验证数据展示
产品信息
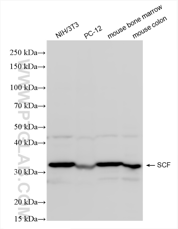
86214-1-PBS targets SCF in WB, Indirect ELISA applications and shows reactivity with mouse, rat samples.
| 经测试应用 | WB, Indirect ELISA Application Description |
| 经测试反应性 | mouse, rat |
| 免疫原 |
CatNo: Eg0402 Product name: Recombinant Mouse SCF protein (His Tag) Source: mammalian cells-derived, pHZ-KIsec-C-6*HIS Tag: C-6*HIS Domain: 26-189 aa of NM_013598 Sequence: KEICGNPVTDNVKDITKLVANLPNDYMITLNYVAGMDVLPSHCWLRDMVIQLSLSLTTLLDKFSNISEGLSNYSIIDKLGKIVDDLVLCMEENAPKNIKESPKRPETRSFTPEEFFSIFNRSIDAFKDFMVASDTSDCVLSSTLGPEKDSRVSVTKPFMLPPVA 种属同源性预测 |
| 宿主/亚型 | Rabbit / IgG |
| 抗体类别 | Recombinant |
| 产品类型 | Antibody |
| 全称 | kit ligand |
| 别名 | Kitl, kit ligand |
| 计算分子量 | 31KD |
| 观测分子量 | 31 kDa |
| GenBank蛋白编号 | NM_013598 |
| 基因名称 | Kitl |
| Gene ID (NCBI) | 17311 |
| 偶联类型 | Unconjugated |
| 形式 | Liquid |
| 纯化方式 | Protein A purification |
| UNIPROT ID | P20826-1 |
| 储存缓冲液 | PBS only, pH 7.3. |
| 储存条件 | Store at -80°C. The product is shipped with ice packs. Upon receipt, store it immediately at -80°C |
背景介绍
Stem cell factor (SCF) is also named as mast cell growth factor (MGF), Kit ligand (Kitl), c-Kit ligand, steel factor and Kitlg. SCF is a pleiotropic cytokine (also as a dimeric molecule) that mediates regulatory effects on inflammation, tissue remodeling, and fibrosis through binding to and activating its receptor tyrosine kinase c-Kit (PMID: 1698553, PMID: 8630386, PMID: 23073628). SCF is the ligand of c-Kit, a member of the RTKs family. Molecular activity of RTKs is a primary stimulus of cell motility, and expression of the SCF/c-Kit axis is associated with cell migration (PMID: 28629522). SCF is a cytokine that synergizes the effects of Epo during erythropoiesis. Stem cell factor plays a well-described role in regulating the survival, proliferation, migration, and differentiation of hematopoietic progenitors, melanocytes, and germ cells (PMID: 36688460). More recent studies have demonstrated SCF expression in dermal and intestinal epithelial cells, and increased SCF expression has been reported in the inflamed mucosa of individuals with IBD and colonitis (PMID: 18200049, PMID: 30157426).

