验证数据展示
经过测试的应用
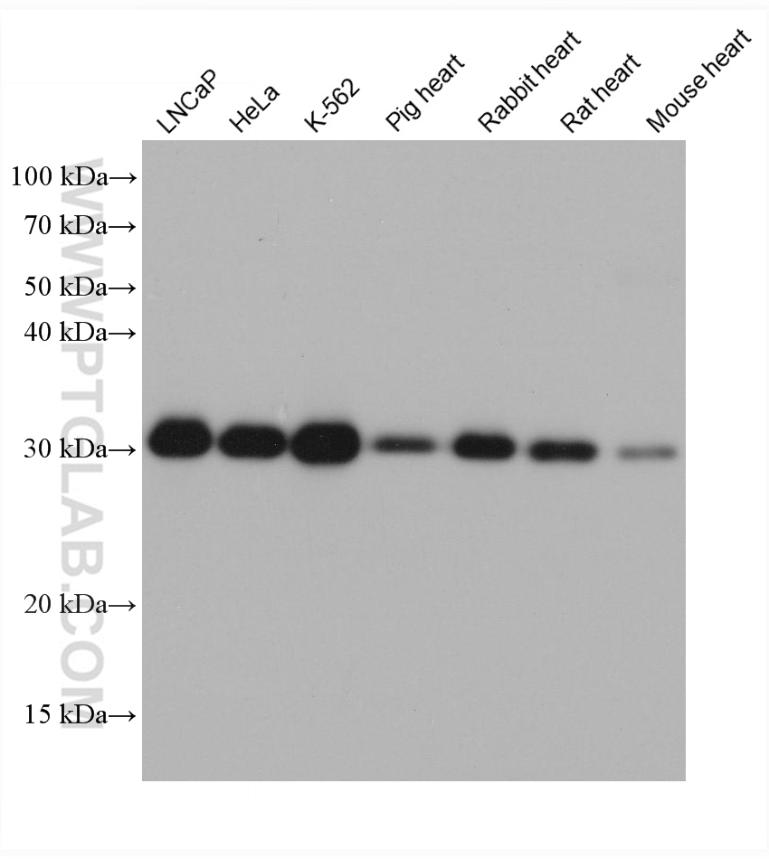
| Positive WB detected in | LNCaP cells, HeLa cells, K-562 cells, Pig heart, Rabbit heart, Rat heart, Mouse heart |
| Positive IHC detected in | human pancreas cancer tissue Note: suggested antigen retrieval with TE buffer pH 9.0; (*) Alternatively, antigen retrieval may be performed with citrate buffer pH 6.0 |
| Positive IF/ICC detected in | HeLa cells |
推荐稀释比
| 应用 | 推荐稀释比 |
|---|---|
| Western Blot (WB) | WB : 1:5000-1:50000 |
| Immunohistochemistry (IHC) | IHC : 1:1000-1:4000 |
| Immunofluorescence (IF)/ICC | IF/ICC : 1:200-1:800 |
| It is recommended that this reagent should be titrated in each testing system to obtain optimal results. | |
| Sample-dependent, Check data in validation data gallery. | |
产品信息
68203-1-Ig targets PSMA4 in WB, IHC, IF/ICC, ELISA applications and shows reactivity with Human, Pig, Rabbit, Rat, Mouse samples.
| 经测试应用 | WB, IHC, IF/ICC, ELISA Application Description |
| 经测试反应性 | Human, Pig, Rabbit, Rat, Mouse |
| 免疫原 |
CatNo: Ag32626 Product name: Recombinant human PSMA4 protein Source: e coli.-derived, PET28a Tag: 6*His Domain: 1-237 aa of BC056249 Sequence: MEAIGHAGTCLGILANDGVLLAAERRNIHKLLDEVFFSEKIYKLNEDMACSVAGITSDANVLTNELRLIAQRYLLQYQEPIPCEQLVTALCDIKQAYTQFGGKRPFGVSLLYIGWDKHYGFQLYQSDPSGNYGGWKATCIGNNSAAAVSMLKQDYKEGEMTLKSALALAIKVLNKTMDVSKLSAEKVEIATLTRENGKTVIRVLKQKEVEQLIKKHEEEEAKAEREKKEKEQKEKDK 种属同源性预测 |
| 宿主/亚型 | Mouse / IgG2b |
| 抗体类别 | Monoclonal |
| 产品类型 | Antibody |
| 全称 | proteasome (prosome, macropain) subunit, alpha type, 4 |
| 别名 | HC9, HsT17706, Macropain subunit C9, Proteasome component C9, Proteasome subunit L, PSC9, PSMA4 |
| 计算分子量 | 237 aa, 27 kDa |
| 观测分子量 | 29 kDa |
| GenBank蛋白编号 | BC056249 |
| 基因名称 | PSMA4 |
| Gene ID (NCBI) | 5685 |
| RRID | AB_2935291 |
| 偶联类型 | Unconjugated |
| 形式 | Liquid |
| 纯化方式 | Protein A purification |
| UNIPROT ID | P25789 |
| 储存缓冲液 | PBS with 0.02% sodium azide and 50% glycerol, pH 7.3. |
| 储存条件 | Store at -20°C. Stable for one year after shipment. Aliquoting is unnecessary for -20oC storage. |
实验方案
| Product Specific Protocols | |
|---|---|
| IF protocol for PSMA4 antibody 68203-1-Ig | Download protocol |
| IHC protocol for PSMA4 antibody 68203-1-Ig | Download protocol |
| WB protocol for PSMA4 antibody 68203-1-Ig | Download protocol |
| Standard Protocols | |
|---|---|
| Click here to view our Standard Protocols |


