验证数据展示
产品信息
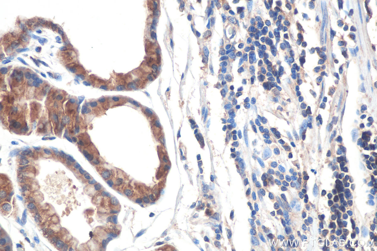
67837-1-PBS targets RAB1B in WB, IHC, IF/ICC, ELISA applications and shows reactivity with human, mouse, rat samples.
| 经测试应用 | WB, IHC, IF/ICC, ELISA Application Description |
| 经测试反应性 | human, mouse, rat |
| 免疫原 |
CatNo: Ag12069 Product name: Recombinant human RAB1B protein Source: e coli.-derived, PET28a Tag: 6*His Domain: 1-201 aa of BC071169 Sequence: MNPEYDYLFKLLLIGDSGVGKSCLLLRFADDTYTESYISTIGVDFKIRTIELDGKTIKLQIWDTAGQERFRTITSSYYRGAHGIIVVYDVTDQESYANVKQWLQEIDRYASENVNKLLVGNKSDLTTKKVVDNTTAKEFADSLGIPFLETSAKNATNVEQAFMTMAAEIKKRMGPGAASGGERPNLKIDSTPVKPAGGGCC 种属同源性预测 |
| 宿主/亚型 | Mouse / IgG1 |
| 抗体类别 | Monoclonal |
| 产品类型 | Antibody |
| 全称 | RAB1B, member RAS oncogene family |
| 别名 | 3C2G6, EC:3.6.5.2, Ras related protein Rab 1B, Ras-related protein Rab-1B |
| 计算分子量 | 201 aa, 22 kDa |
| 观测分子量 | 22 kDa |
| GenBank蛋白编号 | BC071169 |
| 基因名称 | RAB1B |
| Gene ID (NCBI) | 81876 |
| RRID | AB_2918599 |
| 偶联类型 | Unconjugated |
| 形式 | Liquid |
| 纯化方式 | Protein G purification |
| UNIPROT ID | Q9H0U4 |
| 储存缓冲液 | PBS only, pH 7.3. |
| 储存条件 | Store at -80°C. The product is shipped with ice packs. Upon receipt, store it immediately at -80°C |
















