IHCeasy® Serpin A5 Ready-To-Use IHC Kit
Serpin A5 Ready-to-use reagent kit for IHC.
Reactivity
Human
Sample Type
FFPE tissue
Cat no : KHC3171
Synonyms
PAI3, PCI, PLANH3, Plasma serine protease inhibitor, Plasminogen activator inhibitor 3
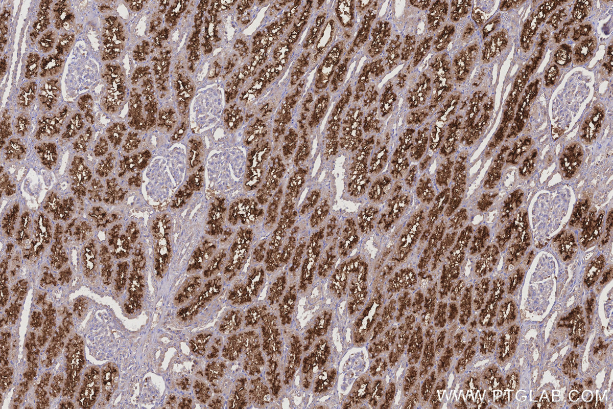
Validation Data Gallery
Product Information
KHC3171 is a ready-to-use IHC kit for staining of Serpin A5. The kit provides all reagents, from antigen retrieval to cover slip mounting, that require little to no diluting or handling prior to use. Simply apply the reagents to your sample slide according to the protocol and you're steps away from obtaining high-quality IHC data.
| Product name | IHCeasy® Serpin A5 Ready-To-Use IHC Kit |
| Sample type | FFPE tissue |
| Assay type | Immunohistochemistry |
| Primary antibody type | Mouse Monoclonal |
| Secondary antibody type | Polymer-HRP-Goat anti-Mouse |
| Reactivity | Human |
Kit components
| Component | Size | Concentration |
|---|---|---|
| Antigen Retrieval Buffer | 100 mL | 50× |
| Washing Buffer | 100 mL ×2 | 20× |
| Blocking Buffer | 5 mL | RTU |
| Primary Antibody | 5 mL | RTU |
| Secondary Antibody | 5 mL | RTU |
| Chromogen Component A | 0.2 mL | RTU |
| Chromogen Component B | 4 mL | RTU |
| Signal Enhancer | 5 mL | RTU |
| Counter Staining Reagent | 5 mL | RTU |
| Mounting Media | 5 mL | RTU |
| Datasheet | 1 Copy | |
| Manual | 1 Copy |
Background Information
SERPINA5 (also called Protein C Inhibitor, PCI ) is a serpin type of serine protease inhibitor that is found in many tissues and fluids in human, including blood plasma, seminal plasma and urine. PCI found in blood originates from the liver and is capable of inhibiting several serine proteases involved in the regulation of coagulation and fibrinolysis, including activated protein C, thrombin, factor Xa, various kallikreins and plasminogen activators. PCI has been found to have antimicrobial and antitumor properties and thus appears to be a multi-functional protein.
Properties
| Storage Instructions | All the reagents are stored at 2-8°C. The kit is stable for 6 months from the date of receipt. |
| Synonyms | PAI3, PCI, PLANH3, Plasma serine protease inhibitor, Plasminogen activator inhibitor 3 |


