IHCeasy® SCP2/SCPx Ready-To-Use IHC Kit
SCP2/SCPx Ready-to-use reagent kit for IHC.
Reactivity
Human, Mouse, Rat
Sample Type
FFPE tissue
Cat no : KHC3198
Synonyms
SCP2, Acetyl-CoA C-myristoyltransferase, EC:2.3.1.155, EC:2.3.1.16, EC:2.3.1.176
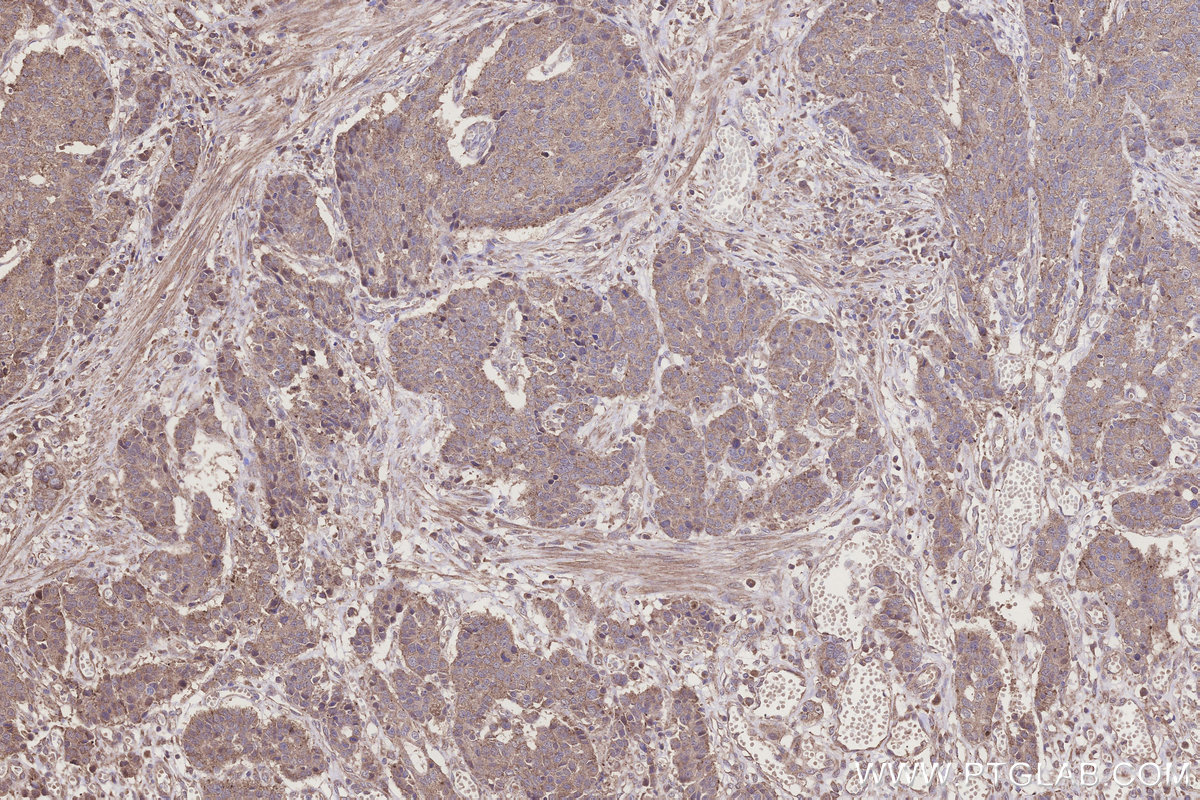
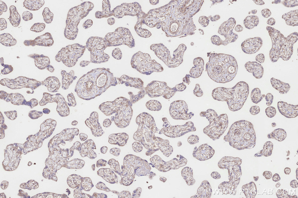
Validation Data Gallery
Product Information
KHC3198 is a ready-to-use IHC kit for staining of SCP2/SCPx. The kit provides all reagents, from antigen retrieval to cover slip mounting, that require little to no diluting or handling prior to use. Simply apply the reagents to your sample slide according to the protocol and you're steps away from obtaining high-quality IHC data.
| Product name | IHCeasy® SCP2/SCPx Ready-To-Use IHC Kit |
| Sample type | FFPE tissue |
| Assay type | Immunohistochemistry |
| Primary antibody type | Rabbit Polyclonal |
| Secondary antibody type | Polymer-HRP-Goat anti-Rabbit |
| Reactivity | Human, Mouse, Rat |
Kit components
| Component | Size | Concentration |
|---|---|---|
| Antigen Retrieval Buffer | 100 mL | 50× |
| Washing Buffer | 100 mL ×2 | 20× |
| Blocking Buffer | 5 mL | RTU |
| Primary Antibody | 5 mL | RTU |
| Secondary Antibody | 5 mL | RTU |
| Chromogen Component A | 0.2 mL | RTU |
| Chromogen Component B | 4 mL | RTU |
| Signal Enhancer | 5 mL | RTU |
| Counter Staining Reagent | 5 mL | RTU |
| Mounting Media | 5 mL | RTU |
| Datasheet | 1 Copy | |
| Manual | 1 Copy |
Background Information
SCP2 (Sterol carrier protein-2), also called nonspecific lipid-transfer protein, is thought to play a major role in intracellular lipid transport and metabolism. Mutations of SCP2 have been associated with diseases involving abnormalities in lipid trafficking, such as Zellweger syndrome.
Properties
| Storage Instructions | All the reagents are stored at 2-8°C. The kit is stable for 6 months from the date of receipt. |
| Synonyms | SCP2, Acetyl-CoA C-myristoyltransferase, EC:2.3.1.155, EC:2.3.1.16, EC:2.3.1.176 |





