验证数据展示
经过测试的应用
| Positive WB detected in | Human testis, tissue |
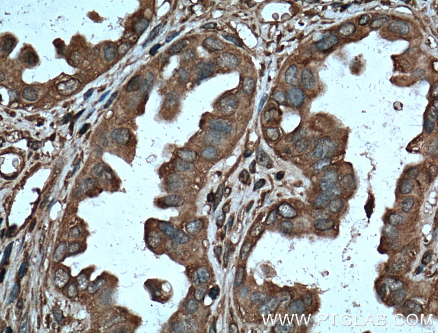
| Positive IHC detected in | human ovary tumor tissue Note: suggested antigen retrieval with TE buffer pH 9.0; (*) Alternatively, antigen retrieval may be performed with citrate buffer pH 6.0 |
| Positive IF-P detected in | human ovary tumor tissue |
推荐稀释比
| 应用 | 推荐稀释比 |
|---|---|
| Western Blot (WB) | WB : 1:500-1:2000 |
| Immunohistochemistry (IHC) | IHC : 1:50-1:500 |
| Immunofluorescence (IF)-P | IF-P : 1:200-1:800 |
| It is recommended that this reagent should be titrated in each testing system to obtain optimal results. | |
| Sample-dependent, Check data in validation data gallery. | |
产品信息
66030-1-Ig targets Serpin A5/Protein C Inhibitor in WB, IHC, IF-P, ELISA applications and shows reactivity with human samples.
| 经测试应用 | WB, IHC, IF-P, ELISA Application Description |
| 经测试反应性 | human |
| 免疫原 |
CatNo: Ag18094 Product name: Recombinant human SERPINA5 protein Source: e coli.-derived, PET28a Tag: 6*His Domain: 106-406 aa of BC008915 Sequence: ELHRGFQQLLQELNQPRDGFQLSLGNALFTDLVVDLQDTFVSAMKTLYLADTFPTNFRDSAGAMKQINDYVAKQTKGKIVDLLKNLDSNAVVIMVNYIFFKAKWETSFNHKGTQEQDFYVTSETVVRVPMMSREDQYHYLLDRNLSCRVVGVPYQGNATALFILPSEGKMQQVENGLSEKTLRKWLKMFKKRQLELYLPKFSIEGSYQLEKVLPSLGISNVFTSHADLSGISNHSNIQVSEMVHKAVVEVDESGTRAAAATGTIFTFRSARLNSQRLVFNRPFLMFIVDNNILFLGKVNRP 种属同源性预测 |
| 宿主/亚型 | Mouse / IgG2a |
| 抗体类别 | Monoclonal |
| 产品类型 | Antibody |
| 全称 | serpin peptidase inhibitor, clade A (alpha-1 antiproteinase, antitrypsin), member 5 |
| 别名 | Serpin A5, 2H6G2, PAI3, PCI, PLANH3 |
| 计算分子量 | 46 kDa |
| 观测分子量 | 46 kDa |
| GenBank蛋白编号 | BC008915 |
| 基因名称 | SERPINA5 |
| Gene ID (NCBI) | 5104 |
| RRID | AB_11045661 |
| 偶联类型 | Unconjugated |
| 形式 | Liquid |
| 纯化方式 | Protein A purification |
| UNIPROT ID | P05154 |
| 储存缓冲液 | PBS with 0.02% sodium azide and 50% glycerol, pH 7.3. |
| 储存条件 | Store at -20°C. Stable for one year after shipment. Aliquoting is unnecessary for -20oC storage. |
背景介绍
SERPINA5 (also called Protein C Inhibitor, PCI ) is a serpin type of serine protease inhibitor that is found in many tissues and fluids in human, including blood plasma, seminal plasma and urine. PCI found in blood originates from the liver and is capable of inhibiting several serine proteases involved in the regulation of coagulation and fibrinolysis, including activated protein C, thrombin, factor Xa, various kallikreins and plasminogen activators. PCI has been found to have antimicrobial and antitumor properties and thus appears to be a multi-functional protein.
实验方案
| Product Specific Protocols | |
|---|---|
| IF protocol for Serpin A5/Protein C Inhibitor antibody 66030-1-Ig | Download protocol |
| IHC protocol for Serpin A5/Protein C Inhibitor antibody 66030-1-Ig | Download protocol |
| WB protocol for Serpin A5/Protein C Inhibitor antibody 66030-1-Ig | Download protocol |
| Standard Protocols | |
|---|---|
| Click here to view our Standard Protocols |







