验证数据展示
经过测试的应用
| Positive WB detected in | paclitaxel treated HeLa cells |
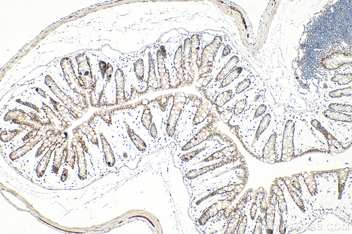
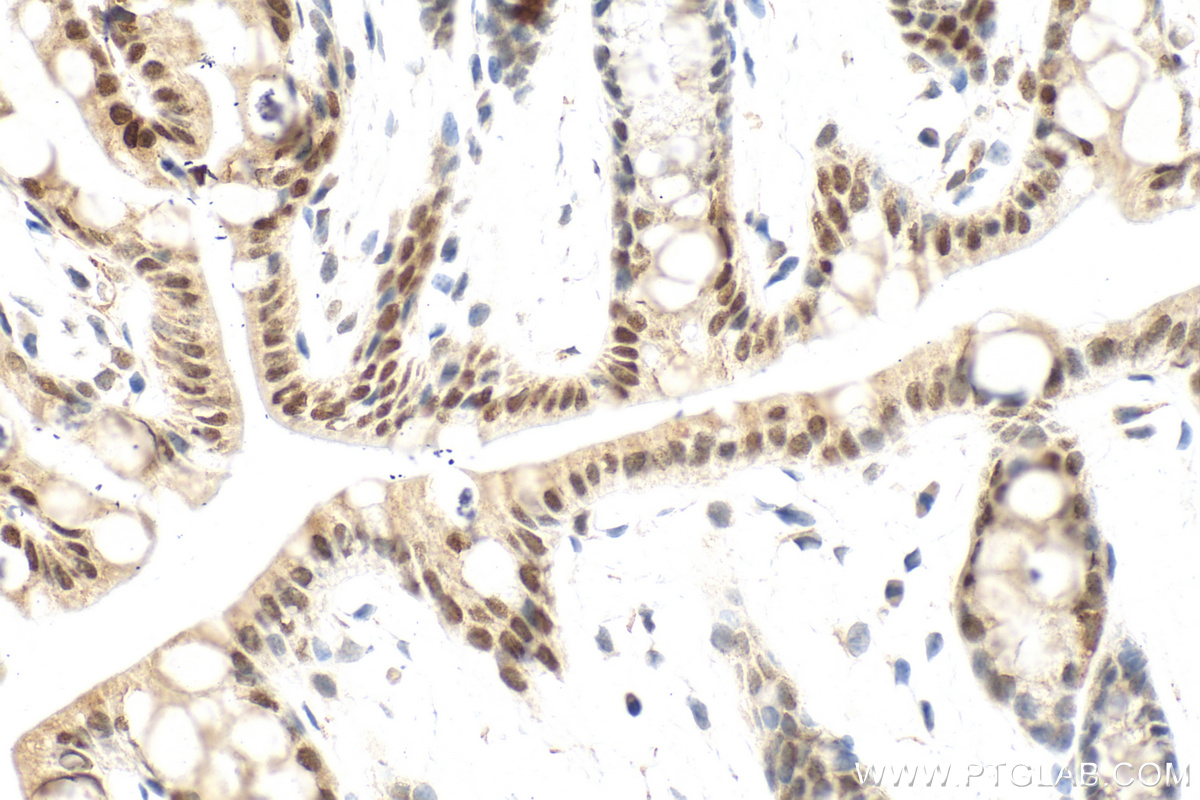
| Positive IHC detected in | mouse colon tissue Note: suggested antigen retrieval with TE buffer pH 9.0; (*) Alternatively, antigen retrieval may be performed with citrate buffer pH 6.0 |
推荐稀释比
| 应用 | 推荐稀释比 |
|---|---|
| Western Blot (WB) | WB : 1:5000-1:50000 |
| Immunohistochemistry (IHC) | IHC : 1:500-1:2000 |
| It is recommended that this reagent should be titrated in each testing system to obtain optimal results. | |
| Sample-dependent, Check data in validation data gallery. | |
产品信息
87346-1-RR targets Phospho-Lamin A/C (Ser22) in WB, IHC, ELISA applications and shows reactivity with human samples.
| 经测试应用 | WB, IHC, ELISA Application Description |
| 经测试反应性 | human |
| 免疫原 |
Peptide 种属同源性预测 |
| 宿主/亚型 | Rabbit / IgG |
| 抗体类别 | Recombinant |
| 产品类型 | Antibody |
| 全称 | lamin A/C |
| 别名 | Phospho-Lamin A/C, Phospho-lamin-A, Phospho-lamin-C, p-lamin A/C, p-Lamin A/C (S22) |
| 计算分子量 | 65 kDa |
| 观测分子量 | 65 kDa, 70 kDa |
| GenBank蛋白编号 | NM_170707 |
| 基因名称 | Lamin A/C |
| Gene ID (NCBI) | 4000 |
| ENSEMBL Gene ID | ENSG00000160789 |
| 偶联类型 | Unconjugated |
| 形式 | Liquid |
| 纯化方式 | Protein A purification |
| UNIPROT ID | P02545 |
| 储存缓冲液 | PBS with 0.02% sodium azide and 50% glycerol, pH 7.3. |
| 储存条件 | Store at -20°C. Stable for one year after shipment. Aliquoting is unnecessary for -20oC storage. |
背景介绍
Lamin A/C is also named as LMNA or LMN1. The lamin family of proteins make up the matrix and are highly conserved in evolution. Phospho-Lamin A/C (Ser22) is a phosphorylated form of Lamin A/C, which is a protein that plays a crucial role in the structure and function of the nuclear lamina. Lamin A/C phosphorylation is predicted to have regulatory consequences.
实验方案
| Product Specific Protocols | |
|---|---|
| IHC protocol for Phospho-Lamin A/C (Ser22) antibody 87346-1-RR | Download protocol |
| WB protocol for Phospho-Lamin A/C (Ser22) antibody 87346-1-RR | Download protocol |
| Standard Protocols | |
|---|---|
| Click here to view our Standard Protocols |


