验证数据展示
经过测试的应用
| Positive WB detected in | Y79 cells, HeLa cells, PC-3 cells | 
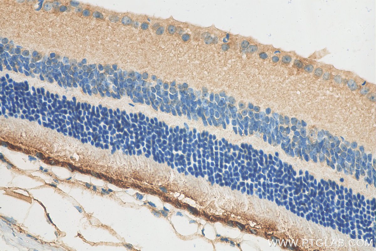
| Positive IHC detected in | mouse eye tissue Note: suggested antigen retrieval with TE buffer pH 9.0; (*) Alternatively, antigen retrieval may be performed with citrate buffer pH 6.0  | 
| Positive IF-P detected in | mouse eye tissue | 
| Positive IF-Fro detected in | mouse eye tissue | 
推荐稀释比
| 应用 | 推荐稀释比 | 
|---|---|
| Western Blot (WB) | WB : 1:500-1:3000 | 
| Immunohistochemistry (IHC) | IHC : 1:50-1:500 | 
| Immunofluorescence (IF)-P | IF-P : 1:50-1:500 | 
| Immunofluorescence (IF)-FRO | IF-FRO : 1:50-1:500 | 
| It is recommended that this reagent should be titrated in each testing system to obtain optimal results. | |
| Sample-dependent, Check data in validation data gallery. | |
产品信息
17939-1-AP targets RPE65 in WB, IHC, IF-P, IF-Fro, ELISA applications and shows reactivity with human, mouse, rat samples.
| 经测试应用 | WB, IHC, IF-P, IF-Fro, ELISA Application Description | 
| 文献引用应用 | WB, IHC, IF | 
| 经测试反应性 | human, mouse, rat | 
| 文献引用反应性 | human, mouse, rat, zebrafish | 
| 免疫原 | 
                                             CatNo: Ag12356 Product name: Recombinant human RPE65 protein Source: e coli.-derived, PGEX-4T Tag: GST Domain: 204-533 aa of BC075036 Sequence: YNIVKIPPLQADKEDPISKSEIVVQFPCSDRFKPSYVHSFGLTPNYIVFVETPVKINLFKFLSSWSLWGANYMDCFESNETMGVWLHIADKKRKKYLNNKYRTSPFNLFHHINTYEDNGFLIVDLCCWKGFEFVYNYLYLANLRENWEEVKKNARKAPQPEVRRYVLPLNIDKADTGKNLVTLPNTTATAILCSDETIWLEPEVLFSGPRQAFEFPQINYQKYCGKPYTYAYGLGLNHFVPDRLCKLNVKTKETWVWQEPDSYPSEPIFVSHPDALEEDDGVVLSVVVSPGAGQKPAYLLILNAKDLSEVARAEVEINIPVTFHGLFKKS 种属同源性预测 | 
                                    
| 宿主/亚型 | Rabbit / IgG | 
| 抗体类别 | Polyclonal | 
| 产品类型 | Antibody | 
| 全称 | retinal pigment epithelium-specific protein 65kDa | 
| 别名 | All-trans-retinyl-palmitate hydrolase, EC:3.1.1.64, EC:5.3.3.22, LCA2, Lutein isomerase | 
| 计算分子量 | 61 kDa | 
| 观测分子量 | 65 kDa, 61 kDa | 
| GenBank蛋白编号 | BC075036 | 
| 基因名称 | RPE65 | 
| Gene ID (NCBI) | 6121 | 
| RRID | AB_2285290 | 
| 偶联类型 | Unconjugated | 
| 形式 | Liquid | 
| 纯化方式 | Antigen affinity purification | 
| UNIPROT ID | Q16518 | 
| 储存缓冲液 | PBS with 0.02% sodium azide and 50% glycerol, pH 7.3. | 
| 储存条件 | Store at -20°C. Stable for one year after shipment. Aliquoting is unnecessary for -20oC storage. | 
背景介绍
RPE65(Retinal pigment epithelium-specific 65 kDa protein) is also named as retinoid isomerohydrolase with the calculated molecular weight og 61 kDa and belongs to the carotenoid oxygenase family. It is a microsomal protein with isomerase activity in the retinoid visual cycle that playing a role in the isomerisation of all-trans (vitamin A) to 11-cis retinal, the chromophore of the visual pigments. It also might be involved in retinoid uptake of keratinocytes.
实验方案
| Product Specific Protocols | |
|---|---|
| IF protocol for RPE65 antibody 17939-1-AP | Download protocol | 
| IHC protocol for RPE65 antibody 17939-1-AP | Download protocol | 
| WB protocol for RPE65 antibody 17939-1-AP | Download protocol | 
| Standard Protocols | |
|---|---|
| Click here to view our Standard Protocols | 
发表文章
| Species | Application | Title | 
|---|---|---|
Redox Biol Glia maturation factor-β induces ferroptosis by impairing chaperone-mediated autophagic degradation of ACSL4 in early diabetic retinopathy. | ||
J Biol Chem Conversion of all-trans-retinal into all-trans-retinal dimer reflects an alternative metabolic/antidotal pathway of all-trans-retinal in the retina. | ||
Invest Ophthalmol Vis Sci Dasatinib Plus Quercetin Alleviates Choroid Neovascularization by Reducing the Cellular Senescence Burden in the RPE-Choroid | ||
Diabetes Res Clin Pract Thioredoxin upregulation delays diabetes-induced photoreceptor cell degeneration via AMPK-mediated autophagy and exosome secretion. | ||







