验证数据展示
经过测试的应用
| Positive WB detected in | HEK-293 cells, NIH/3T3 cells |
| Positive FC (Intra) detected in | λ phosphatase treated HEK-293 cells |
推荐稀释比
| 应用 | 推荐稀释比 |
|---|---|
| Western Blot (WB) | WB : 1:5000-1:50000 |
| Flow Cytometry (FC) (INTRA) | FC (INTRA) : 0.25 ug per 10^6 cells in a 100 µl suspension |
| It is recommended that this reagent should be titrated in each testing system to obtain optimal results. | |
| Sample-dependent, Check data in validation data gallery. | |
产品信息
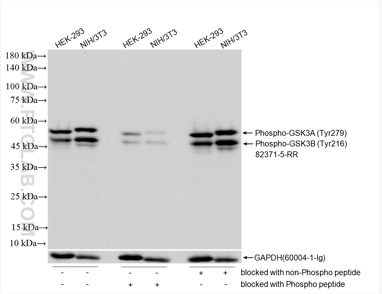
82371-5-RR targets Phospho-GSK3A (Tyr279)/GSK3B (Tyr216) in WB, FC (Intra), ELISA applications and shows reactivity with human, mouse samples.
| 经测试应用 | WB, FC (Intra), ELISA Application Description |
| 经测试反应性 | human, mouse |
| 免疫原 |
Peptide 种属同源性预测 |
| 宿主/亚型 | Rabbit / IgG |
| 抗体类别 | Recombinant |
| 产品类型 | Antibody |
| 全称 | glycogen synthase kinase 3 beta |
| 别名 | P-GSK3A (Tyr279), P-GSK3B (Tyr216), Phos-GSK3 beta (Tyr216), Phos-GSK3A (Tyr279), Phos-GSK3B (Tyr216) |
| 计算分子量 | 433 aa, 48 kDa |
| 观测分子量 | 48-50 kDa |
| GenBank蛋白编号 | BC000251 |
| 基因名称 | GSK3B |
| Gene ID (NCBI) | 2932 |
| 偶联类型 | Unconjugated |
| 形式 | Liquid |
| 纯化方式 | Protein A purification |
| UNIPROT ID | P49841 |
| 储存缓冲液 | PBS with 0.02% sodium azide and 50% glycerol, pH 7.3. |
| 储存条件 | Store at -20°C. Stable for one year after shipment. Aliquoting is unnecessary for -20oC storage. |
背景介绍
Glycogen synthase kinase 3 (GSK3) proteins are serine/threonine kinases that were originally identified as key regulatory enzymes in glucose metabolism. There are two isoforms, GSK3 alpha and GSK3 beta, that are encoded by separate genes and that are 85% homologous to each other overall with 95% homology in the kinase domains. GSK3 beta is activated by phosphorylation of the tyrosine 216 residue (Tyr216) located in the kinase domain and inactivated by phosphorylation of the amino-terminal serine 9 residue (Ser9). GSK3 phosphorylation inhibits its catalytic activity towards its substrates, allowing cytosolic stabilization and nuclear translocation of the transcriptional targets, β-catenin and Nrf2. (PMID: 31354196 , PMID: 25750704,PMID: 24722055)
实验方案
| Product Specific Protocols | |
|---|---|
| FC protocol for Phospho-GSK3A (Tyr279)/GSK3B (Tyr216) antibody 82371-5-RR | Download protocol |
| WB protocol for Phospho-GSK3A (Tyr279)/GSK3B (Tyr216) antibody 82371-5-RR | Download protocol |
| Standard Protocols | |
|---|---|
| Click here to view our Standard Protocols |

