SF4 Recombinant monoclonal antibody

SF4 Uni-rAb® Recombinant Antibody for WB, IF/ICC, ELISA
Cat No. 87600-1-RR

产品说明书

CloneNo. 252925A4

宿主/亚型

Rabbit / IgG

种属反应性

human, mouse, rat

应用

WB, IF/ICC, ELISA

F23858, RNA-binding protein RBP, Splicing factor 4, SUGP1, SURP and G-patch domain-containing protein 1

缓冲液配方:  PBS, Azide, Glycerol
PBS, Azide, Glycerol
PBS Only
偶联物:  Unconjugated
Unconjugated
规格价格库存


经过测试的应用

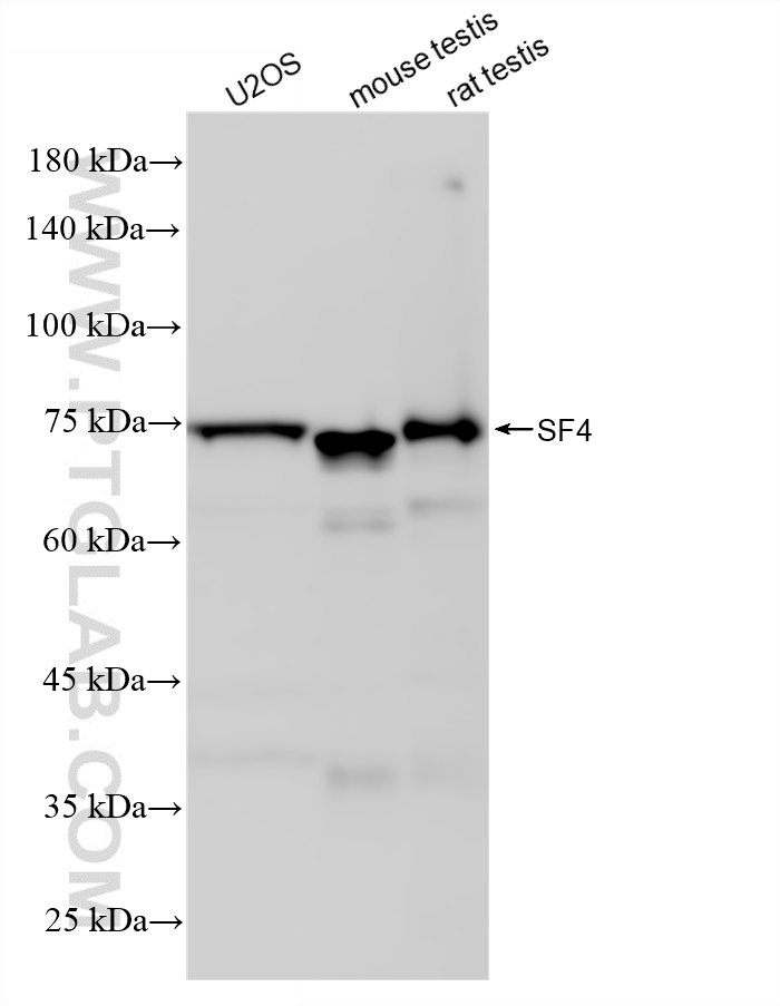
Positive WB detected inU2OS cells, mouse testis tissue, rat testis tissue
Positive IF/ICC detected inHepG2 cells

推荐稀释比

应用推荐稀释比
Western Blot (WB)WB : 1:5000-1:50000
Immunofluorescence (IF)/ICCIF/ICC : 1:50-1:500
It is recommended that this reagent should be titrated in each testing system to obtain optimal results.
Sample-dependent, Check data in validation data gallery.

产品信息

87600-1-RR targets SF4 in WB, IF/ICC, ELISA applications and shows reactivity with human, mouse, rat samples.

经测试应用 WB, IF/ICC, ELISA Application Description
经测试反应性 human, mouse, rat
免疫原

CatNo: Ag8006

Product name: Recombinant human SF4 protein

Source: e coli.-derived, PGEX-4T

Tag: GST

Domain: 1-348 aa of BC002986

Sequence: LYEPNSQGYKYYRQKLEEFRKAKASSTGSFTAPDPGLKRKSPPEALSGSLPPATTCPASSTPAPTIIPAPAAPGKPASAATVKRKRKSRWGPEEDKVELPPAELVQRDVDASPSPLSVQDLKGLGYEKGKPVGLVGVTELSDAQKKQLKEQQEMQQMYDMIMQHKRAMQDMQLLWEKAVQQHQHGYDSDEEVDSELGTWEHQLRRMEMDKTREWAEQLTKMGRGKHFIGDFLPPDELEKFMETFKALKEGREPDYSEYKEFKLTVENIGYQMLMKMGWKEGEGLGSEGQGIKNPVNKGTTTVDGAGFGIDRPAELSKEDDEYEAFRKRMMLAYRFRPNPLNNPRRPYY

种属同源性预测
宿主/亚型 Rabbit / IgG
抗体类别 Recombinant
产品类型 Antibody
全称 splicing factor 4
别名 F23858, RNA-binding protein RBP, Splicing factor 4, SUGP1, SURP and G-patch domain-containing protein 1
计算分子量 72 kDa
观测分子量72-75 kDa
GenBank蛋白编号BC002986
基因名称 SF4
Gene ID (NCBI) 57794
偶联类型 Unconjugated
形式Liquid
纯化方式Protein A purification
UNIPROT IDQ8IWZ8
储存缓冲液 PBS with 0.02% sodium azide and 50% glycerol, pH 7.3.
储存条件Store at -20°C. Stable for one year after shipment. Aliquoting is unnecessary for -20oC storage.

背景介绍

SF4 (Splicing factor 4), also known as SUGP1 (SURP and G-patch domain-containing protein 1) was first identified as a putative splicing factor based on domain composition analysis. SUGP1 protein is predicted to contain two SURP motifs, domains of alternative splicing regulators thought to be involved in RNA binding, as well as a G-patch domain, a region of six highly conserved glycine residues commonly found in eukaryotic RNA-processing proteins (PMID: 27206982). Research has shown that SUGP1 is involved in the regulation of cholesterol metabolism (PMID: 31474574).

实验方案

Product Specific Protocols
IF protocol for SF4 antibody 87600-1-RRDownload protocol
WB protocol for SF4 antibody 87600-1-RRDownload protocol
Standard Protocols
Click here to view our Standard Protocols
Loading...
||
New chat

Able

正在加载,请稍候...