验证数据展示
经过测试的应用
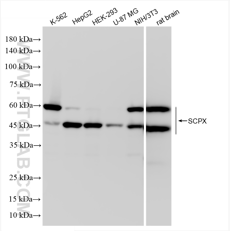
| Positive WB detected in | K-562 cells, HepG2 cells, HEK-293 cells, U-87 MG cells, NIH/3T3 cells, rat brain tissue |
| Positive IF/ICC detected in | k562 |
推荐稀释比
| 应用 | 推荐稀释比 |
|---|---|
| Western Blot (WB) | WB : 1:2000-1:10000 |
| Immunofluorescence (IF)/ICC | IF/ICC : 1:200-1:800 |
| It is recommended that this reagent should be titrated in each testing system to obtain optimal results. | |
| Sample-dependent, Check data in validation data gallery. | |
产品信息
86196-3-RR targets SCP2/SCPx in WB, IF/ICC, ELISA applications and shows reactivity with human, mouse, rat samples.
| 经测试应用 | WB, IF/ICC, ELISA Application Description |
| 经测试反应性 | human, mouse, rat |
| 免疫原 |
CatNo: Ag5895 Product name: Recombinant human SCPX protein Source: e coli.-derived, PGEX-4T Tag: GST Domain: 1-322 aa of BC067108 Sequence: MSSSPWEPATLRRVFVVGVGMTKFVKPGAENSRDYPDLAEEAGKKALADAQIPYSAVDQACVGYVFGVAECVLALGFEKMSKGSLGIKFSDRTIPTDKHVDLLINKYGLSAHPVAPQMFGYAGKEHMEKYGTKIEHFAKIGWKNHKHSVNNPYSQFQDEYSLDEVMASKEVFDFLTILQCCPTSDGAAAAILASEAFVQKYGLQSKAVEILAQEMMTDLPSSFEEKSIIKMVGFDMSKEAARKCYEKSGLTPNDIDVIELHDCFSTNELLTYEALGLCPEGQGATLVDRGDNTYGGKWVINPSGGLISKGHPLGATGGHSCS 种属同源性预测 |
| 宿主/亚型 | Rabbit / IgG |
| 抗体类别 | Recombinant |
| 产品类型 | Antibody |
| 全称 | sterol carrier protein 2 |
| 别名 | SCP2, Acetyl-CoA C-myristoyltransferase, EC:2.3.1.155, EC:2.3.1.16, EC:2.3.1.176 |
| 计算分子量 | 59 kDa |
| 观测分子量 | 46 kDa, 58 kDa |
| GenBank蛋白编号 | BC067108 |
| 基因名称 | SCP2 |
| Gene ID (NCBI) | 6342 |
| RRID | AB_3744705 |
| 偶联类型 | Unconjugated |
| 形式 | Liquid |
| 纯化方式 | Protein A purification |
| UNIPROT ID | P22307 |
| 储存缓冲液 | PBS with 0.02% sodium azide and 50% glycerol, pH 7.3. |
| 储存条件 | Store at -20°C. Stable for one year after shipment. Aliquoting is unnecessary for -20oC storage. |
背景介绍
SCP2 (Sterol carrier protein-2), also called nonspecific lipid-transfer protein, is thought to play a major role in intracellular lipid transport and metabolism. Mutations of SCP2 have been associated with diseases involving abnormalities in lipid trafficking, such as Zellweger syndrome. The alternative splicing generates 58 kDa SCPx and 13-15 kDa SCP2 proteins, both of which contain a C-terninal SCP2 domain. In addition to the SCP2 domain, SCPx also contains an amino-terminal thiolase domain. The proteolytic cleavage of SCPx occurred when it was imported into peroxisomes, giving rise to a 44-46 kDa thiolase and a 13-15 kDa SCP2. It recognizes the intact 58 kDa SCPx protein as well as 44-46 kDa thiolase (PMID: 35996156).
实验方案
| Product Specific Protocols | |
|---|---|
| IF protocol for SCP2/SCPx antibody 86196-3-RR | Download protocol |
| WB protocol for SCP2/SCPx antibody 86196-3-RR | Download protocol |
| Standard Protocols | |
|---|---|
| Click here to view our Standard Protocols |


