验证数据展示
经过测试的应用
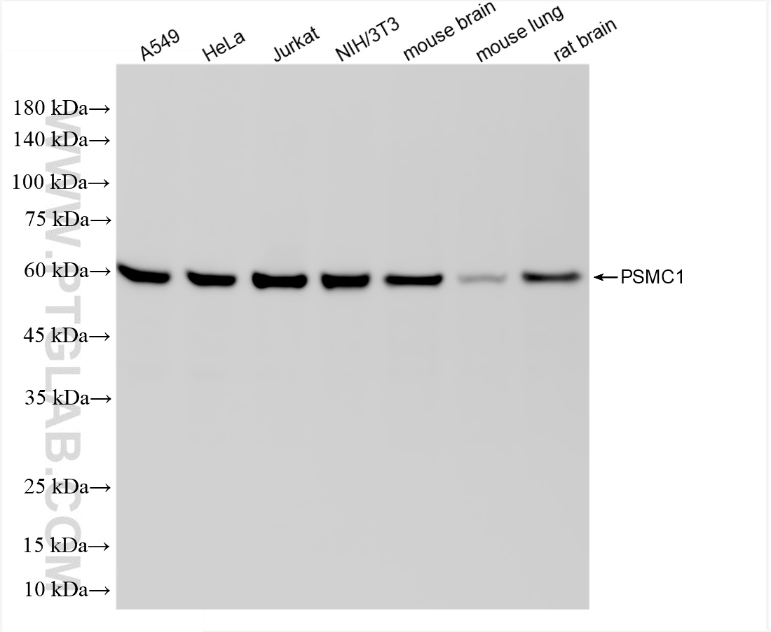
| Positive WB detected in | A549 cells, HeLa cells, Jurkat cells, NIH/3T3 cells, mouse brain tissue, mouse lung tissue, rat brain tissue |
| Positive IHC detected in | mouse cerebellum tissue Note: suggested antigen retrieval with TE buffer pH 9.0; (*) Alternatively, antigen retrieval may be performed with citrate buffer pH 6.0 |
| Positive IF/ICC detected in | Jurkat cells |
推荐稀释比
| 应用 | 推荐稀释比 |
|---|---|
| Western Blot (WB) | WB : 1:5000-1:50000 |
| Immunohistochemistry (IHC) | IHC : 1:500-1:2000 |
| Immunofluorescence (IF)/ICC | IF/ICC : 1:50-1:500 |
| It is recommended that this reagent should be titrated in each testing system to obtain optimal results. | |
| Sample-dependent, Check data in validation data gallery. | |
产品信息
86237-1-RR targets PSMC1 in WB, IHC, IF/ICC, ELISA applications and shows reactivity with human, mouse, rat samples.
| 经测试应用 | WB, IHC, IF/ICC, ELISA Application Description |
| 经测试反应性 | human, mouse, rat |
| 免疫原 |
CatNo: Ag1677 Product name: Recombinant human PSMC1 protein Source: e coli.-derived, PGEX-4T Tag: GST Domain: 77-440 aa of BC016368 Sequence: EFIRNQEQMKPLEEKQEEERSKVDDLRGTPMSVGTLEEIIDDNRAIVSTSVGSEHYVSILSFVDKDLLEPGCSVLLNHKVHAVIGVLMDDTDPLVTVMKVEKAPQETYADIGGLDNQIQEIKESVELPLTHPEYYEEMGIKPPKGVILYGPPGTGKTLLAKAVANQTSATFLRVVGSELIQKYLGDGPKLVRELFRVAEEHAPSIVFIDEIDAIGTKRYDSNSGGEREIQRTMLELLNQLDGFDSRGDVKVIMATNRIETLDPALIRPGRIDRKIEFPLPDEKTKKRIFQIHTSRMTLADDVTLDDLIMAKDDLSGADIKAICTEAGLMALRERRMKVTNEDFKKSKENVLYKKQEGTPEGLYL 种属同源性预测 |
| 宿主/亚型 | Rabbit / IgG |
| 抗体类别 | Recombinant |
| 产品类型 | Antibody |
| 全称 | proteasome (prosome, macropain) 26S subunit, ATPase, 1 |
| 别名 | 26S proteasome AAA-ATPase subunit RPT2, 26S proteasome regulatory subunit 4, P26S4 |
| 计算分子量 | 49 kDa |
| 观测分子量 | 52-60 kDa |
| GenBank蛋白编号 | BC016368 |
| 基因名称 | PSMC1 |
| Gene ID (NCBI) | 5700 |
| 偶联类型 | Unconjugated |
| 形式 | Liquid |
| 纯化方式 | Protein A purification |
| UNIPROT ID | P62191 |
| 储存缓冲液 | PBS with 0.02% sodium azide and 50% glycerol, pH 7.3. |
| 储存条件 | Store at -20°C. Stable for one year after shipment. Aliquoting is unnecessary for -20oC storage. |
实验方案
| Product Specific Protocols | |
|---|---|
| IF protocol for PSMC1 antibody 86237-1-RR | Download protocol |
| IHC protocol for PSMC1 antibody 86237-1-RR | Download protocol |
| WB protocol for PSMC1 antibody 86237-1-RR | Download protocol |
| Standard Protocols | |
|---|---|
| Click here to view our Standard Protocols |



