验证数据展示
经过测试的应用
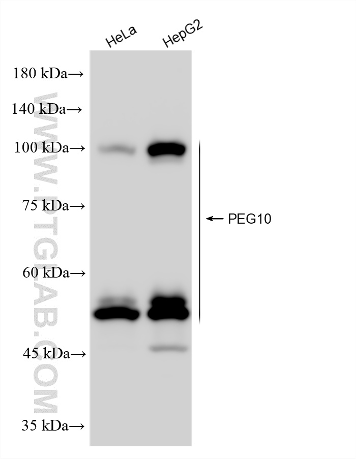
| Positive WB detected in | HeLa cells, HepG2 cells |
推荐稀释比
| 应用 | 推荐稀释比 |
|---|---|
| Western Blot (WB) | WB : 1:5000-1:50000 |
| It is recommended that this reagent should be titrated in each testing system to obtain optimal results. | |
| Sample-dependent, Check data in validation data gallery. | |
产品信息
86928-4-RR targets PEG10 in WB, ELISA applications and shows reactivity with human samples.
| 经测试应用 | WB, ELISA Application Description |
| 经测试反应性 | human |
| 免疫原 |
CatNo: Ag5754 Product name: Recombinant human PEG10 protein Source: e coli.-derived, PGEX-4T Tag: GST Domain: 1-325 aa of BC050659 Sequence: MTERRRDELSEEINNLREKVMKQSEENNNLQSQVQKLTEENTTLREQVEPTPEDEDDDIELRGAAAAAAPPPPIEEECPEDLPEKFDGNPDMLAPFMAQCQIFMEKSTRDFSVDRVRVCFVTSMMTGRAARWASAKLERSHYLMHNYPAFMMEMKHVFEDPQRREVAKRKIRRLRQGMGSVIDYSNAFQMIAQDLDWNEPALIDQYHEGLSDHIQEELSHLEVAKSLSALIGQCIHIERRLARAAAARKPRSPPRALVLPHIASHHQVDPTEPVGGARMRLTQEEKERRRKLNLCLYCGTGGHYADNCPAKASKSSPAGNSPAPL 种属同源性预测 |
| 宿主/亚型 | Rabbit / IgG |
| 抗体类别 | Recombinant |
| 产品类型 | Antibody |
| 全称 | paternally expressed 10 |
| 别名 | EDR, Embryonal carcinoma differentiation-regulated protein, HB 1, HB1, KIAA1051 |
| 计算分子量 | 80 kDa |
| 观测分子量 | 50 kDa, 100 kDa |
| GenBank蛋白编号 | BC050659 |
| 基因名称 | PEG10 |
| Gene ID (NCBI) | 23089 |
| RRID | AB_3745212 |
| 偶联类型 | Unconjugated |
| 形式 | Liquid |
| 纯化方式 | Protein A purification |
| UNIPROT ID | Q86TG7 |
| 储存缓冲液 | PBS with 0.02% sodium azide and 50% glycerol, pH 7.3. |
| 储存条件 | Store at -20°C. Stable for one year after shipment. Aliquoting is unnecessary for -20oC storage. |
背景介绍
Paternally expressed imprinted gene 10 (PEG10) is an evolutionarily conserved HERV gene belonging to the Ty3/Gypsy family of retrotransposons. The mRNA of PEG10 encodes at least two protein isoforms: the major PEG10 protein product reading frame 1 (RF1-PEG10, ~50 kDa) and reading frames 1 and 2 (RF1/RF2-PEG10, ~100 kDa), which are translated by a typical retroviral-1 ribosomal frameshift mechanism. PEG10 is strongly expressed in placenta, ovary and testis as well as somatic adult organs including brain, kidney and lung . Researches on mice suggest that PEG10 plays an important role in placenta formation and adipocyte differentiation, and its knockout can cause embryonic lethality.(PMID: 30123090, PMID: 32244497)
实验方案
| Product Specific Protocols | |
|---|---|
| WB protocol for PEG10 antibody 86928-4-RR | Download protocol |
| Standard Protocols | |
|---|---|
| Click here to view our Standard Protocols |

