (FC) (INTRA) | FC (INTRA) : 0.25 ug per 10^6 cells in a 100 µl suspension |
| It is recommended that this reagent should be titrated in each testing system to obtain optimal results. | |
| Sample-dependent, Check data in validation data gallery. | |
产品信息
26759-1-AP targets SUFU in WB, IHC, IF/ICC, FC (Intra), IP, ELISA applications and shows reactivity with human, mouse, rat samples.
| 经测试应用 | WB, IHC, IF/ICC, FC (Intra), IP, ELISA Application Description |
| 文献引用应用 | WB, IHC, IF |
| 经测试反应性 | human, mouse, rat |
| 文献引用反应性 | human, mouse, rat |
| 免疫原 |
CatNo: Ag25200 Product name: Recombinant human SUFU protein Source: e coli.-derived, PET28a Tag: 6*His Domain: 185-454 aa of BC013291 Sequence: MQPVQTPFGVVTFLQIVGVCTEELHSAQQWNGQGILELLRTVPIAGGPWLITDMRRGETIFEIDPHLQERVDKGIETDGSNLSGVSAKCAWDDLSRPPEDDEDSRSICIGTQPRRLSGKDTEQIRETLRRGLEINSKPVLPPINPQRQNGLAHDRAPSRKDSLESDSSTAIIPHELIRTRQLESVHLKFNQESGALIPLCLRGRLLHGRHFTYKSITGDMAITFVSTGVEGAFATEEHPYAAHGPWLQILLTEEFVEKMLEDLEDLTSPE 种属同源性预测 |
| 宿主/亚型 | Rabbit / IgG |
| 抗体类别 | Polyclonal |
| 产品类型 | Antibody |
| 全称 | suppressor of fused homolog (Drosophila) |
| 别名 | PRO1280, SUFUH, Suppressor of fused homolog, UNQ650/PRO1280 |
| 计算分子量 | 54 kDa |
| 观测分子量 | 50 kDa |
| GenBank蛋白编号 | BC013291 |
| 基因名称 | SUFU |
| Gene ID (NCBI) | 51684 |
| RRID | AB_2880625 |
| 偶联类型 | Unconjugated |
| 形式 | Liquid |
| 纯化方式 | Antigen affinity purification |
| UNIPROT ID | Q9UMX1 |
| 储存缓冲液 | PBS with 0.02% sodium azide and 50% glycerol, pH 7.3. |
| 储存条件 | Store at -20°C. Stable for one year after shipment. Aliquoting is unnecessary for -20oC storage. |
背景介绍
Sufu (Suppressor of fused) is a central regulator of Hh (Hedgehog) signaling and acts as a tumor suppressor by maintaining the Gli (Glioma-associated oncogene homolog) transcription factors inactive. Loss of Sufu function promotes tumorigenesis.
实验方案
| Product Specific Protocols | |
|---|---|
| FC protocol for SUFU antibody 26759-1-AP | Download protocol |
| IF protocol for SUFU antibody 26759-1-AP | Download protocol |
| IHC protocol for SUFU antibody 26759-1-AP | Download protocol |
| IP protocol for SUFU antibody 26759-1-AP | Download protocol |
| WB protocol for SUFU antibody 26759-1-AP | Download protocol |
| Standard Protocols | |
|---|---|
| Click here to view our Standard Protocols |
发表文章
| Species | Application | Title |
|---|---|---|
Theranostics Genetic and pharmacological activation of Hedgehog signaling inhibits osteoclastogenesis and attenuates titanium particle-induced osteolysis partly through suppressing the JNK/c-Fos-NFATc1 cascade. | ||
Phytother Res Total flavonoid extract from Dracocephalum moldavica L. improves pulmonary fibrosis by reducing inflammation and inhibiting the hedgehog signaling pathway | ||
Phytother Res Ursolic acid inhibits the activation of smoothened-independent non-canonical hedgehog pathway in colorectal cancer by suppressing AKT signaling cascade. | ||
Comput Intell Neurosci Inhibitory Effect of Ursolic Acid on Proliferation and Migration of Renal Carcinoma Cells and Its Mechanism. | ||
Cell Rep The ciliary gene INPP5E confers dorsal telencephalic identity to human cortical organoids by negatively regulating Sonic hedgehog signaling. |








