验证数据展示
经过测试的应用
| Positive WB detected in | HeLa cells, HepG2 cells, K-562 cells, MCF-7 cells, Raji cells, NIH-3T3 cells, HSC-T6 cells |
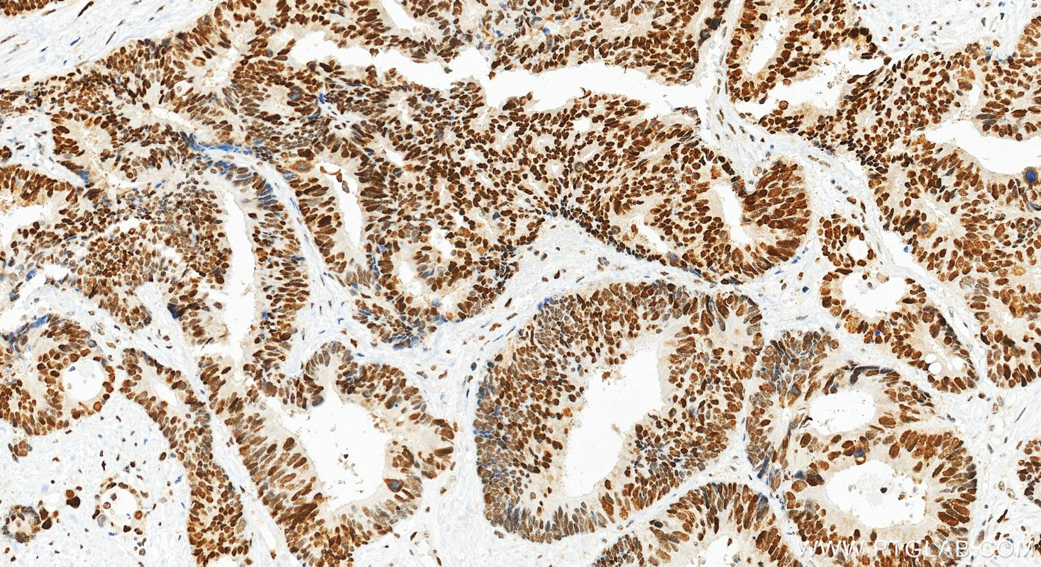
| Positive IHC detected in | mouse ovary tissue, human colon cancer tissue Note: suggested antigen retrieval with TE buffer pH 9.0; (*) Alternatively, antigen retrieval may be performed with citrate buffer pH 6.0 |
| Positive IF/ICC detected in | HeLa cells, NIH/3T3 cells |
| Positive FC (Intra) detected in | HeLa cells |
推荐稀释比
| 应用 | 推荐稀释比 |
|---|---|
| Western Blot (WB) | WB : 1:5000-1:50000 |
| Immunohistochemistry (IHC) | IHC : 1:500-1:2000 |
| Immunofluorescence (IF)/ICC | IF/ICC : 1:250-1:1000 |
| Flow Cytometry (FC) (INTRA) | FC (INTRA) : 0.25 ug per 10^6 cells in a 100 µl suspension |
| It is recommended that this reagent should be titrated in each testing system to obtain optimal results. | |
| Sample-dependent, Check data in validation data gallery. | |
产品信息
84892-1-RR targets RFC2 in WB, IHC, IF/ICC, FC (Intra), ELISA applications and shows reactivity with human, mouse, rat samples.
| 经测试应用 | WB, IHC, IF/ICC, FC (Intra), ELISA Application Description |
| 经测试反应性 | human, mouse, rat |
| 免疫原 |
CatNo: Ag0663 Product name: Recombinant human RFC2 protein Source: e coli.-derived, PGEX-4T Tag: GST Domain: 1-320 aa of BC002813 Sequence: MEVEAVCGGAGEVEAQDSDPAPAFSKAPGSAGHYELPWVEKYRPVKLNEIVGNEDTVSRLEVFAREGNVPNIIIAGPPGTGKTTSILCLARALLGPALKDAMLELNASNDSMTDGAQQALRRTMEIYSKTTRFALACNASDKIIEPIQSRCAVLRYTKLTDAQILTRLMNVIEKERVPYTDDGLEAIIFTAQGDMRQALNNLQSTFSGFGFINSENVFKVCDEPHPLLVKEMIQHCVNANIDEAYKILAHLWHLGYSPEDIIGNIFRVCKTFQMAEYLKLEFIKEIGYTHMKIAEGVNSLLQMAGLLARLCQKTMAPVAS 种属同源性预测 |
| 宿主/亚型 | Rabbit / IgG |
| 抗体类别 | Recombinant |
| 产品类型 | Antibody |
| 全称 | replication factor C (activator 1) 2, 40kDa |
| 别名 | 242503E12, A1, A1 40 kDa subunit, Activator 1 40 kDa subunit, Activator 1 subunit 2 |
| 计算分子量 | 39 kDa |
| 观测分子量 | 39 kDa |
| GenBank蛋白编号 | BC002813 |
| 基因名称 | RFC2 |
| Gene ID (NCBI) | 5982 |
| RRID | AB_3743819 |
| 偶联类型 | Unconjugated |
| 形式 | Liquid |
| 纯化方式 | Protein A purification |
| UNIPROT ID | P35250 |
| 储存缓冲液 | PBS with 0.02% sodium azide and 50% glycerol, pH 7.3. |
| 储存条件 | Store at -20°C. Stable for one year after shipment. Aliquoting is unnecessary for -20oC storage. |
背景介绍
RFC2, also named RFC40, belongs to the activator 1 small subunits family. It is a 39 kDa Activator 1 subunit. It binds ATP. The elongation of primed DNA templates by DNA polymerase delta and epsilon requires the action of the accessory proteins proliferating cell nuclear antigen (PCNA) and activator 1. RFC2 is a constitutively expressed protein essential for both DNA repair and replication. (PMID: 20660762).
实验方案
| Product Specific Protocols | |
|---|---|
| FC protocol for RFC2 antibody 84892-1-RR | Download protocol |
| IF protocol for RFC2 antibody 84892-1-RR | Download protocol |
| IHC protocol for RFC2 antibody 84892-1-RR | Download protocol |
| WB protocol for RFC2 antibody 84892-1-RR | Download protocol |
| Standard Protocols | |
|---|---|
| Click here to view our Standard Protocols |







